Suppr超能文献

一种变异的人类U6小核RNA基因的转录由一个新型的内部RNA聚合酶III启动子控制。

Transcription of a variant human U6 small nuclear RNA gene is controlled by a novel, internal RNA polymerase III promoter.

作者信息

Tichelaar J W, Knerer B, Vrabel A, Wieben E D

机构信息

Department of Biochemistry and Molecular Biology, Mayo Clinic, Rochester, Minnesota 55905.

出版信息

Mol Cell Biol. 1994 Aug;14(8):5450-7. doi: 10.1128/mcb.14.8.5450-5457.1994.

Abstract

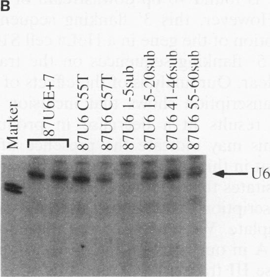
Promoter elements in the 5' flanking regions of vertebrate U6 RNA genes have been shown to be both necessary and sufficient for transcription by RNA polymerase III. We have recently isolated and characterized a variant human U6 gene (87U6) that can be transcribed by RNA polymerase III in vitro in the absence of any natural 5' or 3' flanking sequences. This gene contains 10 nucleotide differences from the previously characterized human U6 gene (wtU6) within the coding region but has no homology to wtU6 in the upstream promoter region. By constructing chimeras between these two genes, we have shown that mutation of as few as two nucleotides in the coding region of the human U6 RNA gene is sufficient to create an internal promoter that is functional in vitro. A T-to-C transition at position 57 and a single T deletion at position 52 produce an internal U6 promoter that is nearly as active in vitro as the external U6 polymerase III promoter utilized by wtU6. Neither of these residues is absolutely conserved during evolution, and both of these nucleotide changes occur within the previously noted A box homology. Deletion and linker scanning mutations within the coding region of this variant U6 gene suggest that, in addition to the central region including bp 52 and 57, sequences at the extreme 5' end of the gene are critical for efficient transcription. In contrast, flanking sequences have a minor effect on transcriptional efficiency. This arrangement is unique among internal RNA polymerase III promoters and may indicate unique regulation of this gene.

摘要

脊椎动物U6 RNA基因5'侧翼区域的启动子元件已被证明对于RNA聚合酶III的转录既是必要的也是充分的。我们最近分离并鉴定了一种变异的人类U6基因(87U6),该基因在没有任何天然5'或3'侧翼序列的情况下,能够在体外被RNA聚合酶III转录。该基因在编码区域与先前鉴定的人类U6基因(wtU6)有10个核苷酸差异,但在上游启动子区域与wtU6没有同源性。通过构建这两个基因之间的嵌合体,我们已经表明,人类U6 RNA基因编码区域中少至两个核苷酸的突变就足以产生一个在体外具有功能的内部启动子。第57位的T到C转换和第52位的单个T缺失产生了一个内部U6启动子,其在体外的活性几乎与wtU6使用的外部U6聚合酶III启动子一样。这两个残基在进化过程中都不是绝对保守的,并且这两个核苷酸变化都发生在先前指出的A框同源性范围内。该变异U6基因编码区域内的缺失和接头扫描突变表明,除了包括第52和57位碱基的中心区域外,基因最5'端的序列对于有效转录也至关重要。相比之下,侧翼序列对转录效率的影响较小。这种排列在内部RNA聚合酶III启动子中是独特的,可能表明该基因有独特的调控方式。

https://cdn.ncbi.nlm.nih.gov/pmc/blobs/93f6/359064/236b6145dec9/molcellb00008-0445-a.jpg

文献检索

告别复杂PubMed语法,用中文像聊天一样搜索,搜遍4000万医学文献。AI智能推荐,让科研检索更轻松。

立即免费搜索

文件翻译

保留排版,准确专业,支持PDF/Word/PPT等文件格式,支持 12+语言互译。

免费翻译文档

深度研究

AI帮你快速写综述,25分钟生成高质量综述,智能提取关键信息,辅助科研写作。

立即免费体验