• 文献检索
  • 文档翻译
  • 深度研究
  • 学术资讯
  • Suppr Zotero 插件Zotero 插件
  • 邀请有礼
  • 套餐&价格
  • 历史记录
应用&插件
Suppr Zotero 插件Zotero 插件浏览器插件Mac 客户端Windows 客户端微信小程序
定价
高级版会员购买积分包购买API积分包
服务
文献检索文档翻译深度研究API 文档MCP 服务
关于我们
关于 Suppr公司介绍联系我们用户协议隐私条款
关注我们

Suppr 超能文献

核心技术专利:CN118964589B侵权必究
粤ICP备2023148730 号-1Suppr @ 2026

文献检索

告别复杂PubMed语法,用中文像聊天一样搜索,搜遍4000万医学文献。AI智能推荐,让科研检索更轻松。

立即免费搜索

文件翻译

保留排版,准确专业,支持PDF/Word/PPT等文件格式,支持 12+语言互译。

免费翻译文档

深度研究

AI帮你快速写综述,25分钟生成高质量综述,智能提取关键信息,辅助科研写作。

立即免费体验

豚鼠诺卡氏菌L型在正常和免疫缺陷小鼠模型慢性足菌肿发展中的作用

Role of L-forms of Nocardia caviae in the development of chronic mycetomas in normal and immunodeficient murine models.

作者信息

Beaman B L, Scates S M

出版信息

Infect Immun. 1981 Sep;33(3):893-907. doi: 10.1128/iai.33.3.893-907.1981.

DOI:10.1128/iai.33.3.893-907.1981
PMID:7287189
原文链接:https://pmc.ncbi.nlm.nih.gov/articles/PMC350795/
Abstract

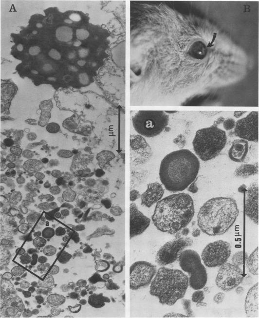
Single-cell suspensions of Nocardia caviae 112 were injected into normal, athymic, and asplenic mice by several different routes. The 50% lethal dose values, kill curve characteristics, histological and electron microscopic properties, organ clearance patterns, and induction of L-forms during the acute and chronic phase of disease were determined in groups of mice for up to 2 years after infection. From these data we concluded the following. (i) Athymic and asplenic animals were significantly more susceptible to N. caviae than their littermate controls regardless of inoculation route. (ii) All mice were most susceptible to lethal infection after intranasal administration and least affected when the organisms were injected into the peritoneal cavity. (iii) Chronic, progressive disease leading to the formation of mycetomas occurred only in mice injected intravenously. (iv) T-cell-deficient animals were impaired in the development of typical mycetomas. (v) L-forms of N. caviae were induced within immunocompetent hosts, whereas the cell wall-less state of the bacteria was not observed in the immunodeficient animals. (vi) Two colony types of the cell wall-deficient state were isolated from infected animals. (vii) These cell wall-deficient organisms were intimately involved in the pathogenesis of disease and bacterial persistence within the host. Finally (viii), with this strain of Nocardia, cell wall-deficient organisms played a major role in the development of the characteristic bacterial granule formed within the mycetomatous lesions 6 months to 1 year after intravenous inoculation.

摘要

豚鼠诺卡菌112的单细胞悬液通过几种不同途径注射到正常、无胸腺和无脾小鼠体内。在感染后长达2年的小鼠组中,测定了50%致死剂量值、杀灭曲线特征、组织学和电子显微镜特性、器官清除模式以及疾病急性期和慢性期L型菌的诱导情况。根据这些数据,我们得出以下结论:(i)无论接种途径如何,无胸腺和无脾动物比其同窝对照对豚鼠诺卡菌的易感性明显更高。(ii)所有小鼠经鼻内给药后对致死性感染最敏感,而将细菌注入腹腔时影响最小。(iii)仅在静脉注射的小鼠中发生导致足菌肿形成的慢性进行性疾病。(iv)T细胞缺陷动物在典型足菌肿的形成过程中受损。(v)在免疫 competent宿主中诱导出豚鼠诺卡菌的L型菌,而在免疫缺陷动物中未观察到细菌的无细胞壁状态。(vi)从感染动物中分离出两种细胞壁缺陷状态的菌落类型。(vii)这些细胞壁缺陷生物体密切参与疾病的发病机制以及细菌在宿主体内的持续存在。最后(viii),对于这种诺卡菌菌株,细胞壁缺陷生物体在静脉接种后6个月至1年在足菌肿病变内形成的特征性细菌颗粒的发展中起主要作用。

