Suppr超能文献

Expression of transforming growth factor alpha, epidermal growth factor receptor and epidermal growth factor in precursor lesions to gastric carcinoma.

作者信息

Filipe M I, Osborn M, Linehan J, Sanidas E, Brito M J, Jankowski J

机构信息

Department of Histopathology, UMDS Guy's Hospital, London, UK.

出版信息

Br J Cancer. 1995 Jan;71(1):30-6. doi: 10.1038/bjc.1995.7.

Abstract

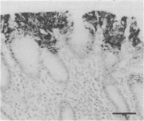
Epidermal growth factor (EGF), its related peptide transforming growth factor (TGF-alpha) and their common receptor (EGFR) have been implicated in the control of cell proliferation and differentiation in the gastrointestinal epithelium and may play an important role in gastric carcinogenesis. We compared the immunohistochemical expression and topographic distribution of these peptides using Western blot analysis in gastric carcinoma precursor lesions and in non-cancer tissue. We observed: (i) increased and extended expression of TGF-alpha in normal mucosa and hyperplasia in carcinoma fields compared with non-cancer controls; (ii) increased expression of EGFR in intestinal metaplasia (IM) from carcinoma fields compared with controls; (iii) EGF expression was not detected in normal mucosa and only weakly in IM; (iv) coexpression of TGF-alpha/EGFR and EGF/EGFR was higher in intestinal metaplasia in carcinoma fields than in non-cancer controls. We conclude that altered expression of TGF-alpha/EGFR is associated with morphological changes during gastric carcinogenesis. In this regard increased expression of TGF-alpha is a very early event which is subsequently followed by up-regulation of EGFR and this has important biological and clinical implications.

摘要
https://cdn.ncbi.nlm.nih.gov/pmc/blobs/239e/2033456/e9b529876e93/brjcancer00047-0035-a.jpg

文献检索

告别复杂PubMed语法,用中文像聊天一样搜索,搜遍4000万医学文献。AI智能推荐,让科研检索更轻松。

立即免费搜索

文件翻译

保留排版,准确专业,支持PDF/Word/PPT等文件格式,支持 12+语言互译。

免费翻译文档

深度研究

AI帮你快速写综述,25分钟生成高质量综述,智能提取关键信息,辅助科研写作。

立即免费体验