• 文献检索
  • 文档翻译
  • 深度研究
  • 学术资讯
  • Suppr Zotero 插件Zotero 插件
  • 邀请有礼
  • 套餐&价格
  • 历史记录
应用&插件
Suppr Zotero 插件Zotero 插件浏览器插件Mac 客户端Windows 客户端微信小程序
定价
高级版会员购买积分包购买API积分包
服务
文献检索文档翻译深度研究API 文档MCP 服务
关于我们
关于 Suppr公司介绍联系我们用户协议隐私条款
关注我们

Suppr 超能文献

核心技术专利:CN118964589B侵权必究
粤ICP备2023148730 号-1Suppr @ 2026

文献检索

告别复杂PubMed语法,用中文像聊天一样搜索,搜遍4000万医学文献。AI智能推荐,让科研检索更轻松。

立即免费搜索

文件翻译

保留排版,准确专业,支持PDF/Word/PPT等文件格式,支持 12+语言互译。

免费翻译文档

深度研究

AI帮你快速写综述,25分钟生成高质量综述,智能提取关键信息,辅助科研写作。

立即免费体验

来自黄色粘球菌的外被:粘孢子分化过程中的特征与合成

Coats from Myxococcus xanthus: characterization and synthesis during myxospore differentiation.

作者信息

Kottel R H, Bacon K, Clutter D, White D

出版信息

J Bacteriol. 1975 Oct;124(1):550-7. doi: 10.1128/jb.124.1.550-557.1975.

DOI:10.1128/jb.124.1.550-557.1975
PMID:809426
原文链接:https://pmc.ncbi.nlm.nih.gov/articles/PMC235925/
Abstract

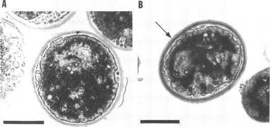
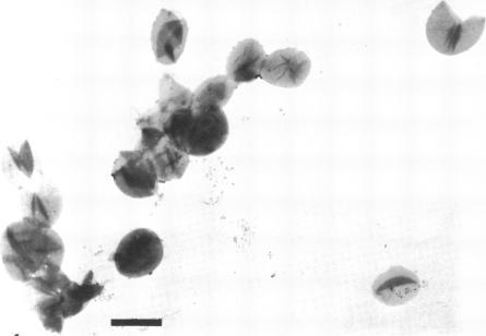
An extracellular coat from glycerol-induced myxospores of Myxococcus xanthus has been isolated and characterized. Coats were examined chemically and by using both transmission and scanning electron microscopy. On a dry weight basis, approximately 75% of the coat is polysaccharide composed entirely of galactosamine and glucose. The remainder of the coat is protein (14%), glycine (8%), and organic phosphorus (less than 1%). Coats remained morphologically intact despite boiling in 10 M urea, sodium lauryl sulfate plus beta-mercaptoethanol, or extraction with warm phenol. Coats also resisted digestion with a variety of proteolytic and polysaccharide degrading enzymes. Synthesis of myxospore coat begins approximately 1 h after the addition of glycerol to a culture. One portion of the coat is complete by 5 to 6 h but additional material consisting primarily of glucose is added after 8 h.

摘要

已分离并鉴定了来自黄色粘球菌甘油诱导的粘孢子的细胞外被膜。通过化学方法以及透射电子显微镜和扫描电子显微镜对被膜进行了检查。以干重计,约75%的被膜是完全由半乳糖胺和葡萄糖组成的多糖。被膜的其余部分是蛋白质(14%)、甘氨酸(8%)和有机磷(少于1%)。尽管在10 M尿素、十二烷基硫酸钠加β-巯基乙醇中煮沸或用温苯酚提取,被膜在形态上仍保持完整。被膜也能抵抗多种蛋白水解酶和多糖降解酶的消化。向培养物中添加甘油后约1小时开始合成粘孢子被膜。被膜的一部分在5至6小时内完成,但主要由葡萄糖组成的额外物质在8小时后添加。

https://cdn.ncbi.nlm.nih.gov/pmc/blobs/111e/235925/e991b72f90ab/jbacter00323-0564-b.jpg
https://cdn.ncbi.nlm.nih.gov/pmc/blobs/111e/235925/d71400dec9b0/jbacter00323-0562-a.jpg
https://cdn.ncbi.nlm.nih.gov/pmc/blobs/111e/235925/d279170edff0/jbacter00323-0563-a.jpg
https://cdn.ncbi.nlm.nih.gov/pmc/blobs/111e/235925/013974dcd7ac/jbacter00323-0563-b.jpg
https://cdn.ncbi.nlm.nih.gov/pmc/blobs/111e/235925/c6337e38f8ef/jbacter00323-0564-a.jpg
https://cdn.ncbi.nlm.nih.gov/pmc/blobs/111e/235925/e991b72f90ab/jbacter00323-0564-b.jpg
https://cdn.ncbi.nlm.nih.gov/pmc/blobs/111e/235925/d71400dec9b0/jbacter00323-0562-a.jpg
https://cdn.ncbi.nlm.nih.gov/pmc/blobs/111e/235925/d279170edff0/jbacter00323-0563-a.jpg
https://cdn.ncbi.nlm.nih.gov/pmc/blobs/111e/235925/013974dcd7ac/jbacter00323-0563-b.jpg
https://cdn.ncbi.nlm.nih.gov/pmc/blobs/111e/235925/c6337e38f8ef/jbacter00323-0564-a.jpg
https://cdn.ncbi.nlm.nih.gov/pmc/blobs/111e/235925/e991b72f90ab/jbacter00323-0564-b.jpg

