• 文献检索
  • 文档翻译
  • 深度研究
  • 学术资讯
  • Suppr Zotero 插件Zotero 插件
  • 邀请有礼
  • 套餐&价格
  • 历史记录
应用&插件
Suppr Zotero 插件Zotero 插件浏览器插件Mac 客户端Windows 客户端微信小程序
定价
高级版会员购买积分包购买API积分包
服务
文献检索文档翻译深度研究API 文档MCP 服务
关于我们
关于 Suppr公司介绍联系我们用户协议隐私条款
关注我们

Suppr 超能文献

核心技术专利:CN118964589B侵权必究
粤ICP备2023148730 号-1Suppr @ 2026

文献检索

告别复杂PubMed语法,用中文像聊天一样搜索,搜遍4000万医学文献。AI智能推荐,让科研检索更轻松。

立即免费搜索

文件翻译

保留排版,准确专业,支持PDF/Word/PPT等文件格式,支持 12+语言互译。

免费翻译文档

深度研究

AI帮你快速写综述,25分钟生成高质量综述,智能提取关键信息,辅助科研写作。

立即免费体验

In vivo occupancy of the vitamin D responsive element in the osteocalcin gene supports vitamin D-dependent transcriptional upregulation in intact cells.

作者信息

Breen E C, van Wijnen A J, Lian J B, Stein G S, Stein J L

机构信息

Department of Cell Biology, University of Massachusetts Medical Center, Worcester 01655.

出版信息

Proc Natl Acad Sci U S A. 1994 Dec 20;91(26):12902-6. doi: 10.1073/pnas.91.26.12902.

DOI:10.1073/pnas.91.26.12902
PMID:7809144
原文链接:https://pmc.ncbi.nlm.nih.gov/articles/PMC45548/
Abstract

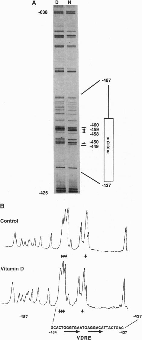
The steroid hormone vitamin D is a principal mediator of skeletal homeostasis. 1,25-Dihydroxyvitamin D3 treatment of ROS 17/2.8 osteoblast-like cells results in a ligand-dependent increase in transcription of the bone-specific osteocalcin gene. This transcriptional upregulation requires the positive cis-acting vitamin D responsive element (VDRE). We have used the ligation-mediated polymerase chain reaction to demonstrate that protein occupancy of the VDRE within the intact cell correlates with increased synthesis of osteocalcin transcripts. These protein-DNA contacts were not present in the absence of vitamin D or in osteosarcoma cells (ROS 24.1) lacking the vitamin D receptor. Our results establish in intact cells the requirement for both ligand- and receptor-dependent occupancy of the VDRE for vitamin D responsive enhancement of osteocalcin gene transcription.

摘要
https://cdn.ncbi.nlm.nih.gov/pmc/blobs/071d/45548/64a34ce03bd4/pnas01477-0560-a.jpg
https://cdn.ncbi.nlm.nih.gov/pmc/blobs/071d/45548/0c297f9e0e2a/pnas01477-0558-a.jpg
https://cdn.ncbi.nlm.nih.gov/pmc/blobs/071d/45548/2fc565cdf218/pnas01477-0559-a.jpg
https://cdn.ncbi.nlm.nih.gov/pmc/blobs/071d/45548/64a34ce03bd4/pnas01477-0560-a.jpg
https://cdn.ncbi.nlm.nih.gov/pmc/blobs/071d/45548/0c297f9e0e2a/pnas01477-0558-a.jpg
https://cdn.ncbi.nlm.nih.gov/pmc/blobs/071d/45548/2fc565cdf218/pnas01477-0559-a.jpg
https://cdn.ncbi.nlm.nih.gov/pmc/blobs/071d/45548/64a34ce03bd4/pnas01477-0560-a.jpg