https://cdn.ncbi.nlm.nih.gov/pmc/blobs/cf63/350795/5e6f5976fcd5/iai00161-0268-a.jpg
https://cdn.ncbi.nlm.nih.gov/pmc/blobs/cf63/350795/8c59759058f8/iai00161-0261-a.jpg
https://cdn.ncbi.nlm.nih.gov/pmc/blobs/cf63/350795/579ee810ca54/iai00161-0262-a.jpg
https://cdn.ncbi.nlm.nih.gov/pmc/blobs/cf63/350795/a490eb0f7e1f/iai00161-0264-a.jpg
https://cdn.ncbi.nlm.nih.gov/pmc/blobs/cf63/350795/70fafd760381/iai00161-0265-a.jpg
https://cdn.ncbi.nlm.nih.gov/pmc/blobs/cf63/350795/43cfe9f38f2f/iai00161-0267-a.jpg
https://cdn.ncbi.nlm.nih.gov/pmc/blobs/cf63/350795/5e6f5976fcd5/iai00161-0268-a.jpg
https://cdn.ncbi.nlm.nih.gov/pmc/blobs/cf63/350795/8c59759058f8/iai00161-0261-a.jpg
https://cdn.ncbi.nlm.nih.gov/pmc/blobs/cf63/350795/579ee810ca54/iai00161-0262-a.jpg
https://cdn.ncbi.nlm.nih.gov/pmc/blobs/cf63/350795/a490eb0f7e1f/iai00161-0264-a.jpg
https://cdn.ncbi.nlm.nih.gov/pmc/blobs/cf63/350795/70fafd760381/iai00161-0265-a.jpg
https://cdn.ncbi.nlm.nih.gov/pmc/blobs/cf63/350795/43cfe9f38f2f/iai00161-0267-a.jpg
https://cdn.ncbi.nlm.nih.gov/pmc/blobs/cf63/350795/5e6f5976fcd5/iai00161-0268-a.jpg

相似文献

1
Role of L-forms of Nocardia caviae in the development of chronic mycetomas in normal and immunodeficient murine models.豚鼠诺卡氏菌L型在正常和免疫缺陷小鼠模型慢性足菌肿发展中的作用
Infect Immun. 1981 Sep;33(3):893-907. doi: 10.1128/iai.33.3.893-907.1981.
2
Infectious agents in immunodeficient murine models: pathogenicity of Nocardia asteroides in congenitally athymic (nude) and hereditarily asplenic (Dh/+) mice.免疫缺陷小鼠模型中的感染因子:星形诺卡菌在先天性无胸腺(裸)小鼠和遗传性无脾(Dh/+)小鼠中的致病性。
Infect Immun. 1978 May;20(2):381-7. doi: 10.1128/iai.20.2.381-387.1978.
3
Induction of L-phase variants of Nocardia caviae within intact murine lungs.豚鼠诺卡氏菌L型变体在完整小鼠肺内的诱导
Infect Immun. 1980 Jul;29(1):244-51. doi: 10.1128/iai.29.1.244-251.1980.
4
Effect of route on inoculation on host resistance to Nocardia.接种途径对宿主抗诺卡氏菌能力的影响。
Infect Immun. 1980 Apr;28(1):185-9. doi: 10.1128/iai.28.1.185-189.1980.
5
[Experimental pathogenicity of isolates of Nocardia asteroides, Nocardia brasiliensis and Nocardia caviae from different sources].[来自不同来源的星形诺卡菌、巴西诺卡菌和豚鼠诺卡菌分离株的实验致病性]
Sabouraudia. 1982 Dec;20(4):295-302.
6
Physiological and pathogenic characteristics of Nocardia brasiliensis isolated from human mycetomas.从人类足菌肿中分离出的巴西奴卡菌的生理和致病特征。
Mycopathologia. 1989 Feb;105(2):111-6. doi: 10.1007/BF00444033.
7
Nocardia infections in congenitally athymic (nude) mice and in other inbred mouse strains.
Infect Immun. 1977 Nov;18(2):459-66. doi: 10.1128/iai.18.2.459-466.1977.
8
Nocardia brasiliensis cell wall lipids modulate macrophage and dendritic responses that favor development of experimental actinomycetoma in BALB/c mice.巴西诺卡氏菌细胞壁脂质调节巨噬细胞和树突状细胞的反应,有利于 BALB/c 小鼠实验性放线菌病的发展。
Infect Immun. 2012 Oct;80(10):3587-601. doi: 10.1128/IAI.00446-12. Epub 2012 Jul 30.
9
Nocardia brasiliensis: mycetoma induction and growth cycle.巴西诺卡菌:足菌肿的诱发与生长周期
Infect Immun. 1982 Dec;38(3):1291-5. doi: 10.1128/iai.38.3.1291-1295.1982.
10
Mycetoma due to Nocardia caviae. The first Israeli patient.由豚鼠诺卡菌引起的足菌肿。首例以色列患者。
Int J Dermatol. 1980 Jun;19(5):260-2. doi: 10.1111/j.1365-4362.1980.tb00325.x.

