• 文献检索
  • 文档翻译
  • 深度研究
  • 学术资讯
  • Suppr Zotero 插件Zotero 插件
  • 邀请有礼
  • 套餐&价格
  • 历史记录
应用&插件
Suppr Zotero 插件Zotero 插件浏览器插件Mac 客户端Windows 客户端微信小程序
定价
高级版会员购买积分包购买API积分包
服务
文献检索文档翻译深度研究API 文档MCP 服务
关于我们
关于 Suppr公司介绍联系我们用户协议隐私条款
关注我们

Suppr 超能文献

核心技术专利:CN118964589B侵权必究
粤ICP备2023148730 号-1Suppr @ 2026

文献检索

告别复杂PubMed语法,用中文像聊天一样搜索,搜遍4000万医学文献。AI智能推荐,让科研检索更轻松。

立即免费搜索

文件翻译

保留排版,准确专业,支持PDF/Word/PPT等文件格式,支持 12+语言互译。

免费翻译文档

深度研究

AI帮你快速写综述,25分钟生成高质量综述,智能提取关键信息,辅助科研写作。

立即免费体验

白细胞介素-6缺陷小鼠可免受雌激素缺乏引起的骨质流失。

Interleukin-6 deficient mice are protected from bone loss caused by estrogen depletion.

作者信息

Poli V, Balena R, Fattori E, Markatos A, Yamamoto M, Tanaka H, Ciliberto G, Rodan G A, Costantini F

机构信息

Istituto di Ricerche di Biologia Molecolare P. Angeletti, Rome, Italy.

出版信息

EMBO J. 1994 Mar 1;13(5):1189-96. doi: 10.1002/j.1460-2075.1994.tb06368.x.

DOI:10.1002/j.1460-2075.1994.tb06368.x
PMID:8131749
原文链接:https://pmc.ncbi.nlm.nih.gov/articles/PMC394928/
Abstract

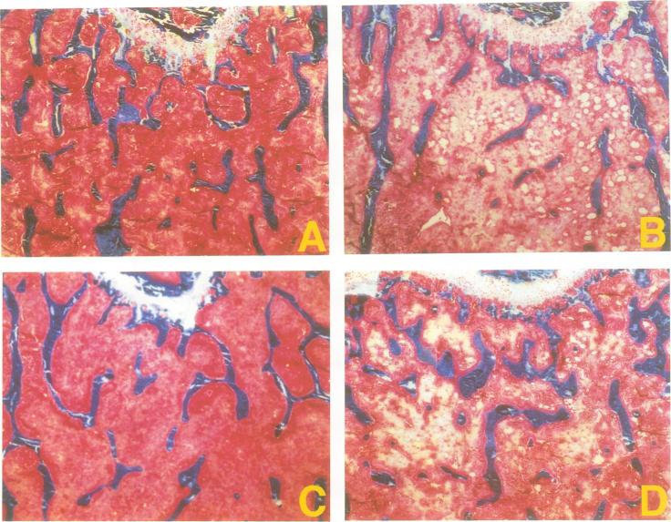
Interleukin-6 (IL-6) is a multifunctional cytokine whose circulating levels are under physiological conditions below detection, but whose production is rapidly and strongly induced by several pathological and inflammatory stimuli. IL-6 has been implicated in a number of cell functions connected to immunity and hematopoiesis. Recently, it has been proposed to act as a stimulator of osteoclast formation and activity, in particular following estrogen depletion. The purpose of this study was to gain additional insights into the role of IL-6 during development, as well as in physiological and pathological conditions. We report here that IL-6 deficient mice generated by gene targeting are viable and do not present any evident phenotypic abnormality. However, analysis of bone metabolism revealed a specific bone phenotype. IL-6 deficient female mice have a normal amount of trabecular bone, but higher rates of bone turnover than control littermates. Estrogen deficiency induced by ovariectomy causes in wild type animals a significant loss of bone mass together with an increase in bone turnover rates. Strikingly, ovariectomy does not induce any change in either bone mass or bone remodeling rates in the IL-6 deficient mice. These findings indicate that IL-6 plays an important role in the local regulation of bone turnover and, at least in mice, appears to be essential for the bone loss caused by estrogen deficiency.