相似文献

1
In vivo occupancy of the vitamin D responsive element in the osteocalcin gene supports vitamin D-dependent transcriptional upregulation in intact cells.
Proc Natl Acad Sci U S A. 1994 Dec 20;91(26):12902-6. doi: 10.1073/pnas.91.26.12902.
2
YY1 regulates vitamin D receptor/retinoid X receptor mediated transactivation of the vitamin D responsive osteocalcin gene.YY1调节维生素D受体/视黄醇X受体介导的维生素D反应性骨钙素基因的反式激活。
Proc Natl Acad Sci U S A. 1997 Jan 7;94(1):121-6. doi: 10.1073/pnas.94.1.121.
3
Vitamin D-responsive protein-DNA interactions at multiple promoter regulatory elements that contribute to the level of rat osteocalcin gene expression.维生素D反应蛋白与多个启动子调控元件的DNA相互作用,这些调控元件影响大鼠骨钙素基因的表达水平。
Proc Natl Acad Sci U S A. 1992 Jul 1;89(13):6119-23. doi: 10.1073/pnas.89.13.6119.
4
Variations in vitamin D receptor transcription factor complexes associated with the osteocalcin gene vitamin D responsive element in osteoblasts and osteosarcoma cells.与成骨细胞和骨肉瘤细胞中骨钙素基因维生素D反应元件相关的维生素D受体转录因子复合物的变异。
J Cell Biochem. 1994 Jun;55(2):218-29. doi: 10.1002/jcb.240550209.
5
Interaction of the 1alpha,25-dihydroxyvitamin D3 receptor at the distal promoter region of the bone-specific osteocalcin gene requires nucleosomal remodelling.骨特异性骨钙素基因远端启动子区域的1α,25 - 二羟基维生素D3受体相互作用需要核小体重塑。
Biochem J. 2002 May 1;363(Pt 3):667-76. doi: 10.1042/0264-6021:3630667.
6
Postproliferative transcription of the rat osteocalcin gene is reflected by vitamin D-responsive developmental modifications in protein-DNA interactions at basal and enhancer promoter elements.大鼠骨钙素基因增殖后转录反映在基础和增强子启动子元件处蛋白质-DNA相互作用中维生素D应答性发育修饰上。
Proc Natl Acad Sci U S A. 1993 Feb 15;90(4):1503-7. doi: 10.1073/pnas.90.4.1503.
7
Functional interference between AP-1 and the vitamin D receptor on osteocalcin gene expression in human osteosarcoma cells.人骨肉瘤细胞中AP-1与维生素D受体对骨钙素基因表达的功能干扰
Eur J Biochem. 1994 Aug 15;224(1):11-20. doi: 10.1111/j.1432-1033.1994.tb19989.x.
8
Constitutive transcription of the osteocalcin gene in osteosarcoma cells is reflected by altered protein-DNA interactions at promoter regulatory elements.骨肉瘤细胞中骨钙素基因的组成型转录通过启动子调控元件处蛋白质 - DNA 相互作用的改变得以体现。
Proc Natl Acad Sci U S A. 1993 Mar 15;90(6):2300-4. doi: 10.1073/pnas.90.6.2300.
9
Inhibition of 1,25-dihydroxyvitamin D3 stimulated osteocalcin gene transcription by tumor necrosis factor-alpha: structural determinants within the vitamin D response element.肿瘤坏死因子-α对1,25-二羟维生素D3刺激骨钙素基因转录的抑制作用:维生素D反应元件内的结构决定因素。
Endocrinology. 1994 Jun;134(6):2524-31. doi: 10.1210/endo.134.6.8194478.
10
Coordinate occupancy of AP-1 sites in the vitamin D-responsive and CCAAT box elements by Fos-Jun in the osteocalcin gene: model for phenotype suppression of transcription.Fos-Jun对骨钙素基因中维生素D反应元件和CCAAT盒元件上AP-1位点的协同占据:转录表型抑制模型
Proc Natl Acad Sci U S A. 1990 Dec;87(24):9990-4. doi: 10.1073/pnas.87.24.9990.

引用本文的文献

1
Interindividual Genetic Differences Drive Discordance Between Serum Calcidiol and Calcitriol Concentrations in Females.个体间基因差异导致女性血清骨化二醇和骨化三醇浓度不一致。
Endocrinology. 2025 Sep 8;166(10). doi: 10.1210/endocr/bqaf138.
2
Effects of Extracellular Osteoanabolic Agents on the Endogenous Response of Osteoblastic Cells.细胞外成骨合成代谢药物对成骨细胞内源性应答的影响。
Cells. 2021 Sep 10;10(9):2383. doi: 10.3390/cells10092383.
3
The Synergistic Interplay between Vitamins D and K for Bone and Cardiovascular Health: A Narrative Review.

