• 文献检索
  • 文档翻译
  • 深度研究
  • 学术资讯
  • Suppr Zotero 插件Zotero 插件
  • 邀请有礼
  • 套餐&价格
  • 历史记录
应用&插件
Suppr Zotero 插件Zotero 插件浏览器插件Mac 客户端Windows 客户端微信小程序
定价
高级版会员购买积分包购买API积分包
服务
文献检索文档翻译深度研究API 文档MCP 服务
关于我们
关于 Suppr公司介绍联系我们用户协议隐私条款
关注我们

Suppr 超能文献

核心技术专利:CN118964589B侵权必究
粤ICP备2023148730 号-1Suppr @ 2026

文献检索

告别复杂PubMed语法,用中文像聊天一样搜索,搜遍4000万医学文献。AI智能推荐,让科研检索更轻松。

立即免费搜索

文件翻译

保留排版,准确专业,支持PDF/Word/PPT等文件格式,支持 12+语言互译。

免费翻译文档

深度研究

AI帮你快速写综述,25分钟生成高质量综述,智能提取关键信息,辅助科研写作。

立即免费体验

CRP在大肠杆菌乳糖启动子转录激活中的作用:在开放复合物形成后CRP是可有可无的。

Role of CRP in transcription activation at Escherichia coli lac promoter: CRP is dispensable after the formation of open complex.

作者信息

Tagami H, Aiba H

机构信息

Department of Molecular Biology, School of Science, Nagoya University, Japan.

出版信息

Nucleic Acids Res. 1995 Feb 25;23(4):599-605. doi: 10.1093/nar/23.4.599.

DOI:10.1093/nar/23.4.599
PMID:7899079
原文链接:https://pmc.ncbi.nlm.nih.gov/articles/PMC306726/
Abstract

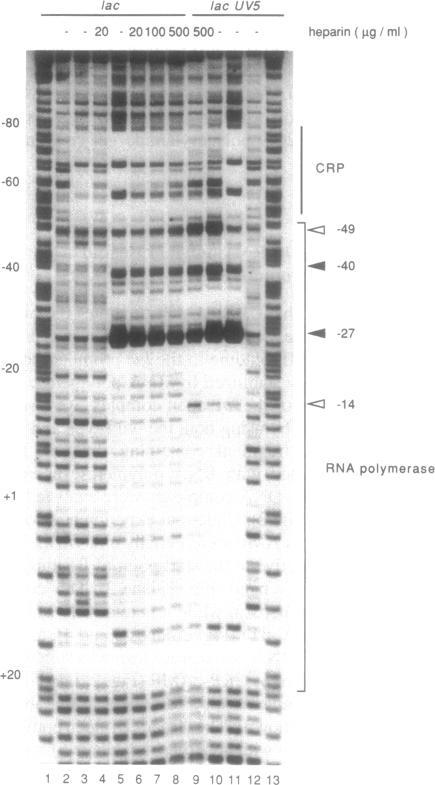
The role of cAMP receptor protein (CRP) in transcription activation at the Escherichia coli lac promoter was investigated focusing on the steps after the formation of open complex. Although CRP binding to the lac DNA is stabilized in the ternary open complex, a high concentration of heparin dissociates CRP from the open complex without affecting the interaction between RNA polymerase and promoter, resulting in a binary complex. The release of CRP is directly shown by Western blotting and DNase I footprinting. The binary complex exhibits a slightly increased gel mobility compared to the ternary complex. The binary complex retains the characteristics of the open complex in footprinting pattern which is essentially identical with that of the open complex of the lac UV5 promoter. The binary complex is competent for transcription. These results indicate that CRP is not necessary for the maintenance of active open complex. In addition, the removal of CRP does not increase the production of abortive RNAs. We conclude that the contact between CRP and RNA polymerase is not essential for transcription activation after the formation of the open complex at the lac promoter. In other words, the role of CRP in the lac promoter is restricted to the steps up to the formation of open complex.

