• 文献检索
  • 文档翻译
  • 深度研究
  • 学术资讯
  • Suppr Zotero 插件Zotero 插件
  • 邀请有礼
  • 套餐&价格
  • 历史记录
应用&插件
Suppr Zotero 插件Zotero 插件浏览器插件Mac 客户端Windows 客户端微信小程序
定价
高级版会员购买积分包购买API积分包
服务
文献检索文档翻译深度研究API 文档MCP 服务
关于我们
关于 Suppr公司介绍联系我们用户协议隐私条款
关注我们

Suppr 超能文献

核心技术专利:CN118964589B侵权必究
粤ICP备2023148730 号-1Suppr @ 2026

文献检索

告别复杂PubMed语法,用中文像聊天一样搜索,搜遍4000万医学文献。AI智能推荐,让科研检索更轻松。

立即免费搜索

文件翻译

保留排版,准确专业,支持PDF/Word/PPT等文件格式,支持 12+语言互译。

免费翻译文档

深度研究

AI帮你快速写综述,25分钟生成高质量综述,智能提取关键信息,辅助科研写作。

立即免费体验

Gsα蛋白在转基因小鼠心脏中的过表达。

Overexpression of Gs alpha protein in the hearts of transgenic mice.

作者信息

Gaudin C, Ishikawa Y, Wight D C, Mahdavi V, Nadal-Ginard B, Wagner T E, Vatner D E, Homcy C J

机构信息

Department of Pharmacology, College of Physicians and Surgeons of Columbia University, New York 10032, USA.

出版信息

J Clin Invest. 1995 Apr;95(4):1676-83. doi: 10.1172/JCI117843.

DOI:10.1172/JCI117843
PMID:7706476
原文链接:https://pmc.ncbi.nlm.nih.gov/articles/PMC295676/
Abstract

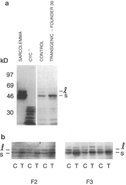
Alterations in beta-adrenergic receptor-Gs-adenylyl cyclase coupling underlie the reduced catecholamine responsiveness that is a hallmark of human and animal models of heart failure. To study the effect of altered expression of Gs alpha, we overexpressed the short isoform of Gs alpha in the hearts of transgenic mice, using a rat alpha-myosin heavy chain promoter. Gs alpha mRNA levels were increased selectively in the hearts of transgenic mice, with a level 38 times the control. Despite this marked increase in mRNA, Western blotting identified only a 2.8-fold increase in the content of the Gs alpha short isoform, whereas Gs activity was increased by 88%. The discrepancy between Gs alpha mRNA and Gs alpha protein levels suggests that the membrane content of Gs alpha is posttranscriptionally regulated. The steady-state adenylyl cyclase catalytic activity was not altered under either basal or stimulated conditions (GTP + isoproterenol, GTP gamma S, NaF, or forskolin). However, progress curve studies did show a significant decrease in the lag period necessary for GppNHp to stimulate adenylyl cyclase activity. Furthermore, the relative number of beta-adrenergic receptors binding agonist with high affinity was significantly increased. Our data demonstrate that a relatively small increase in the amount of the coupling protein Gs alpha can modify the rate of catalyst activation and the formation of agonist high affinity receptors.

摘要

β-肾上腺素能受体-Gs-腺苷酸环化酶偶联的改变是心力衰竭的人类和动物模型的一个标志——儿茶酚胺反应性降低的基础。为了研究Gsα表达改变的影响,我们使用大鼠α-肌球蛋白重链启动子在转基因小鼠心脏中过表达Gsα的短异构体。转基因小鼠心脏中Gsα mRNA水平选择性增加,是对照水平的38倍。尽管mRNA有如此显著的增加,但蛋白质印迹法显示Gsα短异构体的含量仅增加了2.8倍,而Gs活性增加了88%。Gsα mRNA水平与Gsα蛋白水平之间的差异表明,Gsα的膜含量受到转录后调控。在基础或刺激条件下(GTP + 异丙肾上腺素、GTPγS、NaF或福斯可林),稳态腺苷酸环化酶催化活性均未改变。然而,进程曲线研究确实显示,GppNHp刺激腺苷酸环化酶活性所需的延迟期显著缩短。此外,与激动剂结合的高亲和力β-肾上腺素能受体的相对数量显著增加。我们的数据表明,偶联蛋白Gsα量的相对较小增加可以改变催化剂激活速率和激动剂高亲和力受体的形成。

