Suppr超能文献

非霍奇金淋巴瘤中p53、c-myc、p62及增殖细胞核抗原(PCNA)的表达

p53, c-myc p62 and proliferating cell nuclear antigen (PCNA) expression in non-Hodgkin's lymphomas.

作者信息

Korkolopoulou P, Oates J, Kittas C, Crocker J

机构信息

Department of Histopathology, East Birmingham Hospital.

出版信息

J Clin Pathol. 1994 Jan;47(1):9-14. doi: 10.1136/jcp.47.1.9.

Abstract

AIMS

To investigate the immunohistochemical expression of p53 protein in non-Hodgkin's lymphomas (NHL) and its relation to that of c-myc p62 oncoprotein and proliferating cell nuclear antigen (PCNA).

METHODS

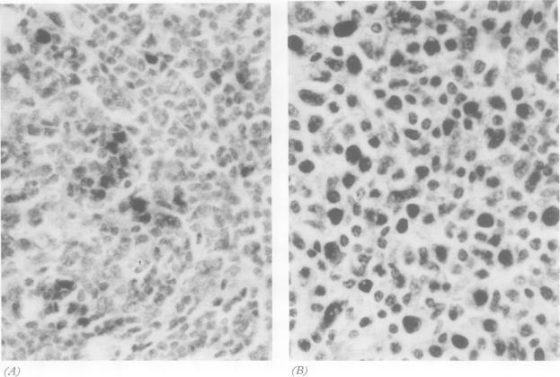
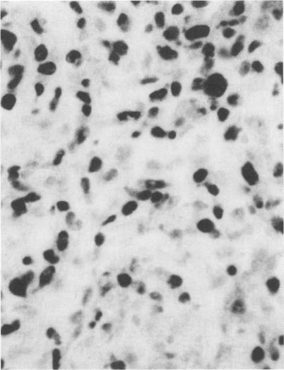
Paraffin wax embedded tissue from 90 non-Hodgkin's lymphomas (72 B cell and 18 T cell) was stained immunohistochemically for p53 protein, c-myc p62 oncoprotein, and PCNA using the monoclonal antibodies DO7, c-myc 1-9 E10, and PC-10, respectively.

RESULTS

Of the non-Hodgkin's lymphomas studied, 55 (61%) stained positively for p53 protein. The proportion of positive cases increased from low grade non-Hodgkin's lymphoma and was higher in tumours of T cell origin. The percentage of positive cells (labelling index or LI) was significantly lower in low grade non-Hodgkin's lymphoma, but no difference was established between intermediate and high grade non-Hodgkin's lymphoma. In a large proportion of low grade non-Hodgkin's lymphoma the LI was below 1%. c-myc p62 immunoreactivity was identified in all cases. A significant positive correlation was established between p53 LI and c-myc p62 LI (rs = 0.453) as well as between p53 LI and PCNA LI (rs = 0.338).

CONCLUSIONS

p53 immunoreactivity was present in about half the cases of non-Hodgkin's lymphoma and was related to the grade of malignancy and possibly to the B or T cell origin of the tumour. It was also associated with the proliferation state as expressed by PCNA LI and c-myc p62 expression, indicating that the expression of these three cell cycle-related genes might be interrelated.

摘要

目的

研究非霍奇金淋巴瘤(NHL)中p53蛋白的免疫组化表达及其与c-myc p62癌蛋白和增殖细胞核抗原(PCNA)表达的关系。

方法

采用单克隆抗体DO7、c-myc 1-9 E10和PC-10,分别对90例非霍奇金淋巴瘤(72例B细胞淋巴瘤和18例T细胞淋巴瘤)的石蜡包埋组织进行p53蛋白、c-myc p62癌蛋白和PCNA的免疫组化染色。

结果

在所研究的非霍奇金淋巴瘤中,55例(61%)p53蛋白染色呈阳性。阳性病例的比例从低级别非霍奇金淋巴瘤开始增加,且在T细胞起源的肿瘤中更高。低级别非霍奇金淋巴瘤中阳性细胞百分比(标记指数或LI)显著较低,但中级和高级别非霍奇金淋巴瘤之间未发现差异。在大部分低级别非霍奇金淋巴瘤中,LI低于1%。所有病例均检测到c-myc p62免疫反应性。p53 LI与c-myc p62 LI之间(rs = 0.453)以及p53 LI与PCNA LI之间(rs = 0.338)均建立了显著的正相关。

结论

约一半的非霍奇金淋巴瘤病例存在p53免疫反应性,其与恶性程度相关,可能还与肿瘤的B或T细胞起源有关。它还与PCNA LI和c-myc p62表达所反映的增殖状态相关,表明这三个细胞周期相关基因的表达可能相互关联。

https://cdn.ncbi.nlm.nih.gov/pmc/blobs/dab2/501747/bcbc19670e7b/jclinpath00214-0013-a.jpg

文献检索

告别复杂PubMed语法,用中文像聊天一样搜索,搜遍4000万医学文献。AI智能推荐,让科研检索更轻松。

立即免费搜索

文件翻译

保留排版,准确专业,支持PDF/Word/PPT等文件格式,支持 12+语言互译。

免费翻译文档

深度研究

AI帮你快速写综述,25分钟生成高质量综述,智能提取关键信息,辅助科研写作。

立即免费体验