摘要

研究了环磷酸腺苷受体蛋白(CRP)在大肠杆菌乳糖启动子转录激活中的作用,重点关注开放复合物形成后的步骤。尽管CRP与乳糖DNA的结合在三元开放复合物中得以稳定,但高浓度的肝素会使CRP从开放复合物中解离,而不影响RNA聚合酶与启动子之间的相互作用,从而形成二元复合物。通过蛋白质免疫印迹法和DNase I足迹法直接证实了CRP的释放。与三元复合物相比,二元复合物的凝胶迁移率略有增加。二元复合物在足迹模式上保留了开放复合物的特征,这与乳糖UV5启动子开放复合物的足迹模式基本相同。二元复合物具有转录活性。这些结果表明,CRP对于维持活性开放复合物并非必需。此外,去除CRP并不会增加流产RNA的产生。我们得出结论,在乳糖启动子开放复合物形成后,CRP与RNA聚合酶之间的接触对于转录激活并非必不可少。换句话说,CRP在乳糖启动子中的作用仅限于开放复合物形成之前的步骤。

https://cdn.ncbi.nlm.nih.gov/pmc/blobs/15cf/306726/067306e76053/nar00004-0072-a.jpg
https://cdn.ncbi.nlm.nih.gov/pmc/blobs/15cf/306726/367abb9b3f28/nar00004-0069-a.jpg
https://cdn.ncbi.nlm.nih.gov/pmc/blobs/15cf/306726/235a4c9ae529/nar00004-0070-a.jpg
https://cdn.ncbi.nlm.nih.gov/pmc/blobs/15cf/306726/a2600a3e40eb/nar00004-0070-b.jpg
https://cdn.ncbi.nlm.nih.gov/pmc/blobs/15cf/306726/9c8a4220c88e/nar00004-0071-a.jpg
https://cdn.ncbi.nlm.nih.gov/pmc/blobs/15cf/306726/067306e76053/nar00004-0072-a.jpg
https://cdn.ncbi.nlm.nih.gov/pmc/blobs/15cf/306726/367abb9b3f28/nar00004-0069-a.jpg
https://cdn.ncbi.nlm.nih.gov/pmc/blobs/15cf/306726/235a4c9ae529/nar00004-0070-a.jpg
https://cdn.ncbi.nlm.nih.gov/pmc/blobs/15cf/306726/a2600a3e40eb/nar00004-0070-b.jpg
https://cdn.ncbi.nlm.nih.gov/pmc/blobs/15cf/306726/9c8a4220c88e/nar00004-0071-a.jpg
https://cdn.ncbi.nlm.nih.gov/pmc/blobs/15cf/306726/067306e76053/nar00004-0072-a.jpg