https://cdn.ncbi.nlm.nih.gov/pmc/blobs/f0a7/295676/b8a712bc8434/jcinvest00025-0263-a.jpg
https://cdn.ncbi.nlm.nih.gov/pmc/blobs/f0a7/295676/03ec26e7cdc9/jcinvest00025-0261-a.jpg
https://cdn.ncbi.nlm.nih.gov/pmc/blobs/f0a7/295676/c7b20c21d586/jcinvest00025-0262-a.jpg
https://cdn.ncbi.nlm.nih.gov/pmc/blobs/f0a7/295676/1f25319f17a8/jcinvest00025-0262-b.jpg
https://cdn.ncbi.nlm.nih.gov/pmc/blobs/f0a7/295676/24ba477945b4/jcinvest00025-0262-c.jpg
https://cdn.ncbi.nlm.nih.gov/pmc/blobs/f0a7/295676/b8a712bc8434/jcinvest00025-0263-a.jpg
https://cdn.ncbi.nlm.nih.gov/pmc/blobs/f0a7/295676/03ec26e7cdc9/jcinvest00025-0261-a.jpg
https://cdn.ncbi.nlm.nih.gov/pmc/blobs/f0a7/295676/c7b20c21d586/jcinvest00025-0262-a.jpg
https://cdn.ncbi.nlm.nih.gov/pmc/blobs/f0a7/295676/1f25319f17a8/jcinvest00025-0262-b.jpg
https://cdn.ncbi.nlm.nih.gov/pmc/blobs/f0a7/295676/24ba477945b4/jcinvest00025-0262-c.jpg
https://cdn.ncbi.nlm.nih.gov/pmc/blobs/f0a7/295676/b8a712bc8434/jcinvest00025-0263-a.jpg

相似文献

1
Overexpression of Gs alpha protein in the hearts of transgenic mice.Gsα蛋白在转基因小鼠心脏中的过表达。
J Clin Invest. 1995 Apr;95(4):1676-83. doi: 10.1172/JCI117843.
2
Tubulin stimulates adenylyl cyclase activity in C6 glioma cells by bypassing the beta-adrenergic receptor: a potential mechanism of G protein activation.微管蛋白通过绕过β-肾上腺素能受体刺激C6胶质瘤细胞中的腺苷酸环化酶活性:一种G蛋白激活的潜在机制。
J Neurochem. 2001 Jan;76(1):182-90. doi: 10.1046/j.1471-4159.2001.00013.x.
3
Downregulation of cardiac guanosine 5'-triphosphate-binding proteins in right atrium and left ventricle in pacing-induced congestive heart failure.起搏诱导的充血性心力衰竭时右心房和左心室中心脏鸟苷5'-三磷酸结合蛋白的下调
J Clin Invest. 1993 Mar;91(3):939-49. doi: 10.1172/JCI116315.
4
Ontogeny of regulatory mechanisms for beta-adrenoceptor control of rat cardiac adenylyl cyclase: targeting of G-proteins and the cyclase catalytic subunit.大鼠心脏腺苷酸环化酶β-肾上腺素能受体调控机制的个体发生:G蛋白和环化酶催化亚基的靶向作用
J Mol Cell Cardiol. 1997 Feb;29(2):603-15. doi: 10.1006/jmcc.1996.0303.
5
Diverse G protein and beta-adrenergic receptor mRNA expression in normal and failing porcine hearts.正常和衰竭猪心脏中多种G蛋白和β-肾上腺素能受体mRNA的表达
Am J Physiol. 1994 Nov;267(5 Pt 2):H2079-85. doi: 10.1152/ajpheart.1994.267.5.H2079.
6
Altering the receptor-effector ratio by transgenic overexpression of type V adenylyl cyclase: enhanced basal catalytic activity and function without increased cardiomyocyte beta-adrenergic signalling.通过V型腺苷酸环化酶的转基因过表达改变受体-效应器比率:增强基础催化活性和功能,而不增加心肌细胞β-肾上腺素能信号传导。
Biochemistry. 1999 Dec 14;38(50):16706-13. doi: 10.1021/bi991619k.
7
Cardiac adenylyl cyclase, beta-adrenergic receptors, and G proteins in salt-sensitive hypertension.
Hypertension. 1993 Nov;22(5):715-27. doi: 10.1161/01.hyp.22.5.715.
8
Modification of cardiac beta-adrenoceptor mechanisms by H2O2.过氧化氢对心脏β-肾上腺素能受体机制的修饰作用
Am J Physiol. 1998 Feb;274(2):H416-23. doi: 10.1152/ajpheart.1998.274.2.H416.
9
Transgenic mice with cardiac overexpression of alpha1B-adrenergic receptors. In vivo alpha1-adrenergic receptor-mediated regulation of beta-adrenergic signaling.α1B - 肾上腺素能受体在心脏中过表达的转基因小鼠。体内α1 - 肾上腺素能受体介导的β - 肾上腺素能信号调节。
J Biol Chem. 1997 Aug 22;272(34):21253-9. doi: 10.1074/jbc.272.34.21253.
10
Characterization of adenylyl cyclase in heart sarcolemma in the absence or presence of alamethicin.在有无阿拉霉素情况下心脏肌膜中腺苷酸环化酶的特性研究
Mol Cell Biochem. 1993 Feb 17;119(1-2):185-93. doi: 10.1007/BF00926870.