摘要

白细胞介素-6(IL-6)是一种多功能细胞因子,在生理条件下其循环水平低于检测下限,但其产生可被多种病理和炎症刺激迅速且强烈地诱导。IL-6与许多与免疫和造血相关的细胞功能有关。最近,有人提出它可作为破骨细胞形成和活性的刺激因子,尤其是在雌激素缺乏后。本研究的目的是进一步深入了解IL-6在发育过程中以及生理和病理条件下的作用。我们在此报告,通过基因靶向产生的IL-6缺陷小鼠是存活的,且没有表现出任何明显的表型异常。然而,对骨代谢的分析揭示了一种特定的骨表型。IL-6缺陷的雌性小鼠小梁骨量正常,但骨转换率高于同窝对照小鼠。卵巢切除诱导的雌激素缺乏在野生型动物中导致骨量显著丢失以及骨转换率增加。令人惊讶的是,卵巢切除在IL-6缺陷小鼠中并未引起骨量或骨重塑率的任何变化。这些发现表明,IL-6在骨转换的局部调节中起重要作用,并且至少在小鼠中,似乎对雌激素缺乏引起的骨质流失至关重要。

https://cdn.ncbi.nlm.nih.gov/pmc/blobs/63ef/394928/e55141489d95/emboj00053-0202-a.jpg
https://cdn.ncbi.nlm.nih.gov/pmc/blobs/63ef/394928/257e604c135d/emboj00053-0199-a.jpg
https://cdn.ncbi.nlm.nih.gov/pmc/blobs/63ef/394928/b114e76762a0/emboj00053-0199-b.jpg
https://cdn.ncbi.nlm.nih.gov/pmc/blobs/63ef/394928/948fe076d4b5/emboj00053-0200-a.jpg
https://cdn.ncbi.nlm.nih.gov/pmc/blobs/63ef/394928/f9d8dad044f1/emboj00053-0201-a.jpg
https://cdn.ncbi.nlm.nih.gov/pmc/blobs/63ef/394928/ac3fd4571f82/emboj00053-0201-b.jpg
https://cdn.ncbi.nlm.nih.gov/pmc/blobs/63ef/394928/e55141489d95/emboj00053-0202-a.jpg
https://cdn.ncbi.nlm.nih.gov/pmc/blobs/63ef/394928/257e604c135d/emboj00053-0199-a.jpg
https://cdn.ncbi.nlm.nih.gov/pmc/blobs/63ef/394928/b114e76762a0/emboj00053-0199-b.jpg
https://cdn.ncbi.nlm.nih.gov/pmc/blobs/63ef/394928/948fe076d4b5/emboj00053-0200-a.jpg
https://cdn.ncbi.nlm.nih.gov/pmc/blobs/63ef/394928/f9d8dad044f1/emboj00053-0201-a.jpg
https://cdn.ncbi.nlm.nih.gov/pmc/blobs/63ef/394928/ac3fd4571f82/emboj00053-0201-b.jpg
https://cdn.ncbi.nlm.nih.gov/pmc/blobs/63ef/394928/e55141489d95/emboj00053-0202-a.jpg

