Suppr超能文献

感染减毒泰勒氏病毒的小鼠中枢神经系统中施万细胞的再髓鞘化和复发性脱髓鞘

Schwann cell remyelination and recurrent demyelination in the central nervous system of mice infected with attenuated Theiler's virus.

作者信息

Dal Canto M C, Lipton H L

出版信息

Am J Pathol. 1980 Jan;98(1):101-22.

Abstract

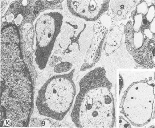
Theiler's murine encephalomyelitis virus (TMEV) infection produces a chronic demyelinating disease in mice, and myelin breakdown appears to be immune-mediated. By using an attenuated TMEC strain, WW virus, to infect mice, the course of the disease was slowed and the severity of the inflammatory and glial responses were reduced. In this circumstance, most of the demyelinating lesions showed extensive remyelination, predominantly by Schwann cells. In addition, it was demonstrated that there was recurrent demyelinating activity in the central nervous system (CNS) of infected animals. It is suggested that the rapidity and intensity of demyelinating lesions may influence the potential for remyelination and that Schwann cell participation may be a more important mechanism of myelin repair than it is now thought to be. The fact that there is a recurrent demyelination in TMEV infection increases its relevance as an experimental animal model for multiple sclerosis.

摘要

泰勒氏鼠脑脊髓炎病毒(TMEV)感染可在小鼠中引发一种慢性脱髓鞘疾病,并且髓鞘破坏似乎是由免疫介导的。通过使用减毒的TMEC毒株——WW病毒感染小鼠,疾病进程得以减缓,炎症和神经胶质反应的严重程度也有所降低。在这种情况下,大多数脱髓鞘病变显示出广泛的髓鞘再生,主要由施万细胞完成。此外,研究表明在受感染动物的中枢神经系统(CNS)中存在反复的脱髓鞘活动。有人提出,脱髓鞘病变的速度和强度可能会影响髓鞘再生的潜力,并且施万细胞的参与可能是一种比目前认为更为重要的髓鞘修复机制。TMEV感染中存在反复脱髓鞘这一事实增加了其作为多发性硬化症实验动物模型的相关性。

https://cdn.ncbi.nlm.nih.gov/pmc/blobs/c45e/1903405/a971efec0dab/amjpathol00233-0121-a.jpg

文献检索

告别复杂PubMed语法,用中文像聊天一样搜索,搜遍4000万医学文献。AI智能推荐,让科研检索更轻松。

立即免费搜索

文件翻译

保留排版,准确专业,支持PDF/Word/PPT等文件格式,支持 12+语言互译。

免费翻译文档

深度研究

AI帮你快速写综述,25分钟生成高质量综述,智能提取关键信息,辅助科研写作。

立即免费体验