引用本文的文献

1
Associations of and Gene Polymorphisms with the Risk of Ritodrine-Induced Adverse Events in Korean Women with Preterm Labor: A Cohort Study.韩国早产女性中**和**基因多态性与利托君诱发不良事件风险的关联:一项队列研究。 注:原文中“**和**”部分内容缺失,请补充完整以便准确翻译。
Pharmaceutics. 2022 Jun 8;14(6):1220. doi: 10.3390/pharmaceutics14061220.
2
Signaling cascades in the failing heart and emerging therapeutic strategies.衰竭心脏中的信号级联反应和新兴治疗策略。
Signal Transduct Target Ther. 2022 Apr 23;7(1):134. doi: 10.1038/s41392-022-00972-6.
3
Gsα deficiency facilitates cardiac remodeling via CREB/ Bmp10-mediated signaling.

本文引用的文献

1
Lipid modifications of G proteins: alpha subunits are palmitoylated.G蛋白的脂质修饰:α亚基被棕榈酰化。
Proc Natl Acad Sci U S A. 1993 Apr 15;90(8):3675-9. doi: 10.1073/pnas.90.8.3675.
2
Myocardial beta-adrenergic receptor function during the development of pacing-induced heart failure.起搏诱导性心力衰竭发展过程中心肌β-肾上腺素能受体功能
J Clin Invest. 1993 Mar;91(3):907-14. doi: 10.1172/JCI116312.
3
Inhibition of adenylyl cyclase by Gi alpha.Giα对腺苷酸环化酶的抑制作用。
Gsα缺乏通过CREB/Bmp10介导的信号通路促进心脏重塑。
Cell Death Discov. 2021 Dec 14;7(1):391. doi: 10.1038/s41420-021-00788-3.
4
Fine Tuning Adenylyl Cyclase as a (Gene) Therapy for Heart Failure.微调腺苷酸环化酶作为心力衰竭的(基因)治疗方法。
JACC Basic Transl Sci. 2016 Dec 26;1(7):630-632. doi: 10.1016/j.jacbts.2016.10.005. eCollection 2016 Dec.
5
Network-based predictions of in vivo cardiac hypertrophy.基于网络的体内心肌肥大预测。
J Mol Cell Cardiol. 2018 Aug;121:180-189. doi: 10.1016/j.yjmcc.2018.07.243. Epub 2018 Jul 17.
6
Protective Role for LPA in Cardiac Hypertrophy Induced by Myocardial Infarction but Not by Isoproterenol.溶血磷脂酸(LPA)在心肌梗死诱导而非异丙肾上腺素诱导的心肌肥厚中起保护作用。
Front Physiol. 2017 May 30;8:356. doi: 10.3389/fphys.2017.00356. eCollection 2017.
7
Cardiac Effects of Attenuating Gsα - Dependent Signaling.减弱Gsα依赖性信号传导的心脏效应。
PLoS One. 2016 Jan 26;11(1):e0146988. doi: 10.1371/journal.pone.0146988. eCollection 2016.
8
Targeted transgenesis identifies Gαs as the bottleneck in β2-adrenergic receptor cell signaling and physiological function in airway smooth muscle.靶向转基因技术确定Gαs是气道平滑肌中β2-肾上腺素能受体细胞信号传导和生理功能的瓶颈。
Am J Physiol Lung Cell Mol Physiol. 2014 Nov 15;307(10):L775-80. doi: 10.1152/ajplung.00209.2014. Epub 2014 Sep 26.
