Suppr超能文献

无树脂切片中鸡破骨细胞的细胞骨架框架

The cytoskeletal framework of chick osteoclasts in resin-less sections.

作者信息

Kato T, Akisaka T

机构信息

Department of Anatomy, Asahi University School of Dentistry, Hozumi-cho, Japan.

出版信息

J Anat. 1994 Dec;185 ( Pt 3)(Pt 3):599-607.

Abstract

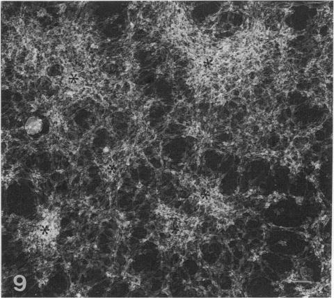
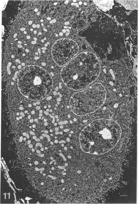
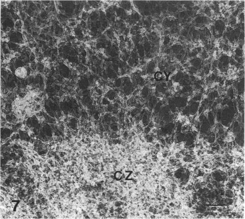
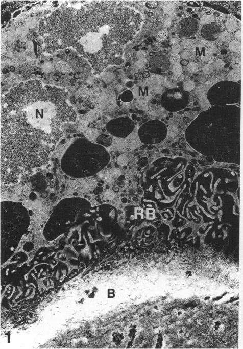
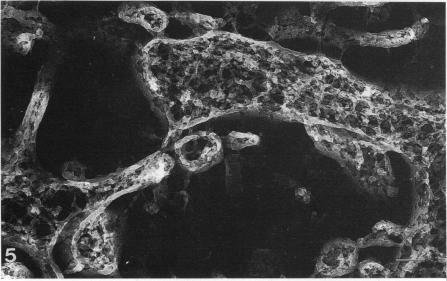
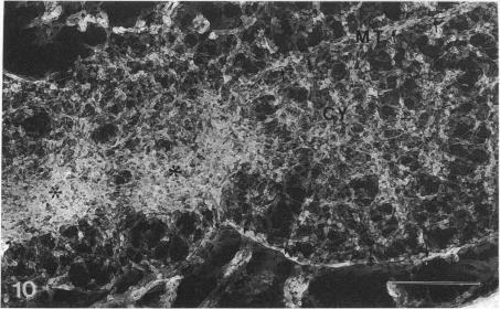
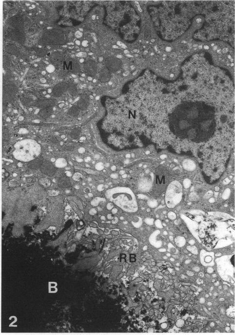
The cytoskeletal framework of chick osteoclasts was examined by the resin-less polyethylene glycol (PEG) method. Resin-less thin sections revealed changes in the 3-dimensional organisation of a microtrabecular lattice during different phases of osteoclast activity. This lattice, composed of interconnecting strands, occupied part of the osteoclast cytoplasm including the ruffled border and clear zone areas. In firmly attached, active osteoclasts, the clear zone exhibited a compact and orderly array with a meshwork appearance. This organelle-free area could be clearly distinguished from other cytoplasmic regions by the compactness of its lattice structure. Well developed membrane infoldings of the ruffled border next to the resorption lacunae were composed of interconnected strands, some of which were in direct contact with the ruffled border membrane. Migrating osteoclasts remote from the bone surface lacked these membrane modifications. Their peripheral cytoplasm exhibited a disorganised meshwork of strands without the clear zone. While migrating, osteoclasts which still adhered to the bone surface, appeared to form loci within the compact lattice structure referred to as podosomes. These results demonstrate the dynamic morphological changes in the organisation of the trabecular lattice that occur within attached and migrating osteoclasts.

摘要

采用无树脂聚乙二醇(PEG)法对鸡破骨细胞的细胞骨架结构进行了研究。无树脂薄片揭示了破骨细胞活动不同阶段微小梁晶格三维结构的变化。这种由相互连接的细丝组成的晶格占据了破骨细胞细胞质的一部分,包括褶皱边缘和透明区。在牢固附着的活跃破骨细胞中,透明区呈现出紧密且有序的排列,呈网状外观。这个无细胞器区域因其晶格结构的紧密性而能与其他细胞质区域明显区分开来。紧邻吸收腔的褶皱边缘发育良好的膜内褶由相互连接的细丝组成,其中一些与褶皱边缘膜直接接触。远离骨表面迁移的破骨细胞缺乏这些膜修饰。它们的周边细胞质呈现出杂乱的细丝网络,没有透明区。在迁移过程中,仍附着于骨表面的破骨细胞似乎在致密晶格结构内形成了称为足体的位点。这些结果表明,在附着和迁移的破骨细胞内,小梁晶格结构组织发生了动态形态变化。

https://cdn.ncbi.nlm.nih.gov/pmc/blobs/354e/1166666/3bdce2c4461d/janat00137-0137-a.jpg

文献检索

告别复杂PubMed语法,用中文像聊天一样搜索,搜遍4000万医学文献。AI智能推荐,让科研检索更轻松。

立即免费搜索

文件翻译

保留排版,准确专业,支持PDF/Word/PPT等文件格式,支持 12+语言互译。

免费翻译文档

深度研究

AI帮你快速写综述,25分钟生成高质量综述,智能提取关键信息,辅助科研写作。

立即免费体验