相似文献

1
Role of CRP in transcription activation at Escherichia coli lac promoter: CRP is dispensable after the formation of open complex.CRP在大肠杆菌乳糖启动子转录激活中的作用:在开放复合物形成后CRP是可有可无的。
Nucleic Acids Res. 1995 Feb 25;23(4):599-605. doi: 10.1093/nar/23.4.599.
2
The cAMP receptor protein CRP can function as an osmoregulator of transcription in Escherichia coli.环腺苷酸受体蛋白CRP可作为大肠杆菌转录的渗透压调节因子发挥作用。
Genes Dev. 1999 Dec 1;13(23):3081-91. doi: 10.1101/gad.13.23.3081.
3
A common role of CRP in transcription activation: CRP acts transiently to stimulate events leading to open complex formation at a diverse set of promoters.CRP在转录激活中的常见作用:CRP短暂发挥作用,刺激一系列启动子处导致开放复合物形成的事件。
EMBO J. 1998 Mar 16;17(6):1759-67. doi: 10.1093/emboj/17.6.1759.
4
Analysis of the spacer DNA between the cyclic AMP receptor protein binding site and the lac promoter.对环磷酸腺苷受体蛋白结合位点与乳糖启动子之间间隔DNA的分析。
J Bacteriol. 1996 Apr;178(8):2436-9. doi: 10.1128/jb.178.8.2436-2439.1996.
5
Effects of an anti-alpha monoclonal antibody on interaction of Escherichia coli RNA polymerase with lac promoters.一种抗α单克隆抗体对大肠杆菌RNA聚合酶与乳糖启动子相互作用的影响。
Biochemistry. 1990 May 8;29(18):4440-6. doi: 10.1021/bi00470a026.
6
Regulation of microcin C51 operon expression: the role of global regulators of transcription.微菌素C51操纵子表达的调控:转录全局调控因子的作用
Res Microbiol. 2001 Jun;152(5):469-79. doi: 10.1016/s0923-2508(01)01220-7.
7
Mode of selectivity in cyclic AMP receptor protein-dependent promoters in Escherichia coli.大肠杆菌中依赖环磷酸腺苷受体蛋白的启动子的选择性模式。
Biochemistry. 1996 Jan 30;35(4):1162-72. doi: 10.1021/bi952187q.
8
Activation of the lac promoter and its variants. Synergistic effects of catabolite activator protein and supercoiling in vitro.乳糖启动子及其变体的激活。代谢物激活蛋白和超螺旋在体外的协同作用。
J Mol Biol. 1989 Jun 20;207(4):661-73. doi: 10.1016/0022-2836(89)90236-2.
9
lacP1 promoter with an extended -10 motif. Pleiotropic effects of cyclic AMP protein at different steps of transcription initiation.具有延伸 -10 基序的 lacP1 启动子。环磷酸腺苷蛋白在转录起始不同步骤中的多效性作用。
J Biol Chem. 2004 Dec 24;279(52):54552-7. doi: 10.1074/jbc.M408609200. Epub 2004 Sep 22.
10
Molecular analysis of the regulation of csiD, a carbon starvation-inducible gene in Escherichia coli that is exclusively dependent on sigma s and requires activation by cAMP-CRP.大肠杆菌中碳饥饿诱导基因csiD调控的分子分析,该基因完全依赖于σS且需要cAMP-CRP激活。
J Mol Biol. 1998 Feb 20;276(2):339-53. doi: 10.1006/jmbi.1997.1533.

引用本文的文献

1
Evolution of Regulated Transcription.调控转录的进化。
Cells. 2020 Jul 12;9(7):1675. doi: 10.3390/cells9071675.
2
ChIP-exo interrogation of Crp, DNA, and RNAP holoenzyme interactions.ChIP-exo 检测 CRP、DNA 和 RNAP 全酶相互作用。
PLoS One. 2018 May 17;13(5):e0197272. doi: 10.1371/journal.pone.0197272. eCollection 2018.
3
Link between the causative genes of holoprosencephaly: Zic2 directly regulates Tgif1 expression.无脑回畸形的致病基因之间的联系:Zic2 直接调控 Tgif1 的表达。