引用本文的文献

1
Cell-wall deficient L. monocytogenes L-forms feature abrogated pathogenicity.细胞壁缺陷型单核细胞增生李斯特菌L型具有减弱的致病性。
Front Cell Infect Microbiol. 2014 May 20;4:60. doi: 10.3389/fcimb.2014.00060. eCollection 2014.
2
Nocardia asteroides culture filtrates cause dopamine depletion and cytotoxicity in PC12 cells.
Neurochem Res. 2003 Sep;28(9):1359-67. doi: 10.1023/a:1024944431725.
3
Bacterial persistence and expression of disease.细菌的持续性与疾病表现
Clin Microbiol Rev. 1997 Apr;10(2):320-44. doi: 10.1128/CMR.10.2.320.

本文引用的文献

1
MYCETOMA IN THE UNITED STATES; A REVIEW AND REPORT OF SEVEN ADDITIONAL CASES.美国的足菌肿;七例补充病例的回顾与报告
Am J Clin Pathol. 1964 Jul;42:75-91. doi: 10.1093/ajcp/42.1.75.
2
Mycetomas caused by Nocardia brasiliensis; with a note on the isolation of the causative organism from soil.巴西诺卡菌引起的足菌肿;关于从土壤中分离出致病微生物的说明
Lab Invest. 1962 Nov;11:1118-23.
3
Induction of L-phase variants of Nocardia caviae within intact murine lungs.豚鼠诺卡氏菌L型变体在完整小鼠肺内的诱导
4
Nocardia species: host-parasite relationships.诺卡氏菌属:宿主与寄生虫的关系。
Clin Microbiol Rev. 1994 Apr;7(2):213-64. doi: 10.1128/CMR.7.2.213.
5
Nocardia brasiliensis: mycetoma induction and growth cycle.巴西诺卡菌:足菌肿的诱发与生长周期
Infect Immun. 1982 Dec;38(3):1291-5. doi: 10.1128/iai.38.3.1291-1295.1982.
6
In vitro susceptibility of Nocardia asteroides to 25 antimicrobial agents.星形诺卡菌对25种抗菌药物的体外敏感性
Antimicrob Agents Chemother. 1984 Feb;25(2):165-7. doi: 10.1128/AAC.25.2.165.
7
Nocardia in naturally acquired and experimental infections in animals.动物自然获得性感染和实验性感染中的诺卡菌。
J Hyg (Lond). 1983 Dec;91(3):393-419. doi: 10.1017/s0022172400060447.
8
Nocardial infection of the skin.皮肤诺卡菌感染
J Hyg (Lond). 1983 Dec;91(3):385-91. doi: 10.1017/s0022172400060435.
9
Nocardia asteroides recovery from a dog with steroid- and antibiotic-unresponsive idiopathic polyarthritis.从一只患有类固醇和抗生素无反应性特发性多关节炎的犬体内分离出星形诺卡菌。
J Clin Microbiol. 1983 Sep;18(3):702-8. doi: 10.1128/jcm.18.3.702-708.1983.
10
Isolation of Staphylococcus aureus L forms from experimentally induced bovine mastitis.从实验性诱导的牛乳腺炎中分离金黄色葡萄球菌L型。
J Clin Microbiol. 1987 Oct;25(10):1956-61. doi: 10.1128/jcm.25.10.1956-1961.1987.
Infect Immun. 1980 Jul;29(1):244-51. doi: 10.1128/iai.29.1.244-251.1980.
4
Mycetoma due to Nocardia caviae. The first Israeli patient.由豚鼠诺卡菌引起的足菌肿。首例以色列患者。
Int J Dermatol. 1980 Jun;19(5):260-2. doi: 10.1111/j.1365-4362.1980.tb00325.x.
5
Effect of route on inoculation on host resistance to Nocardia.接种途径对宿主抗诺卡氏菌能力的影响。
Infect Immun. 1980 Apr;28(1):185-9. doi: 10.1128/iai.28.1.185-189.1980.
6
Effects of activated macrophages on Nacardia asteroides.活化巨噬细胞对星状诺卡菌的影响。
Infect Immun. 1980 Feb;27(2):643-9. doi: 10.1128/iai.27.2.643-649.1980.
7
Effects of human neutrophils and monocytes on Nocardia asteroides: failure of killing despite occurrence of the oxidative metabolic burst.人中性粒细胞和单核细胞对星形诺卡菌的作用:尽管发生氧化代谢爆发,但仍无法杀灭该菌
J Infect Dis. 1980 Sep;142(3):432-8. doi: 10.1093/infdis/142.3.432.
8
[Note on a mycetoma due to Nocardia caviae seen in Japan].
Bull Soc Pathol Exot Filiales. 1965 Mar-Apr;58(2):185-8.
9
[2nd case of mycetoma due to Nocardia in Tunisia].
Bull Soc Pathol Exot Filiales. 1965 Mar-Apr;58(2):177-85.
10
Pathogenicity of Nocardia caviae, N. asteroies and N. brasiliensis.豚鼠诺卡菌、星形诺卡菌和巴西诺卡菌的致病性。
Mycopathol Mycol Appl. 1970;40(2):113-30. doi: 10.1007/BF02051989.