Suppr超能文献

基质金属蛋白酶9和金属蛋白酶组织抑制剂1 mRNA在人大肠癌及肝转移灶中的独特表达模式

Distinct pattern of matrix metalloproteinase 9 and tissue inhibitor of metalloproteinase 1 mRNA expression in human colorectal cancer and liver metastases.

作者信息

Zeng Z S, Guillem J G

机构信息

Department of Surgery, Memorial Sloan-Kettering Cancer Center, New York, New York 10021, USA.

出版信息

Br J Cancer. 1995 Sep;72(3):575-82. doi: 10.1038/bjc.1995.376.

Abstract

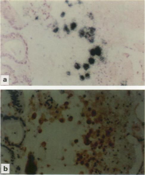
The matrix metalloproteinases (MMPs) and tissue inhibitors of metalloproteinases (TIMPs) are perceived as essential for tumour invasion and metastasis. In the present study, we compare the topographical pattern of MMP-9 and TIMP-1 expression in colorectal cancer and liver metastasis by in situ hybridisation. TIMP-1 mRNA was detected in all 26 colorectal cancers examined, while only 18 out of 26 (69.2%) were positive for MMP-9. Both MMP-9 and TIMP-1 mRNA were observed in all ten liver metastases but were absent in three adenomas and in all normal colonic mucosa and liver. There was no association between MMP-9 or TIMP-1 mRNA expression and degree of differentiation or size of Tumours. MMP-9 and TIMP-1 mRNA were similarly observed in the peritumour stroma cells rather than in tumour cells themselves. MMP-9 mRNA positive cells were round and identified as macrophages by immunostaining with an anti-macrophage antibody (KP1), while TIMP-1, mRNA was detected in spindle-shaped stromal cells. In liver metastases, MMP-9 localised within peritumour stroma or at the interface between the tumour stroma and normal liver, whereas TIMP-1 mRNA was located throughout the malignant tumour stroma. Our data demonstrate a distinct pattern of MMP-9 and TIMP-1 mRNA expression in colorectal cancer and liver metastases suggesting distinct cellular origins as well as separate patterns of regulation.

摘要

基质金属蛋白酶(MMPs)和金属蛋白酶组织抑制剂(TIMPs)被认为是肿瘤侵袭和转移所必需的。在本研究中,我们通过原位杂交比较了结直肠癌和肝转移中MMP-9和TIMP-1表达的拓扑模式。在所检测的26例结直肠癌中均检测到TIMP-1 mRNA,而26例中只有18例(69.2%)MMP-9呈阳性。在所有10例肝转移中均观察到MMP-9和TIMP-1 mRNA,但在3例腺瘤以及所有正常结肠黏膜和肝脏中均未检测到。MMP-9或TIMP-1 mRNA表达与肿瘤的分化程度或大小之间无关联。MMP-9和TIMP-1 mRNA同样在肿瘤周围基质细胞中观察到,而非在肿瘤细胞本身。MMP-9 mRNA阳性细胞呈圆形,用抗巨噬细胞抗体(KP1)免疫染色鉴定为巨噬细胞,而TIMP-1 mRNA在梭形基质细胞中检测到。在肝转移中,MMP-9定位于肿瘤周围基质或肿瘤基质与正常肝脏之间的界面,而TIMP-1 mRNA位于整个恶性肿瘤基质中。我们的数据表明结直肠癌和肝转移中MMP-9和TIMP-1 mRNA表达具有独特模式,提示其细胞起源不同以及调控模式各异。

https://cdn.ncbi.nlm.nih.gov/pmc/blobs/9e42/2033901/6168ff0e9805/brjcancer00043-0061-a.jpg

文献检索

告别复杂PubMed语法,用中文像聊天一样搜索,搜遍4000万医学文献。AI智能推荐,让科研检索更轻松。

立即免费搜索

文件翻译

保留排版,准确专业,支持PDF/Word/PPT等文件格式,支持 12+语言互译。

免费翻译文档

深度研究

AI帮你快速写综述,25分钟生成高质量综述,智能提取关键信息,辅助科研写作。

立即免费体验