• 文献检索
  • 文档翻译
  • 深度研究
  • 学术资讯
  • Suppr Zotero 插件Zotero 插件
  • 邀请有礼
  • 套餐&价格
  • 历史记录
应用&插件
Suppr Zotero 插件Zotero 插件浏览器插件Mac 客户端Windows 客户端微信小程序
定价
高级版会员购买积分包购买API积分包
服务
文献检索文档翻译深度研究API 文档MCP 服务
关于我们
关于 Suppr公司介绍联系我们用户协议隐私条款
关注我们

Suppr 超能文献

核心技术专利:CN118964589B侵权必究
粤ICP备2023148730 号-1Suppr @ 2026

文献检索

告别复杂PubMed语法,用中文像聊天一样搜索,搜遍4000万医学文献。AI智能推荐,让科研检索更轻松。

立即免费搜索

文件翻译

保留排版,准确专业,支持PDF/Word/PPT等文件格式,支持 12+语言互译。

免费翻译文档

深度研究

AI帮你快速写综述,25分钟生成高质量综述,智能提取关键信息,辅助科研写作。

立即免费体验

低蛋白饮食改变大鼠初始髓质内层集合管中的尿素转运和细胞结构。

Low protein diet alters urea transport and cell structure in rat initial inner medullary collecting duct.

作者信息

Isozaki T, Verlander J W, Sands J M

机构信息

Department of Medicine, Emory University School of Medicine, Atlanta, Georgia 30322.

出版信息

J Clin Invest. 1993 Nov;92(5):2448-57. doi: 10.1172/JCI116852.

DOI:10.1172/JCI116852
PMID:8227360
原文链接:https://pmc.ncbi.nlm.nih.gov/articles/PMC288429/
Abstract

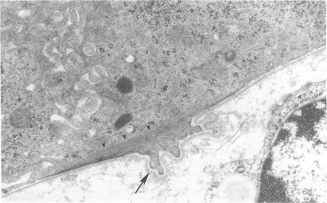
Low protein diets reverse the urea concentration gradient in the renal inner medulla. To investigate the mechanism(s) for this change, we studied urea transport and cell ultrastructure in initial and terminal inner medullary collecting ducts (IMCD) from rats fed 18% protein or an isocaloric, 8% protein diet for 4 wk. Serum urea, aldosterone, and albumin were significantly lower in rats fed 8% protein, but total protein and potassium were unchanged. Vasopressin stimulated passive urea permeability (Purea) threefold (P < 0.05) in initial IMCDs from rats fed 8% protein, but not from rats fed 18% protein. Luminal phloretin reversibly inhibited vasopressin-stimulated Purea. However, in terminal IMCDs from rats fed either diet, vasopressin stimulated Purea. Net transepithelial urea flux (measured with identical perfusate and bath solutions) was found only in initial IMCDs from rats fed 8% protein. Reducing the temperature reversibly inhibited it, but phloretin did not. Electron microscopy of initial IMCD principal cells from rats fed 8% protein showed expanded Golgi bodies and prominent autophagic vacuoles, and morphometric analysis demonstrated a marked increase in the surface density and boundary length of the basolateral plasma membrane. These ultrastructural changes were not observed in the terminal IMCD. Thus, 8% dietary protein causes two new urea transport processes to appear in initial but not terminal IMCDs. This is the first demonstration that "active" urea transport can be induced in a mammalian collecting duct segment.