相似文献

1
Interleukin-6 deficient mice are protected from bone loss caused by estrogen depletion.白细胞介素-6缺陷小鼠可免受雌激素缺乏引起的骨质流失。
EMBO J. 1994 Mar 1;13(5):1189-96. doi: 10.1002/j.1460-2075.1994.tb06368.x.
2
Increased production of IL-7 uncouples bone formation from bone resorption during estrogen deficiency.雌激素缺乏期间,IL-7生成增加使骨形成与骨吸收解偶联。
J Clin Invest. 2002 Dec;110(11):1643-50. doi: 10.1172/JCI15687.
3
Interleukin-11 receptor signaling is required for normal bone remodeling.白细胞介素-11受体信号传导是正常骨重塑所必需的。
J Bone Miner Res. 2005 Jul;20(7):1093-102. doi: 10.1359/JBMR.050209. Epub 2005 Feb 14.
4
Inducible nitric oxide synthase mediates bone loss in ovariectomized mice.诱导型一氧化氮合酶介导去卵巢小鼠的骨质流失。
Endocrinology. 2003 Mar;144(3):1098-107. doi: 10.1210/en.2002-220597.
5
RANKL (Receptor Activator of NFκB Ligand) Produced by Osteocytes Is Required for the Increase in B Cells and Bone Loss Caused by Estrogen Deficiency in Mice.骨细胞产生的RANKL(核因子κB受体激活剂配体)是小鼠雌激素缺乏引起的B细胞增加和骨质流失所必需的。
J Biol Chem. 2016 Nov 25;291(48):24838-24850. doi: 10.1074/jbc.M116.742452. Epub 2016 Oct 12.
6
Schnurri-2 deficiency counteracts against bone loss induced by ovariectomy.Schnurri-2 缺乏可对抗卵巢切除引起的骨丢失。
J Cell Physiol. 2011 Mar;226(3):573-8. doi: 10.1002/jcp.22521.
7
Ablation of p38α MAPK Signaling in Osteoblast Lineage Cells Protects Mice From Bone Loss Induced by Estrogen Deficiency.成骨细胞谱系细胞中p38α丝裂原活化蛋白激酶信号的缺失可保护小鼠免受雌激素缺乏诱导的骨质流失。
Endocrinology. 2015 Dec;156(12):4377-87. doi: 10.1210/en.2015-1669. Epub 2015 Oct 6.
8
Osteoblast-targeted overexpression of PPARγ inhibited bone mass gain in male mice and accelerated ovariectomy-induced bone loss in female mice.成骨细胞靶向过表达 PPARγ 抑制雄性小鼠骨量增加,并加速去卵巢诱导的雌性小鼠骨丢失。
J Bone Miner Res. 2011 Aug;26(8):1939-52. doi: 10.1002/jbmr.366.
9
Ovariectomy fails to augment bone resorption and marrow B lymphopoiesis in granulocyte colony-stimulating factor transgenic mice.
J Orthop Sci. 2005;10(1):70-6. doi: 10.1007/s00776-004-0851-y.
10
ST2 regulates bone loss in a site-dependent and estrogen-dependent manner.ST2 通过部位和雌激素依赖性方式调节骨丢失。
J Cell Biochem. 2018 Nov;119(10):8511-8521. doi: 10.1002/jcb.27080. Epub 2018 Jul 16.

引用本文的文献

1
Mechanisms and traditional Chinese medicine therapeutics for primary osteoporosis: an integrated perspective.原发性骨质疏松症的发病机制与中医治疗:综合视角
Front Endocrinol (Lausanne). 2025 Aug 8;16:1638629. doi: 10.3389/fendo.2025.1638629. eCollection 2025.
2
Respiratory viral infections awaken metastatic breast cancer cells in lungs.呼吸道病毒感染会激活肺部的转移性乳腺癌细胞。
Nature. 2025 Jul 30. doi: 10.1038/s41586-025-09332-0.
3
Are Dietary Habits the Missing Link Between Hashimoto's Thyroiditis and Osteoporosis?饮食习惯是桥本甲状腺炎与骨质疏松症之间缺失的环节吗?

