Suppr超能文献

Barbiturate and anticonvulsant treatment in relation to osteomalacia with haemodialysis and renal transplantation.

作者信息

Pierides A M, Ellis H A, Ward M, Simpson W, Peart K M, Alvarez-ude F, Uldall P R, Kerr D N

出版信息

Br Med J. 1976 Jan 24;1(6003):190-3. doi: 10.1136/bmj.1.6003.190.

Abstract

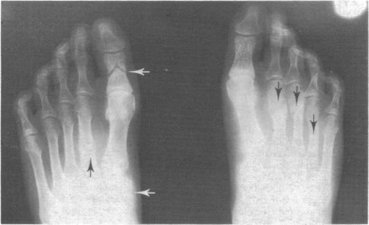
Among 39 patients treated by regular haemodialysis for four years or more pathological fractures and histological evidence of osteomalacia were significantly more common in those taking barbiturates. Out of 58 transplant recipients surveyed after one year, seven had osteomalacia; four of these had been taking phenobarbitone and phenytoin and one had taken barbiturates alone. Sedatives and other drugs such as phenobarbitone and phenytoin that induce hepatic microsomal enzymes should probably be avoided when possible in patients with chronic renal failure and after transplantation.

摘要
https://cdn.ncbi.nlm.nih.gov/pmc/blobs/8c43/1638400/ee32feb0657b/brmedj00500-0019-a.jpg

文献AI研究员

20分钟写一篇综述,助力文献阅读效率提升50倍。

立即体验

用中文搜PubMed

大模型驱动的PubMed中文搜索引擎

马上搜索

文档翻译

学术文献翻译模型,支持多种主流文档格式。

立即体验