Suppr超能文献

高渗刺激活化的大鼠肝巨噬细胞中前列腺素的合成及环氧化酶-2的表达。

Hyperosmolarity stimulates prostaglandin synthesis and cyclooxygenase-2 expression in activated rat liver macrophages.

作者信息

Zhang F, Warskulat U, Wettstein M, Schreiber R, Henninger H P, Decker K, Häussinger D

机构信息

Medizinische Universitätsklinik, Heinrich-Heine-Universität, Düsseldorf, Germany.

出版信息

Biochem J. 1995 Nov 15;312 ( Pt 1)(Pt 1):135-43. doi: 10.1042/bj3120135.

Abstract

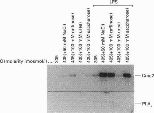
The effect of aniso-osmotic exposure on the level of inducible cyclooxygenase (Cox-2) and on prostanoid synthesis was studied in cultured rat liver macrophages (Kupffer cells). In lipopolysaccharide (LPS)- or phorbol 12-myristate 13-acetate-stimulated Kupffer cells, hyperosmotic (355 mosmol/l) exposure, due to addition of NaCl or impermeant sugars, markedly increased prostaglandin (PG) E2, D2 and thromboxane B2 synthesis in a time- and osmolarity-dependent manner. Increased prostanoid production was observed about 8 h after exposure to LPS in hyperosmotic medium compared to Kupffer cells treated with LPS under normotonic (305 mosmol/l) conditions. A similar stimulatory effect of hyperosmolarity on PGE2 production was also seen when arachidonate was added exogenously. Hyperosmotic stimulation of PGE2 production was accompanied by a strong induction of Cox-2 mRNA levels and an increase in immunoreactive Cox-2, whereas the levels of immunoreactive phospholipase A2 and cyclooxygenase-1 did not change significantly. Dexamethasone, indomethacin and the selective Cox-2 inhibitor, NS-398, abolished the hypertonicity-induced stimulation of PGE2 formation; dexamethasone also prevented the increase in Cox-2 mRNA and protein. The increase of immunoreactive Cox-2 lasted for about 24 h and was also blocked by actinomycin D or cycloheximide, but not by brefeldin A. Tunicamycin or treatment with endoglucosidase H reduced the molecular mass of hypertonicity-induced Cox-2 by 5 kDa. Tunicamycin treatment also suppressed the hypertonicity-induced stimulation of PGE2 production. The hyperosmolarity/LPS-induced stimulation of prostaglandin formation was partly sensitive to protein kinase C inhibition but was not accompanied by an increase in the cytosolic free Ca2+ concentration. The data suggest that osmolarity may be a critical factor in the regulation of Cox-2 expression and prostanoid production in activated rat liver macrophages.

摘要

在培养的大鼠肝巨噬细胞(库普弗细胞)中研究了等渗暴露对诱导型环氧化酶(Cox-2)水平和类前列腺素合成的影响。在脂多糖(LPS)或佛波酯12-肉豆蔻酸酯13-乙酸酯刺激的库普弗细胞中,由于添加NaCl或非渗透性糖导致的高渗(355 mosmol/l)暴露,以时间和渗透压依赖性方式显著增加了前列腺素(PG)E2、D2和血栓素B2的合成。与在等渗(305 mosmol/l)条件下用LPS处理的库普弗细胞相比,在高渗培养基中暴露于LPS约8小时后观察到类前列腺素产生增加。当外源性添加花生四烯酸时,也观察到高渗对PGE2产生的类似刺激作用。高渗刺激PGE2产生伴随着Cox-2 mRNA水平的强烈诱导和免疫反应性Cox-2的增加,而免疫反应性磷脂酶A2和环氧化酶-1的水平没有显著变化。地塞米松、吲哚美辛和选择性Cox-2抑制剂NS-398消除了高渗诱导的PGE2形成刺激;地塞米松还阻止了Cox-2 mRNA和蛋白质的增加。免疫反应性Cox-2的增加持续约24小时,也被放线菌素D或环己酰亚胺阻断,但不被布雷菲德菌素A阻断。衣霉素或用内切葡糖苷酶H处理使高渗诱导的Cox-2分子量降低了5 kDa。衣霉素处理也抑制了高渗诱导的PGE2产生刺激。高渗/LPS诱导的前列腺素形成刺激部分对蛋白激酶C抑制敏感,但不伴有细胞质游离Ca2+浓度的增加。数据表明渗透压可能是调节活化的大鼠肝巨噬细胞中Cox-2表达和类前列腺素产生的关键因素。

https://cdn.ncbi.nlm.nih.gov/pmc/blobs/6a17/1136236/ad5c7dadf7f8/biochemj00051-0140-a.jpg

文献检索

告别复杂PubMed语法,用中文像聊天一样搜索,搜遍4000万医学文献。AI智能推荐,让科研检索更轻松。

立即免费搜索

文件翻译

保留排版,准确专业,支持PDF/Word/PPT等文件格式,支持 12+语言互译。

免费翻译文档

深度研究

AI帮你快速写综述,25分钟生成高质量综述,智能提取关键信息,辅助科研写作。

立即免费体验