Suppr超能文献

懒猴脊髓神经节细胞线粒体的变化:一项电子显微镜研究。

Mitochondrial variations in the spinal ganglion cells of the slow loris: an electron microscopic study.

作者信息

Ahmed M M, Kanagasuntheram R

出版信息

J Anat. 1976 Apr;121(Pt 2):223-30.

Abstract

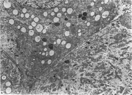
The fine structure os spinal ganglia from seven slow lorises (Nycticebus coucang coucang) was studied following perfusion fixation using different concentrations of glutaraldehyde and post-fixation in 1% osmic acid. Two cell types, one light (63%), and the other dark (37%) were reported out of the total number of 425 neurons counted. Almost all the light cells contained filamentous mitochondria, whereas only 35% of the dark cells contained filamentous mitochondria, the other 65% having vacuolated mitochondria. The significance of this mitochondrial variation in the spinal ganglion cells of the slow loris is undecided.

摘要

对7只懒猴(蜂猴指名亚种)的脊髓神经节进行精细结构研究,采用不同浓度的戊二醛灌注固定,随后用1%的锇酸进行后固定。在所计数的425个神经元总数中,报告有两种细胞类型,一种浅色的(63%),另一种深色的(37%)。几乎所有浅色细胞都含有丝状线粒体,而只有35%的深色细胞含有丝状线粒体,另外65%的深色细胞具有空泡化线粒体。懒猴脊髓神经节细胞中线粒体这种变化的意义尚不确定。

https://cdn.ncbi.nlm.nih.gov/pmc/blobs/14f6/1231795/1802c2790b27/janat00372-0004-a.jpg

文献检索

告别复杂PubMed语法,用中文像聊天一样搜索,搜遍4000万医学文献。AI智能推荐,让科研检索更轻松。

立即免费搜索

文件翻译

保留排版,准确专业,支持PDF/Word/PPT等文件格式,支持 12+语言互译。

免费翻译文档

深度研究

AI帮你快速写综述,25分钟生成高质量综述,智能提取关键信息,辅助科研写作。

立即免费体验