Suppr超能文献

多头绒泡菌中一个受发育调控的α-微管蛋白基因座的两个等位基因按不同的时间表复制。

Two alleles of a developmentally regulated alpha-tubulin locus in Physarum polycephalum replicate on different schedules.

作者信息

Cunningham D B, Dove W F

机构信息

McArdle Laboratory for Cancer Research University of Wisconsin, Madison 53706.

出版信息

Mol Cell Biol. 1993 Jan;13(1):449-61. doi: 10.1128/mcb.13.1.449-461.1993.

Abstract

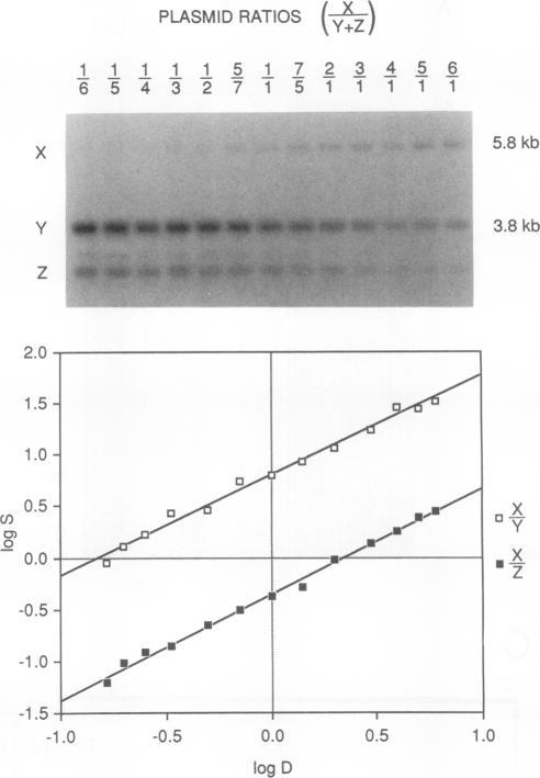
The replication timing of a pair of natural alleles was compared at two alpha-tubulin loci of the Physarum plasmodium. Taking advantage of the naturally synchronous cell cycle of nuclei within the syncytial plasmodium, we analyzed the replication schedule of specific DNA fragments to a resolution of 10-min intervals within a 3-h S phase. At this level of resolution, differences in replication timing between polymorphic alleles at the same locus can be detected in a heterozygote. Specifically, the 3' region of the altA1 allele completes replication at between 20 and 40 min of S phase. The same region of the altA2 allele completes replication at between 40 and 80 min of S phase. In contrast, both alleles at the altB locus replicate concurrently within the first 10 to 15 min of S phase. Previous studies showed that both altA and altB are expressed in the plasmodium, their message levels peaking at mitosis, just minutes before the onset of S phase. However, altB message is detected at substantially higher levels than altA message on Northern (RNA) blots. The temporal windows over which the altA alleles each replicate are very broad in comparison with the levels of mitotic synchrony and altB replication synchrony in a single plasmodium. The allele-specific replication schedule of the altA locus demonstrates that the temporal organization of replicons is not strictly conserved between homologous chromosomes.

摘要

在多头绒泡菌的疟原虫的两个α-微管蛋白基因座处比较了一对天然等位基因的复制时间。利用合胞体疟原虫内核自然同步的细胞周期,我们分析了特定DNA片段的复制时间表,在3小时的S期内以10分钟的间隔进行分辨率分析。在这个分辨率水平上,可以在杂合子中检测到同一位点多态性等位基因之间复制时间的差异。具体来说,altA1等位基因的3'区域在S期的20至40分钟之间完成复制。altA2等位基因的相同区域在S期的40至80分钟之间完成复制。相比之下,altB基因座的两个等位基因在S期的前10至15分钟内同时复制。先前的研究表明,altA和altB在疟原虫中均有表达,它们的信息水平在有丝分裂时达到峰值,就在S期开始前几分钟。然而,在Northern(RNA)印迹上检测到的altB信息水平明显高于altA信息。与单个疟原虫中有丝分裂同步性和altB复制同步性的水平相比,altA等位基因各自复制的时间窗口非常宽。altA基因座的等位基因特异性复制时间表表明,复制子的时间组织在同源染色体之间并不严格保守。

https://cdn.ncbi.nlm.nih.gov/pmc/blobs/cdfa/358925/d0722ccc80ee/molcellb00013-0477-b.jpg

文献检索

告别复杂PubMed语法,用中文像聊天一样搜索,搜遍4000万医学文献。AI智能推荐,让科研检索更轻松。

立即免费搜索

文件翻译

保留排版,准确专业,支持PDF/Word/PPT等文件格式,支持 12+语言互译。

免费翻译文档

深度研究

AI帮你快速写综述,25分钟生成高质量综述,智能提取关键信息,辅助科研写作。

立即免费体验