摘要

低蛋白饮食可逆转肾内髓质的尿素浓度梯度。为研究这种变化的机制,我们对喂食18%蛋白质或等热量8%蛋白质饮食4周的大鼠的初始和终末内髓集合管(IMCD)中的尿素转运和细胞超微结构进行了研究。喂食8%蛋白质的大鼠血清尿素、醛固酮和白蛋白显著降低,但总蛋白和钾含量未变。血管加压素使喂食8%蛋白质大鼠的初始IMCD中被动尿素通透性(Purea)增加了三倍(P<0.05),但对喂食18%蛋白质大鼠的初始IMCD无此作用。管腔中的根皮素可可逆性抑制血管加压素刺激的Purea。然而,在喂食两种饮食的大鼠的终末IMCD中,血管加压素均刺激了Purea。仅在喂食8%蛋白质大鼠的初始IMCD中发现了净跨上皮尿素通量(使用相同的灌注液和浴液测量)。降低温度可可逆性抑制该通量,但根皮素无此作用。对喂食8%蛋白质大鼠的初始IMCD主细胞进行电子显微镜检查显示,高尔基体扩张,自噬空泡突出,形态计量分析表明基底外侧质膜的表面密度和边界长度显著增加。在终末IMCD中未观察到这些超微结构变化。因此,8%的饮食蛋白质导致初始IMCD中出现两种新的尿素转运过程,而终末IMCD中未出现。这是首次证明在哺乳动物集合管段中可诱导“主动”尿素转运。

https://cdn.ncbi.nlm.nih.gov/pmc/blobs/7c62/288429/544e5df1b37f/jcinvest00043-0377-a.jpg
https://cdn.ncbi.nlm.nih.gov/pmc/blobs/7c62/288429/8c9da4878fa7/jcinvest00043-0373-a.jpg
https://cdn.ncbi.nlm.nih.gov/pmc/blobs/7c62/288429/2765ee5c8464/jcinvest00043-0373-b.jpg
https://cdn.ncbi.nlm.nih.gov/pmc/blobs/7c62/288429/7c47d394c5e4/jcinvest00043-0374-a.jpg
https://cdn.ncbi.nlm.nih.gov/pmc/blobs/7c62/288429/6098f4cd2873/jcinvest00043-0374-b.jpg
https://cdn.ncbi.nlm.nih.gov/pmc/blobs/7c62/288429/ced2460716de/jcinvest00043-0375-a.jpg
https://cdn.ncbi.nlm.nih.gov/pmc/blobs/7c62/288429/e5577a27bef2/jcinvest00043-0376-a.jpg
https://cdn.ncbi.nlm.nih.gov/pmc/blobs/7c62/288429/544e5df1b37f/jcinvest00043-0377-a.jpg
https://cdn.ncbi.nlm.nih.gov/pmc/blobs/7c62/288429/8c9da4878fa7/jcinvest00043-0373-a.jpg
https://cdn.ncbi.nlm.nih.gov/pmc/blobs/7c62/288429/2765ee5c8464/jcinvest00043-0373-b.jpg
https://cdn.ncbi.nlm.nih.gov/pmc/blobs/7c62/288429/7c47d394c5e4/jcinvest00043-0374-a.jpg
https://cdn.ncbi.nlm.nih.gov/pmc/blobs/7c62/288429/6098f4cd2873/jcinvest00043-0374-b.jpg
https://cdn.ncbi.nlm.nih.gov/pmc/blobs/7c62/288429/ced2460716de/jcinvest00043-0375-a.jpg
https://cdn.ncbi.nlm.nih.gov/pmc/blobs/7c62/288429/e5577a27bef2/jcinvest00043-0376-a.jpg
https://cdn.ncbi.nlm.nih.gov/pmc/blobs/7c62/288429/544e5df1b37f/jcinvest00043-0377-a.jpg

