Han H, Dervan P B
Beckman Institute, California Institute of Technology, Pasadena 91125.
Proc Natl Acad Sci U S A. 1994 May 24;91(11):4955-9. doi: 10.1073/pnas.91.11.4955.
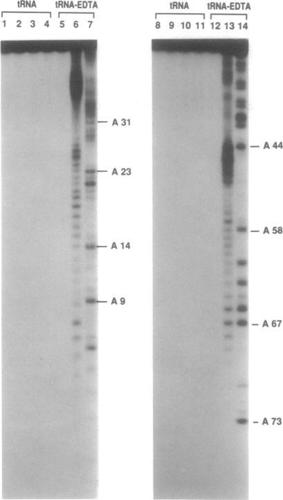
To test whether intramolecular autocleavage of RNA labeled at a single nucleotide position with EDTA.Fe(II) is a useful approach for the investigation of tertiary structures of RNAs, yeast phenylalanine tRNA was synthesized with uridine-EDTA (*U) at position U47. Autocleavage of [*U47]tRNA(Phe) in the presence of Fe(NH4)2(SO4)2 and dithiothreitol produced a set of cleavage fragments which are in general agreement with the three-dimensional structure derived from x-ray analysis.
为了测试用乙二胺四乙酸铁(II)标记单核苷酸位置的RNA分子内自切割是否是研究RNA三级结构的一种有用方法,在U47位置用尿苷 - 乙二胺四乙酸(*U)合成了酵母苯丙氨酸tRNA。在硫酸亚铁铵和二硫苏糖醇存在下,[*U47]tRNA(Phe)的自切割产生了一组切割片段,这些片段总体上与通过X射线分析得出的三维结构一致。