9
GNAS gene variants affect β-blocker-related survival after coronary artery bypass grafting.GNAS 基因突变影响冠状动脉旁路移植术后β受体阻滞剂相关的生存。
Anesthesiology. 2014 May;120(5):1109-1117. doi: 10.1097/ALN.0000000000000189.
10
A pathway and network review on beta-adrenoceptor signaling and beta blockers in cardiac remodeling.β-肾上腺素能受体信号传导与β受体阻滞剂在心脏重塑中的途径及网络综述
Heart Fail Rev. 2014 Nov;19(6):799-814. doi: 10.1007/s10741-013-9417-4.
Science. 1993 Jul 9;261(5118):218-21. doi: 10.1126/science.8327893.
4
Transient and steady state kinetics of the interaction of guanyl nucleotides with the adenylyl cyclase system from rat liver plasma membranes. Interpretation in terms of a simple two-state model.鸟苷酸与大鼠肝细胞膜腺苷酸环化酶系统相互作用的瞬态和稳态动力学。基于简单双态模型的解释。
J Biol Chem. 1980 Apr 25;255(8):3542-51.
5
Microinjection of a rabbit beta-globin gene into zygotes and its subsequent expression in adult mice and their offspring.将兔β-珠蛋白基因显微注射到受精卵中及其在成年小鼠及其后代中的后续表达。
Proc Natl Acad Sci U S A. 1981 Oct;78(10):6376-80. doi: 10.1073/pnas.78.10.6376.
6
Effects of pressure overload, left ventricular hypertrophy on beta-adrenergic receptors, and responsiveness to catecholamines.压力超负荷、左心室肥厚对β-肾上腺素能受体的影响以及对儿茶酚胺的反应性。
J Clin Invest. 1984 May;73(5):1473-82. doi: 10.1172/JCI111351.
7
Ligand: a versatile computerized approach for characterization of ligand-binding systems.配体:一种用于表征配体结合系统的通用计算机化方法。
Anal Biochem. 1980 Sep 1;107(1):220-39. doi: 10.1016/0003-2697(80)90515-1.
8
Unmasking effect of alamethicin on the (Na+,K+)-ATPase, beta-adrenergic receptor-coupled adenylate cyclase, and cAMP-dependent protein kinase activities of cardiac sarcolemmal vesicles.阿拉米辛对心肌肌膜囊泡的(钠,钾)-ATP酶、β-肾上腺素能受体偶联腺苷酸环化酶及环磷酸腺苷依赖性蛋白激酶活性的揭露作用
J Biol Chem. 1980 Oct 25;255(20):9971-80.
9
Point mutations define a sequence flanking the AUG initiator codon that modulates translation by eukaryotic ribosomes.点突变确定了AUG起始密码子侧翼的一个序列,该序列可调节真核生物核糖体的翻译。
Cell. 1986 Jan 31;44(2):283-92. doi: 10.1016/0092-8674(86)90762-2.
10
Introns increase transcriptional efficiency in transgenic mice.内含子可提高转基因小鼠的转录效率。
Proc Natl Acad Sci U S A. 1988 Feb;85(3):836-40. doi: 10.1073/pnas.85.3.836.