Suppr超能文献

免疫预激发可减弱体内对脂多糖的病理生理反应。比较完全弗氏佐剂预激发小鼠和未预激发小鼠的细胞因子产生、组织损伤及致死率。

Immunological priming attenuates the in vivo pathophysiological response to lipopolysaccharide. Comparison of cytokine production, tissue injury, and lethality in complete Freund's adjuvant-primed mice and in unprimed mice.

作者信息

DeForge L E, Takeuchi E, Nguyen D T, Remick D G

机构信息

Department of Pathology, University of Michigan Medical School, Ann Arbor 48109-0602.

出版信息

Am J Pathol. 1994 Mar;144(3):599-611.

Abstract

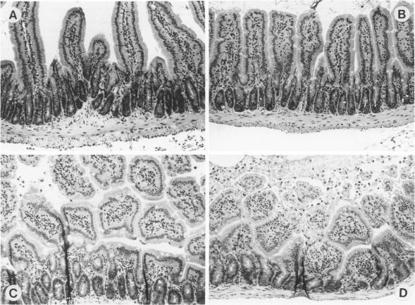
Previous reports have indicated that immunological priming of animals will result in increased cytokine production and enhanced susceptibility to the toxicity of cytokines. We primed mice with complete Freund's adjuvant and challenged 2 weeks later with 1 mg/mouse of lipopolysaccharide. Primed mice produced less tumor necrosis factor than naive mice (35 +/- 8 vs 108 +/- 20 ng/ml) and also less interleukin-6 (182 +/- 37 vs 6.39 +/- 155 ng/ml). Leukopenia developed only in the naive mice. Although neutropenia and lymphocytosis developed in both groups, the alterations manifested themselves more quickly in primed mice. Primed mice had substantially greater pulmonary neutrophil sequestration determined both enzymatically and histologically but no lung damage. However, primed mice had significantly less small bowel damage than naive mice. Mortality was substantially reduced in primed mice compared with unprimed mice. These results demonstrate that immunological priming in vivo decreases cytokine production in response to lipopolysaccharide challenge, decreases organ injury, and reduces mortality.

摘要

先前的报告表明,对动物进行免疫预刺激会导致细胞因子产生增加,并增强对细胞因子毒性的易感性。我们用完全弗氏佐剂对小鼠进行预刺激,并在2周后用1毫克/只的脂多糖对其进行攻击。预刺激的小鼠产生的肿瘤坏死因子比未处理的小鼠少(35±8对108±20纳克/毫升),白细胞介素-6也较少(182±37对6.39±155纳克/毫升)。白细胞减少仅在未处理的小鼠中出现。虽然两组小鼠均出现中性粒细胞减少和淋巴细胞增多,但这些变化在预刺激的小鼠中出现得更快。通过酶学和组织学检测发现,预刺激的小鼠肺部中性粒细胞隔离明显更多,但没有肺损伤。然而,预刺激的小鼠小肠损伤明显比未处理的小鼠少。与未预刺激的小鼠相比,预刺激的小鼠死亡率大幅降低。这些结果表明,体内免疫预刺激会降低对脂多糖攻击的细胞因子产生,减少器官损伤,并降低死亡率。

https://cdn.ncbi.nlm.nih.gov/pmc/blobs/560a/1887095/2d1e800cf4b4/amjpathol00063-0184-a.jpg

文献AI研究员

20分钟写一篇综述,助力文献阅读效率提升50倍。

立即体验

用中文搜PubMed

大模型驱动的PubMed中文搜索引擎

马上搜索

文档翻译

学术文献翻译模型,支持多种主流文档格式。

立即体验