相似文献

1
Coats from Myxococcus xanthus: characterization and synthesis during myxospore differentiation.来自黄色粘球菌的外被:粘孢子分化过程中的特征与合成
J Bacteriol. 1975 Oct;124(1):550-7. doi: 10.1128/jb.124.1.550-557.1975.
2
Myxospore coat synthesis in Myxococcus xanthus: in vivo incorporation of acetate and glycine.黄色粘球菌中粘孢子外壳的合成:乙酸盐和甘氨酸的体内掺入
J Bacteriol. 1977 Sep;131(3):751-8. doi: 10.1128/jb.131.3.751-758.1977.
3
Carbohydrate accumulation during myxospore formation in Myxococcus xanthus.黄色黏球菌形成黏孢子过程中的碳水化合物积累
J Bacteriol. 1975 Dec;124(3):1635-6. doi: 10.1128/jb.124.3.1635-1636.1975.
4
Fruiting-body formation and myxospore differentiation and germination in Mxyococcus xanthus viewed by scanning electron microscopy.通过扫描电子显微镜观察黄色粘球菌的子实体形成、粘孢子分化及萌发过程。
J Bacteriol. 1975 Feb;121(2):711-20. doi: 10.1128/jb.121.2.711-720.1975.
5
Myxospore induction in a nondispersed growing mutant of Myxococcus xanthus.在黄色粘球菌的一个非分散生长突变体中诱导粘孢子形成。
J Bacteriol. 1975 Apr;122(1):302-6. doi: 10.1128/jb.122.1.302-306.1975.
6
Myxospore coat synthesis in Myxococcus xanthus: enzymes associated with uridine 5'-diphosphate-N-acetylgalactosamine formation during myxospore development.黄色黏球菌中黏孢子外壳的合成:黏孢子发育过程中与尿苷5'-二磷酸-N-乙酰半乳糖胺形成相关的酶
J Bacteriol. 1977 Sep;131(3):745-50. doi: 10.1128/jb.131.3.745-750.1977.
7
Myxospore formation in Myxococcus xanthus: chemical changes in the cell wall during cellular morphogenesis.黄色黏球菌中黏孢子的形成:细胞形态发生过程中细胞壁的化学变化
J Bacteriol. 1972 Nov;112(2):849-55. doi: 10.1128/jb.112.2.849-855.1972.
8
The peptidoglycan sacculus of Myxococcus xanthus has unusual structural features and is degraded during glycerol-induced myxospore development.黄色黏球菌的肽聚糖囊具有不同寻常的结构特征,并且在甘油诱导的黏孢子发育过程中会被降解。
J Bacteriol. 2009 Jan;191(2):494-505. doi: 10.1128/JB.00608-08. Epub 2008 Nov 7.
9
De novo purine synthesis in vegetative cells and myxospores of Myxococcus xanthus.黄色粘球菌营养细胞和粘孢子中的嘌呤从头合成。
J Bacteriol. 1974 Mar;117(3):1099-107. doi: 10.1128/jb.117.3.1099-1107.1974.
10
Intracellular and extracellular nucleotides and related compounds during the development of Myxococcus xanthus.黄色粘球菌发育过程中的细胞内和细胞外核苷酸及相关化合物。
J Bacteriol. 1974 May;118(2):486-96. doi: 10.1128/jb.118.2.486-496.1974.

引用本文的文献

1
A novel mechanism for bacterial sporulation based on programmed peptidoglycan degradation.一种基于程序性肽聚糖降解的细菌孢子形成新机制。
bioRxiv. 2025 Jun 26:2025.06.26.661752. doi: 10.1101/2025.06.26.661752.
2
Milestones in the development of as a model multicellular bacterium.作为模式多细胞细菌发展过程中的里程碑。
J Bacteriol. 2025 Jul 24;207(7):e0007125. doi: 10.1128/jb.00071-25. Epub 2025 Jun 17.
3
Diversity of Lysis-Resistant Bacteria and Archaea in the Polyextreme Environment of Salar de Huasco.瓦斯科盐沼多极端环境中抗溶菌细菌和古菌的多样性