本文引用的文献

1
Osteocalcin gene promoter-binding factors are tissue-specific nuclear matrix components.骨钙素基因启动子结合因子是组织特异性核基质成分。
Proc Natl Acad Sci U S A. 1993 Apr 15;90(8):3162-6. doi: 10.1073/pnas.90.8.3162.
2
Constitutive transcription of the osteocalcin gene in osteosarcoma cells is reflected by altered protein-DNA interactions at promoter regulatory elements.骨肉瘤细胞中骨钙素基因的组成型转录通过启动子调控元件处蛋白质 - DNA 相互作用的改变得以体现。
Proc Natl Acad Sci U S A. 1993 Mar 15;90(6):2300-4. doi: 10.1073/pnas.90.6.2300.
3
The 1,25-dihydroxy-vitamin D3 receptor is phosphorylated in response to 1,25-dihydroxy-vitamin D3 and 22-oxacalcitriol in rat osteoblasts, and by casein kinase II, in vitro.
维生素D与维生素K对骨骼和心血管健康的协同相互作用:一项叙述性综述
Int J Endocrinol. 2017;2017:7454376. doi: 10.1155/2017/7454376. Epub 2017 Sep 12.
4
The Role of Vitamin K Status in Cardiovascular Health: Evidence from Observational and Clinical Studies.维生素K状态在心血管健康中的作用:来自观察性研究和临床研究的证据。
Curr Nutr Rep. 2017;6(3):197-205. doi: 10.1007/s13668-017-0208-8. Epub 2017 Jul 10.
5
Osteogenic differentiation of stem cells alters vitamin D receptor expression.干细胞的成骨分化改变了维生素 D 受体的表达。
Stem Cells Dev. 2012 Jul 1;21(10):1726-35. doi: 10.1089/scd.2011.0411. Epub 2012 Jan 4.
6
Protein-disulfide isomerase-associated 3 (Pdia3) mediates the membrane response to 1,25-dihydroxyvitamin D3 in osteoblasts.蛋白二硫键异构酶相关蛋白 3(Pdia3)介导成骨细胞中 1,25-二羟维生素 D3 的膜反应。
J Biol Chem. 2010 Nov 19;285(47):37041-50. doi: 10.1074/jbc.M110.157115. Epub 2010 Sep 15.
7
Expression of human kinase suppressor of Ras 2 (hKSR-2) gene in HL60 leukemia cells is directly upregulated by 1,25-dihydroxyvitamin D(3) and is required for optimal cell differentiation.人Ras激酶抑制因子2(hKSR-2)基因在HL60白血病细胞中的表达直接受1,25-二羟基维生素D(3)上调,且是细胞最佳分化所必需的。
Exp Cell Res. 2007 Aug 15;313(14):3034-45. doi: 10.1016/j.yexcr.2007.05.021. Epub 2007 May 31.
8
Bone-specific transcription factor Runx2 interacts with the 1alpha,25-dihydroxyvitamin D3 receptor to up-regulate rat osteocalcin gene expression in osteoblastic cells.骨特异性转录因子Runx2与1α,25-二羟基维生素D3受体相互作用,上调成骨细胞中大鼠骨钙素基因的表达。
Mol Cell Biol. 2004 Oct;24(20):8847-61. doi: 10.1128/MCB.24.20.8847-8861.2004.
9
Nuclear microenvironments support physiological control of gene expression.核微环境支持基因表达的生理控制。
Chromosome Res. 2003;11(5):527-36. doi: 10.1023/a:1024943214431.
10
Regulation of the bone-specific osteocalcin gene by p300 requires Runx2/Cbfa1 and the vitamin D3 receptor but not p300 intrinsic histone acetyltransferase activity.p300对骨特异性骨钙素基因的调控需要Runx2/Cbfa1和维生素D3受体,但不需要p300内在的组蛋白乙酰转移酶活性。
Mol Cell Biol. 2003 May;23(9):3339-51. doi: 10.1128/MCB.23.9.3339-3351.2003.
Biochemistry. 1993 Aug 17;32(32):8184-92. doi: 10.1021/bi00083a019.
4
Differential orientations of the DNA-binding domain and carboxy-terminal dimerization interface regulate binding site selection by nuclear receptor heterodimers.DNA结合结构域和羧基末端二聚化界面的不同取向调节核受体异二聚体对结合位点的选择。
Genes Dev. 1993 Jul;7(7B):1423-35. doi: 10.1101/gad.7.7b.1423.
5
Two mutations in the hormone binding domain of the vitamin D receptor cause tissue resistance to 1,25 dihydroxyvitamin D3.维生素D受体激素结合域的两个突变导致组织对1,25-二羟基维生素D3产生抵抗。
J Clin Invest. 1993 Jul;92(1):12-6. doi: 10.1172/JCI116539.
6
Vitamin D-regulated gene expression.维生素D调节的基因表达。
Crit Rev Eukaryot Gene Expr. 1993;3(2):89-116.
7
Postproliferative transcription of the rat osteocalcin gene is reflected by vitamin D-responsive developmental modifications in protein-DNA interactions at basal and enhancer promoter elements.大鼠骨钙素基因增殖后转录反映在基础和增强子启动子元件处蛋白质-DNA相互作用中维生素D应答性发育修饰上。
Proc Natl Acad Sci U S A. 1993 Feb 15;90(4):1503-7. doi: 10.1073/pnas.90.4.1503.
8
Nuclear matrix association of multiple sequence-specific DNA binding activities related to SP-1, ATF, CCAAT, C/EBP, OCT-1, and AP-1.与SP-1、ATF、CCAAT、C/EBP、OCT-1和AP-1相关的多种序列特异性DNA结合活性的核基质关联。
Biochemistry. 1993 Aug 24;32(33):8397-402. doi: 10.1021/bi00084a003.
9
DNase I hypersensitive sites in promoter elements associated with basal and vitamin D dependent transcription of the bone-specific osteocalcin gene.与骨特异性骨钙素基因的基础转录及维生素D依赖性转录相关的启动子元件中的脱氧核糖核酸酶I超敏位点。
Biochemistry. 1994 Jan 11;33(1):348-53. doi: 10.1021/bi00167a045.
10
Molecular mechanisms mediating proliferation/differentiation interrelationships during progressive development of the osteoblast phenotype.在成骨细胞表型渐进性发育过程中介导增殖/分化相互关系的分子机制。
Endocr Rev. 1993 Aug;14(4):424-42. doi: 10.1210/edrv-14-4-424.