本文引用的文献

1
Cytokines and estrogen in bone: anti-osteoporotic effects.骨骼中的细胞因子与雌激素:抗骨质疏松作用
Science. 1993 Apr 30;260(5108):626-7. doi: 10.1126/science.8480174.
2
High-dose estrogen inhibits bone resorption and stimulates bone formation in the ovariectomized mouse.
J Bone Miner Res. 1993 Apr;8(4):435-42. doi: 10.1002/jbmr.5650080407.
3
Responsiveness of the interleukin (IL)-6-dependent cell line B9 to IL-11.白细胞介素(IL)-6依赖细胞系B9对IL-11的反应性。
J Immunol Methods. 1993 Jan 14;158(1):147-8. doi: 10.1016/0022-1759(93)90266-a.
Nutrients. 2025 Jun 25;17(13):2109. doi: 10.3390/nu17132109.
4
IL-6 Signaling in Immunopathology: From Basic Biology to Selective Therapeutic Intervention.免疫病理学中的白细胞介素-6信号传导:从基础生物学到选择性治疗干预
Immunotargets Ther. 2025 Jul 5;14:681-695. doi: 10.2147/ITT.S485684. eCollection 2025.
5
Roles of myokines in osteoporosis under physiological and diabetic conditions.肌动蛋白在生理和糖尿病条件下骨质疏松症中的作用。
Front Endocrinol (Lausanne). 2025 Jun 11;16:1600218. doi: 10.3389/fendo.2025.1600218. eCollection 2025.
6
Exercise-Mediated Skeletal Muscle-Derived IL-6 Regulates Bone Metabolism: A New Perspective on Muscle-Bone Crosstalk.运动介导的骨骼肌来源的白细胞介素-6调节骨代谢:肌肉-骨相互作用的新视角
Biomolecules. 2025 Jun 18;15(6):893. doi: 10.3390/biom15060893.
7
The protective effects of dietary resistant starch against post-antibiotic bone loss in meat ducks associated with the recovery of caecal microbiota dysbiosis.日粮抗性淀粉对肉鸭抗生素后骨质流失的保护作用与盲肠微生物群失调的恢复有关。
Poult Sci. 2025 May 1;104(8):105238. doi: 10.1016/j.psj.2025.105238.
8
Oral cell lysates reduce osteoclastogenesis in murine bone marrow cultures.口腔细胞裂解物可减少小鼠骨髓培养物中的破骨细胞生成。
Cytotechnology. 2025 Feb;77(1):39. doi: 10.1007/s10616-024-00688-1. Epub 2025 Jan 8.
9
Respiratory viral infection promotes the awakening and outgrowth of dormant metastatic breast cancer cells in lungs.呼吸道病毒感染促进肺中休眠转移性乳腺癌细胞的苏醒和生长。
Res Sq. 2024 Apr 5:rs.3.rs-4210090. doi: 10.21203/rs.3.rs-4210090/v1.
10
Vitamin D Binding Protein and Postsurgical Outcomes and Tissue Injury Markers After Hip Fracture: A Prospective Study.维生素 D 结合蛋白与髋部骨折术后结局和组织损伤标志物:一项前瞻性研究。
J Clin Endocrinol Metab. 2023 Dec 21;109(1):e18-e24. doi: 10.1210/clinem/dgad502.
4
Animal models for the study of bone loss after cessation of ovarian function.
Bone. 1993 May-Jun;14(3):369-77. doi: 10.1016/8756-3282(93)90166-8.
5
Interleukin-6 inhibits bone formation in vitro.
Bone Miner. 1993 Apr;21(1):21-8. doi: 10.1016/s0169-6009(08)80117-1.
6
Pathogenesis of osteoporosis.骨质疏松症的发病机制。
Lancet. 1993 Mar 27;341(8848):797-801. doi: 10.1016/0140-6736(93)90570-7.
7
Germ-line transmission of genes introduced into cultured pluripotential cells by retroviral vector.通过逆转录病毒载体导入培养的多能细胞中的基因的种系传递。
Nature. 1986;323(6087):445-8. doi: 10.1038/323445a0.
8
Bone histomorphometry: standardization of nomenclature, symbols, and units. Report of the ASBMR Histomorphometry Nomenclature Committee.骨组织形态计量学:术语、符号和单位的标准化。美国骨矿研究学会组织形态计量学命名委员会报告
J Bone Miner Res. 1987 Dec;2(6):595-610. doi: 10.1002/jbmr.5650020617.
9
Evidence of estrogen receptors in normal human osteoblast-like cells.正常人成骨样细胞中雌激素受体的证据。
Science. 1988 Jul 1;241(4861):84-6. doi: 10.1126/science.3388021.
10
Molecular regulation of B lymphocyte response.B淋巴细胞反应的分子调控
Annu Rev Immunol. 1988;6:485-512. doi: 10.1146/annurev.iy.06.040188.002413.