本文引用的文献

1
Evidence of DNA bending in transcription complexes imaged by scanning force microscopy.通过扫描力显微镜成像的转录复合物中DNA弯曲的证据。
Science. 1993 Jun 11;260(5114):1646-9. doi: 10.1126/science.8503010.
2
Protein-protein communication within the transcription apparatus.转录装置内的蛋白质-蛋白质通讯。
J Bacteriol. 1993 May;175(9):2483-9. doi: 10.1128/jb.175.9.2483-2489.1993.
3
Promoter resurrection by activators--a minireview.激活因子介导的启动子复活——一篇综述
Sci Rep. 2018 Feb 1;8(1):2140. doi: 10.1038/s41598-018-20242-2.
4
Cyclic AMP Receptor Protein Acts as a Transcription Regulator in Response to Stresses in Deinococcus radiodurans.环磷酸腺苷受体蛋白作为嗜放射栖热菌应对压力时的转录调节因子。
PLoS One. 2016 May 16;11(5):e0155010. doi: 10.1371/journal.pone.0155010. eCollection 2016.
5
Comparison of the theoretical and real-world evolutionary potential of a genetic circuit.基因回路的理论与现实世界进化潜力的比较
Phys Biol. 2014 Apr;11(2):026005. doi: 10.1088/1478-3975/11/2/026005. Epub 2014 Apr 1.
6
Transcription activation by the siderophore sensor Btr is mediated by ligand-dependent stimulation of promoter clearance.铁载体传感器 Btr 通过配体依赖性促进启动子清除来实现转录激活。
Nucleic Acids Res. 2012 Apr;40(8):3585-95. doi: 10.1093/nar/gkr1280. Epub 2011 Dec 30.
7
Unexpected coregulator range for the global regulator Lrp of Escherichia coli and Proteus mirabilis.出乎意料的全局调控因子 Lrp 对大肠杆菌和奇异变形杆菌的共同调控范围。
J Bacteriol. 2011 Mar;193(5):1054-64. doi: 10.1128/JB.01183-10. Epub 2010 Dec 17.
8
Transcriptional effects of CRP* expression in Escherichia coli.CRP* 在大肠杆菌中的转录效应。
J Biol Eng. 2009 Aug 24;3:13. doi: 10.1186/1754-1611-3-13.
9
Chemical linkage at allosteric activation of E. coli cAMP receptor protein.大肠杆菌cAMP受体蛋白变构激活时的化学连接
Protein J. 2008 Jan;27(1):21-9. doi: 10.1007/s10930-007-9104-1.
10
A common role of CRP in transcription activation: CRP acts transiently to stimulate events leading to open complex formation at a diverse set of promoters.CRP在转录激活中的常见作用:CRP短暂发挥作用,刺激一系列启动子处导致开放复合物形成的事件。
EMBO J. 1998 Mar 16;17(6):1759-67. doi: 10.1093/emboj/17.6.1759.
Gene. 1993 Sep 30;132(1):1-6. doi: 10.1016/0378-1119(93)90507-y.
4
Transcription activation at Class I CAP-dependent promoters.I类CAP依赖性启动子的转录激活
Mol Microbiol. 1993 May;8(5):797-802. doi: 10.1111/j.1365-2958.1993.tb01626.x.
5
Transcriptional regulation by cAMP and its receptor protein.环磷酸腺苷(cAMP)及其受体蛋白的转录调控
Annu Rev Biochem. 1993;62:749-95. doi: 10.1146/annurev.bi.62.070193.003533.
6
The structure of the RNA polymerase-promoter complex. DNA-bending-angle by quantitative electrooptics.RNA聚合酶-启动子复合物的结构。通过定量电光法测定DNA弯曲角度。
J Mol Biol. 1994 Feb 11;236(1):1-6. doi: 10.1006/jmbi.1994.1112.
7
The sigma subunit conserved region 3 is part of "5'-face" of active center of Escherichia coli RNA polymerase.σ亚基保守区域3是大肠杆菌RNA聚合酶活性中心“5'面”的一部分。
J Biol Chem. 1994 Aug 19;269(33):20826-8.
8
Promoter structure, promoter recognition, and transcription activation in prokaryotes.原核生物中的启动子结构、启动子识别及转录激活
Cell. 1994 Dec 2;79(5):743-6. doi: 10.1016/0092-8674(94)90063-9.
9
A lowered concentration of cAMP receptor protein caused by glucose is an important determinant for catabolite repression in Escherichia coli.葡萄糖导致的环腺苷酸受体蛋白浓度降低是大肠杆菌中分解代谢物阻遏的一个重要决定因素。
Mol Microbiol. 1993 Oct;10(2):341-50. doi: 10.1111/j.1365-2958.1993.tb01960.x.
10
Nucleation of RNA chain formation by Escherichia coli DNA-dependent RNA polymerase.大肠杆菌DNA依赖性RNA聚合酶引发RNA链形成
J Mol Biol. 1993 Jul 5;232(1):35-49. doi: 10.1006/jmbi.1993.1368.