Suppr超能文献

RanGTP酶的共激活以及Ran-GTP结合蛋白RanBP1对GTP解离的抑制。

Co-activation of RanGTPase and inhibition of GTP dissociation by Ran-GTP binding protein RanBP1.

作者信息

Bischoff F R, Krebber H, Smirnova E, Dong W, Ponstingl H

机构信息

Division for Molecular Biology of Mitosis, German Cancer Research Center, Heidelberg.

出版信息

EMBO J. 1995 Feb 15;14(4):705-15. doi: 10.1002/j.1460-2075.1995.tb07049.x.

Abstract

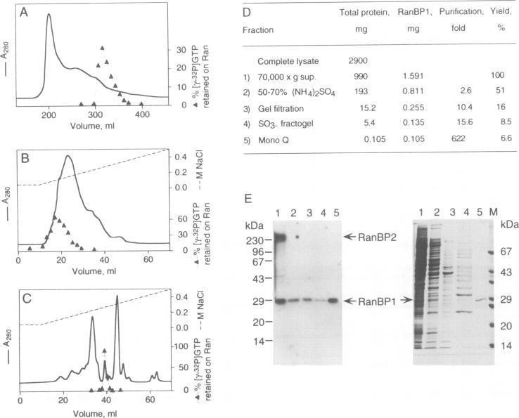
RCC1 (the regulator of chromosome condensation) stimulates guanine nucleotide dissociation on the Ras-related nuclear protein Ran. Both polypeptides are components of a regulatory pathway that has been implicated in regulating DNA replication, onset of and exit from mitosis, mRNA processing and transport, and import of proteins into the nucleus. In a search for further members of the RCC1-Ran signal pathway, we have identified proteins of 23, 45 and 300 kDa which tightly bind to Ran-GTP but not Ran-GDP. The purified soluble 23 kDa Ran binding protein RanBP1 does not activate RanGTPase, but increases GTP hydrolysis induced by the RanGTPase-activating protein RanGAP1 by an order of magnitude. In the absence of RanGAP, it strongly inhibits RCC1-induced exchange of Ran-bound GTP. In addition, it forms a stable complex with nucleotide-free RCC1-Ran. With these properties, it differs markedly from guanine diphosphate dissociation inhibitors which preferentially prevent the exchange of protein-bound GDP and in some cases were shown to inhibit GAP-induced GTP hydrolysis. RanBP1 is the first member of a new class of proteins regulating the binding and hydrolysis of GTP by Ras-related proteins.

摘要

RCC1(染色体凝聚调节因子)可促进鸟嘌呤核苷酸与Ras相关核蛋白Ran分离。这两种多肽都是一条调节途径的组成部分,该途径与调控DNA复制、有丝分裂的起始和退出、mRNA加工与运输以及蛋白质的核输入有关。为了寻找RCC1 - Ran信号通路的其他成员,我们鉴定出了分子量分别为23 kDa、45 kDa和300 kDa的蛋白质,它们能紧密结合Ran - GTP而不结合Ran - GDP。纯化的可溶性23 kDa Ran结合蛋白RanBP1不会激活RanGTP酶,但能使RanGTP酶激活蛋白RanGAP1诱导的GTP水解增加一个数量级。在没有RanGAP的情况下,它会强烈抑制RCC1诱导的Ran结合GTP的交换。此外,它能与无核苷酸的RCC1 - Ran形成稳定复合物。基于这些特性,它与鸟嘌呤二磷酸解离抑制剂明显不同,后者优先阻止蛋白质结合的GDP交换,并且在某些情况下还能抑制GAP诱导的GTP水解。RanBP1是一类新型蛋白质的首个成员,这类蛋白质可调节Ras相关蛋白对GTP的结合和水解。

https://cdn.ncbi.nlm.nih.gov/pmc/blobs/3c9a/398135/582b93110fd3/emboj00028-0087-a.jpg

文献检索

告别复杂PubMed语法,用中文像聊天一样搜索,搜遍4000万医学文献。AI智能推荐,让科研检索更轻松。

立即免费搜索

文件翻译

保留排版,准确专业,支持PDF/Word/PPT等文件格式,支持 12+语言互译。

免费翻译文档

深度研究

AI帮你快速写综述,25分钟生成高质量综述,智能提取关键信息,辅助科研写作。

立即免费体验