相似文献

1
Low protein diet alters urea transport and cell structure in rat initial inner medullary collecting duct.低蛋白饮食改变大鼠初始髓质内层集合管中的尿素转运和细胞结构。
J Clin Invest. 1993 Nov;92(5):2448-57. doi: 10.1172/JCI116852.
2
Sodium-dependent net urea transport in rat initial inner medullary collecting ducts.大鼠初始髓质内层集合管中钠依赖的净尿素转运
J Clin Invest. 1994 Oct;94(4):1513-7. doi: 10.1172/JCI117491.
3
Inhibition of urea transport in inner medullary collecting duct by phloretin and urea analogues.根皮素和尿素类似物对髓质内集合管尿素转运的抑制作用。
Am J Physiol. 1989 Sep;257(3 Pt 2):F359-65. doi: 10.1152/ajprenal.1989.257.3.F359.
4
Vasopressin effects on urea and H2O transport in inner medullary collecting duct subsegments.血管升压素对髓质内集合管亚段尿素和水转运的影响。
Am J Physiol. 1987 Nov;253(5 Pt 2):F823-32. doi: 10.1152/ajprenal.1987.253.5.F823.
5
Urea transport in initial IMCD of rats fed a low-protein diet: functional properties and mRNA abundance.低蛋白饮食喂养大鼠的初始内髓集合管中的尿素转运:功能特性和mRNA丰度
Am J Physiol. 1995 Jun;268(6 Pt 2):F1218-23. doi: 10.1152/ajprenal.1995.268.6.F1218.
6
Evidence for sodium-dependent active urea secretion in the deepest subsegment of the rat inner medullary collecting duct.大鼠肾内髓集合管最深节段中钠依赖性活性尿素分泌的证据。
J Clin Invest. 1998 Jan 15;101(2):423-8. doi: 10.1172/JCI1420.
7
Apical membrane limits urea permeation across the rat inner medullary collecting duct.顶端膜限制尿素透过大鼠内髓集合管。
J Clin Invest. 1990 Oct;86(4):1172-8. doi: 10.1172/JCI114823.
8
Angiotensin II increases vasopressin-stimulated facilitated urea permeability in rat terminal IMCDs.血管紧张素II增加大鼠终末内髓集合管中血管加压素刺激的尿素易化通透性。
Am J Physiol Renal Physiol. 2000 Nov;279(5):F835-40. doi: 10.1152/ajprenal.2000.279.5.F835.
9
Characteristics of osmolarity-stimulated urea transport in rat IMCD.大鼠内髓集合管中渗透压刺激的尿素转运特性
Am J Physiol. 1992 Jun;262(6 Pt 2):F1061-7. doi: 10.1152/ajprenal.1992.262.6.F1061.
10
The urease inhibitor acetohydroxamic acid is transported by the urea pathway in rat terminal IMCD.脲酶抑制剂乙酰氧肟酸在大鼠终末内髓集合管中通过尿素途径转运。
Am J Physiol. 1993 Sep;265(3 Pt 2):F385-90. doi: 10.1152/ajprenal.1993.265.3.F385.

引用本文的文献

1
Energy-Dependent Urea Transports in Mammals and their Functional Consequences.哺乳动物中能量依赖型尿素转运及其功能后果
Subcell Biochem. 2025;118:193-228. doi: 10.1007/978-981-96-6898-4_10.
2
Gradient washout and secondary nephrogenic diabetes insipidus after brain injury in an infant: a case report.婴儿脑损伤后梯度洗脱与继发性肾性尿崩症:一例报告
J Med Case Rep. 2020 Oct 10;14(1):183. doi: 10.1186/s13256-020-02536-0.
3
Modulation of aquaporin 2 expression in the kidney of young goats by changes in nitrogen intake.氮摄入量变化对幼年山羊肾脏水通道蛋白2表达的调节作用。

