Suppr超能文献

增殖细胞核抗原标记指数在乳腺癌中的预后价值不佳。

Poor prognostic value of proliferating cell nuclear antigen labelling index in breast carcinoma.

作者信息

Thomas M, Noguchi M, Kitagawa H, Kinoshita K, Miyazaki I

机构信息

Second Department of Surgery, Kanazawa University Hospital, Japan.

出版信息

J Clin Pathol. 1993 Jun;46(6):525-8. doi: 10.1136/jcp.46.6.525.

Abstract

AIM

To investigate the association between proliferating cell nuclear antigen immunostaining and various clinicopathological variables, and its prognostic value in breast carcinoma.

METHODS

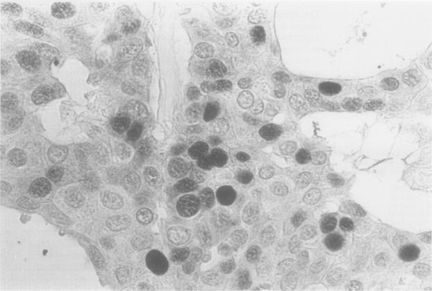
A monoclonal antibody PC10 was applied to formalin fixed, paraffin wax embedded tissue in 144 cases of primary breast cancer. PCNA immunostaining was scored by counting 1000 cells; the percentage of positive stained cells was recorded as the PCNA labelling index (PCNA-LI).

RESULTS

The PCNA-LI varied from 0-77% with a mean of 18%. When tumours were separated on the basis of the mean value, 93 had a low PCNA-LI of less or equal than 18% and 47 a high PCNA-LI of more than 18%. There was no significant correlation between PCNA-LI and all prognostic factors included in this study. Moreover, PCNA-LI failed to show any prognostic value for overall and disease free survival.

CONCLUSION

PCNA immunostaining is not correlated with clinicopathological variables and patient survival in breast cancer.

摘要

目的

研究增殖细胞核抗原免疫染色与各种临床病理变量之间的关联及其在乳腺癌中的预后价值。

方法

将单克隆抗体PC10应用于144例原发性乳腺癌的福尔马林固定、石蜡包埋组织。通过计数1000个细胞对PCNA免疫染色进行评分;将阳性染色细胞的百分比记录为PCNA标记指数(PCNA-LI)。

结果

PCNA-LI在0-77%之间,平均为18%。当根据平均值将肿瘤分开时,93例PCNA-LI低,小于或等于18%,47例PCNA-LI高,大于18%。本研究中PCNA-LI与所有预后因素之间无显著相关性。此外,PCNA-LI未能显示出对总体生存和无病生存的任何预后价值。

结论

PCNA免疫染色与乳腺癌的临床病理变量及患者生存无关。

https://cdn.ncbi.nlm.nih.gov/pmc/blobs/8fb8/501287/f5911794eeab/jclinpath00207-0038-a.jpg

文献检索

告别复杂PubMed语法,用中文像聊天一样搜索,搜遍4000万医学文献。AI智能推荐,让科研检索更轻松。

立即免费搜索

文件翻译

保留排版,准确专业,支持PDF/Word/PPT等文件格式,支持 12+语言互译。

免费翻译文档

深度研究

AI帮你快速写综述,25分钟生成高质量综述,智能提取关键信息,辅助科研写作。

立即免费体验