本文引用的文献

1
Protein measurement with the Folin phenol reagent.使用福林酚试剂进行蛋白质测定。
J Biol Chem. 1951 Nov;193(1):265-75.
2
The N-acetylation and estimation of hexosamines.己糖胺的N-乙酰化及测定
Biochem J. 1959 Sep;73(1):127-32. doi: 10.1042/bj0730127.
3
A SYSTEM FOR STUDYING MICROBIAL MORPHOGENESIS: RAPID FORMATION OF MICROCYSTS IN MYXOCOCCUS XANTHUS.一种用于研究微生物形态发生的系统:黄色粘球菌中微囊肿的快速形成。
Front Microbiol. 2022 Apr 25;13:826117. doi: 10.3389/fmicb.2022.826117. eCollection 2022.
4
Characterization of the Exopolysaccharide Biosynthesis Pathway in Myxococcus xanthus.黄原胶生物合成途径的表征。
J Bacteriol. 2020 Sep 8;202(19). doi: 10.1128/JB.00335-20.
5
Modulation of bacterial multicellularity via spatio-specific polysaccharide secretion.通过空间特异性多糖分泌调节细菌的多细胞性。
PLoS Biol. 2020 Jun 9;18(6):e3000728. doi: 10.1371/journal.pbio.3000728. eCollection 2020 Jun.
6
Transcriptome dynamics of the multicellular developmental program.转录组对多细胞发育程序的动态影响。
Elife. 2019 Oct 14;8:e50374. doi: 10.7554/eLife.50374.
7
Fatty Acid Oxidation Is Required for Myxococcus xanthus Development.脂肪酸氧化是粘细菌发育所必需的。
J Bacteriol. 2018 Apr 24;200(10). doi: 10.1128/JB.00572-17. Print 2018 May 15.
8
Synthesis and assembly of a novel glycan layer in Myxococcus xanthus spores.黄色黏球菌孢子中新型聚糖层的合成与组装。
J Biol Chem. 2014 Nov 14;289(46):32364-32378. doi: 10.1074/jbc.M114.595504. Epub 2014 Sep 30.
9
A versatile class of cell surface directional motors gives rise to gliding motility and sporulation in Myxococcus xanthus.一种多功能的细胞表面定向马达在粘细菌黄色粘球菌中引起滑行运动和孢子形成。
PLoS Biol. 2013 Dec;11(12):e1001728. doi: 10.1371/journal.pbio.1001728. Epub 2013 Dec 10.
10
Spore formation in Myxococcus xanthus is tied to cytoskeleton functions and polysaccharide spore coat deposition.粘细菌的孢子形成与细胞骨架功能和多糖孢子衣的沉积有关。
Mol Microbiol. 2012 Feb;83(3):486-505. doi: 10.1111/j.1365-2958.2011.07944.x. Epub 2011 Dec 21.
Science. 1964 Oct 9;146(3641):243-4. doi: 10.1126/science.146.3641.243.
4
Fine structure of Myxococcus xanthus during morphogenesis.黄色黏球菌形态发生过程中的精细结构
J Bacteriol. 1962 Nov;84(5):943-52. doi: 10.1128/jb.84.5.943-952.1962.
5
The formation and germination of microcysts in Myxococcus xanthus.黄色粘球菌中微囊肿的形成与萌发。
J Gen Microbiol. 1962 Apr;28:81-5. doi: 10.1099/00221287-28-1-81.
6
Chemical characterization of mucopeptides released from the E. coli B cell wall by enzymic action.通过酶促作用从大肠杆菌B细胞壁释放的粘肽的化学特性分析。
Biochim Biophys Acta. 1961 Jan 1;46:68-80. doi: 10.1016/0006-3002(61)90647-3.
7
Ribonucleic acid synthesis during morphogenesis in Myxococcus xanthus.黄色粘球菌形态发生过程中的核糖核酸合成。
J Bacteriol. 1967 Dec;94(6):1883-9. doi: 10.1128/jb.94.6.1883-1889.1967.
8
Deoxyribonucleic acid synthesis during exponential growth and microcyst formation in Myxococcus xanthus.黄色粘球菌指数生长和微囊形成过程中的脱氧核糖核酸合成
J Bacteriol. 1967 Apr;93(4):1402-8. doi: 10.1128/jb.93.4.1402-1408.1967.
9
A bacteriophage for Myxococcus xanthus: isolation, characterization and relation of infectivity to host morphogenesis.一种针对黄色粘球菌的噬菌体:分离、特性鉴定以及感染性与宿主形态发生的关系
J Bacteriol. 1966 Mar;91(3):1305-13. doi: 10.1128/jb.91.3.1305-1313.1966.
10
Induction of cellular morphogenesis in Myxococcus xanthus. II. Macromolecular synthesis and mechanism of inducer action.黄色粘球菌中细胞形态发生的诱导。II. 大分子合成与诱导剂作用机制。
J Bacteriol. 1966 Apr;91(4):1520-5. doi: 10.1128/jb.91.4.1520-1525.1966.