Suppr超能文献

磷酸铍对大鼠肝脏库普弗细胞的选择性损伤:网状内皮系统阻断的一种解释

Selective injury to rat liver Kupffer cells caused by beryllium phosphate: an explanation of reticuloendothelial blockade.

作者信息

Dinsdale D, Skilleter D N, Seawright A A

出版信息

Br J Exp Pathol. 1981 Aug;62(4):383-92.

Abstract

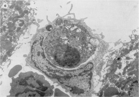
The i.v. administration of suspensions of beryllium phosphate (5-50 mumol/kg) to rats resulted in the vacuolation of hepatic Kupffer cells within 3 h. After 6 h necrotic Kupffer cells were common throughout the sinusoids of the liver but no changes were detected in the hepatic parenchymal cells during this period. A significant reduction in the numbers of intrasinusoidal cells was observed 14 h after treatment but this population had reverted to normal within 24 h. The administration of colloidal carbon to treated animals at this time did, however, demonstrate a reduction in the complement of functional endocytic cells. These results demonstrate a selective destruction of endocytic cells in the liver by this particulate toxin and the limited response by the organ to this injury. These observations are the most probable explanation for the reticuloendothelial blockade known to be caused in vivo by beryllium phosphate.

摘要

给大鼠静脉注射磷酸铍悬浮液(5 - 50微摩尔/千克),3小时内肝脏库普弗细胞出现空泡化。6小时后,坏死的库普弗细胞在肝脏的整个肝血窦中很常见,但在此期间肝实质细胞未检测到变化。治疗14小时后观察到肝血窦内细胞数量显著减少,但该群体在24小时内恢复正常。然而,此时给治疗过的动物注射胶体碳显示功能性内吞细胞数量减少。这些结果表明这种颗粒毒素对肝脏内吞细胞有选择性破坏作用,且该器官对这种损伤的反应有限。这些观察结果很可能是体内已知由磷酸铍引起的网状内皮系统阻滞的最合理解释。

https://cdn.ncbi.nlm.nih.gov/pmc/blobs/ff34/2041677/3446c26046a2/brjexppathol00112-0056-a.jpg

文献AI研究员

20分钟写一篇综述,助力文献阅读效率提升50倍。

立即体验

用中文搜PubMed

大模型驱动的PubMed中文搜索引擎

马上搜索

文档翻译

学术文献翻译模型,支持多种主流文档格式。

立即体验