Suppr超能文献

口腔上皮的角化

Keratinization of the oral epithelium.

作者信息

Adams D

出版信息

Ann R Coll Surg Engl. 1976 Sep;58(5):351-8.

Abstract

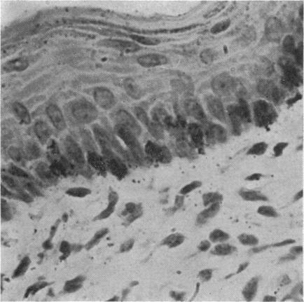
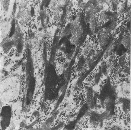
The morphology of the keratinizing epithelia in the mouth is reviwed in the light of recent knowledge. There appears to be a spectrum of degrees of keratinization rather than distinct types, and a degree of keratinization is reflected in the degree of packing and orientation of tonofilaments. The role of keratohyaline and other granules in the process is discussed and it is suggested that modification of the cell membrane is an important part of keratinization. Although the potential of the various areas in the mucosa is genetically determined and appears early in fetal life, the connective tissue exerts an influence on the extent of keratinization of the surface in a manner which is not understood.

摘要

根据最新知识,对口腔中角化上皮的形态进行了综述。角化程度似乎存在一个连续谱,而非不同类型,角蛋白丝的聚集和排列程度反映了角化程度。文中讨论了透明角质颗粒及其他颗粒在此过程中的作用,并提出细胞膜的修饰是角化的重要组成部分。尽管黏膜各区域的潜能由基因决定且在胎儿期早期就已显现,但结缔组织以一种尚不清楚的方式影响着表面的角化程度。

https://cdn.ncbi.nlm.nih.gov/pmc/blobs/2ef0/2491838/d99284a23321/annrcse01478-0014-a.jpg

文献检索

告别复杂PubMed语法,用中文像聊天一样搜索,搜遍4000万医学文献。AI智能推荐,让科研检索更轻松。

立即免费搜索

文件翻译

保留排版,准确专业,支持PDF/Word/PPT等文件格式,支持 12+语言互译。

免费翻译文档

深度研究

AI帮你快速写综述,25分钟生成高质量综述,智能提取关键信息,辅助科研写作。

立即免费体验