本文引用的文献

1
INTRARENAL DISTRIBUTION OF UREA AND RELATED COMPOUNDS: EFFECTS OF NITROGEN INTAKE.尿素及相关化合物的肾内分布:氮摄入的影响。
Am J Physiol. 1964 Nov;207:971-8. doi: 10.1152/ajplegacy.1964.207.5.971.
2
Effect of urea on urine concentration in the rat.尿素对大鼠尿液浓缩的影响。
J Clin Invest. 1961 Nov;40(11):1952-60. doi: 10.1172/JCI104420.
3
Micropuncture study of net transtubular movement of water and urea in nondiuretic mammalian kidney.非利尿状态下哺乳动物肾脏中水和尿素跨肾小管净移动的微穿刺研究。
J Comp Physiol B. 2014 Oct;184(7):929-36. doi: 10.1007/s00360-014-0849-5. Epub 2014 Aug 6.
4
Reduced cholesterol levels in renal membranes of undernourished rats may account for urinary Na⁺ loss.营养不良大鼠肾膜胆固醇水平降低可能导致尿钠丢失。
Eur J Nutr. 2013 Apr;52(3):1233-42. doi: 10.1007/s00394-012-0434-1. Epub 2012 Aug 14.
5
Suppression subtractive hybridization analysis of low-protein diet- and vitamin D-induced gene expression from rat kidney inner medullary base.低蛋白饮食和维生素 D 诱导的大鼠肾髓质基底部基因表达的抑制性消减杂交分析。
Physiol Genomics. 2010 May;41(3):203-11. doi: 10.1152/physiolgenomics.00129.2009. Epub 2010 Mar 2.
6
The physiology and evolution of urea transport in fishes.鱼类中尿素转运的生理学与进化
J Membr Biol. 2006;212(2):93-107. doi: 10.1007/s00232-006-0869-5. Epub 2007 Jan 30.
7
Vasopressin increases urea permeability in the initial IMCD from diabetic rats.血管加压素可增加糖尿病大鼠初始内髓集合管的尿素通透性。
Am J Physiol Renal Physiol. 2005 Sep;289(3):F531-5. doi: 10.1152/ajprenal.00125.2005. Epub 2005 May 10.
8
The SLC14 gene family of urea transporters.尿素转运蛋白的SLC14基因家族。
Pflugers Arch. 2004 Feb;447(5):603-9. doi: 10.1007/s00424-003-1124-x. Epub 2003 Jul 11.
9
Active sodium-urea counter-transport is inducible in the basolateral membrane of rat renal initial inner medullary collecting ducts.活性钠-尿素逆向转运在大鼠肾内髓质集合管起始段的基底外侧膜中可被诱导。
J Clin Invest. 1998 Sep 1;102(5):1008-15. doi: 10.1172/JCI3588.
10
Evidence for sodium-dependent active urea secretion in the deepest subsegment of the rat inner medullary collecting duct.大鼠肾内髓集合管最深节段中钠依赖性活性尿素分泌的证据。
J Clin Invest. 1998 Jan 15;101(2):423-8. doi: 10.1172/JCI1420.
Am J Physiol. 1961 Jun;200:1139-47. doi: 10.1152/ajplegacy.1961.200.6.1139.
4
The role of urea in the urine concentrating mechanism.尿素在尿液浓缩机制中的作用。
J Clin Invest. 1959 May;38(5):741-8. doi: 10.1172/JCI103854.
5
Service of urea in renal water conservation.尿素在肾脏保水中的作用。
Am J Physiol. 1959 Mar;196(3):545-8. doi: 10.1152/ajplegacy.1959.196.3.545.
6
Renal tubular regulation of urea excretion in man.人类肾小管对尿素排泄的调节。
J Appl Physiol. 1958 Sep;13(2):263-8. doi: 10.1152/jappl.1958.13.2.263.
7
Renal regulation of urea excretion in sheep.绵羊尿素排泄的肾脏调节
Am J Physiol. 1958 Aug;194(2):221-8. doi: 10.1152/ajplegacy.1958.194.2.221.
8
Urea excretion in the camel.骆驼的尿素排泄
Am J Physiol. 1957 Mar;188(3):477-84. doi: 10.1152/ajplegacy.1957.188.3.477.
9
Urea reabsorption in the medullary collecting duct of protein-depleted young rats before and after urea infusion.尿素输注前后蛋白质缺乏的幼鼠髓质集合管中的尿素重吸收。
Pflugers Arch. 1982 Jun;393(4):302-7. doi: 10.1007/BF00581414.
10
Urea secretion in medullary collecting duct of the rat kidney during water and mannitol diuresis.水和甘露醇利尿期间大鼠肾脏髓质集合管中的尿素分泌
Am J Physiol. 1981 Mar;240(3):F165-71. doi: 10.1152/ajprenal.1981.240.3.F165.