Suppr超能文献

4例18号染色体长臂部分重复患者的临床和分子评估

Clinical and molecular evaluation of four patients with partial duplications of the long arm of chromosome 18.

作者信息

Mewar R, Kline A D, Harrison W, Rojas K, Greenberg F, Overhauser J

机构信息

Department of Biochemistry and Molecular Biology, Thomas Jefferson University, Philadelphia, PA 19107.

出版信息

Am J Hum Genet. 1993 Dec;53(6):1269-78.

Abstract

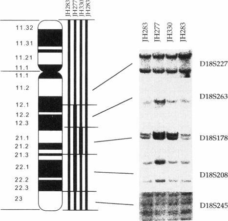
Four individuals with partial duplications of the long arm of chromosome 18 were analyzed at the clinical, cytogenetic, and molecular levels. Two of the individuals had duplications of the long arm from 18q21.1-qter because of inheritance of an unbalanced translocation. Both of these individuals displayed the clinical phenotype characteristic of Edwards syndrome. Two other patients had de novo interstitial duplications of 18q but did not have a clinical diagnosis of Edwards syndrome. The extent of the duplicated material in each patient was determined initially by using cytogenetic analysis and subsequently with more detailed comparisons of the duplicated regions by using molecular probes derived from a chromosome 18-specific lambda phage library. The results demonstrated that one of the de novo interstitial duplications that did not result in the Edwards syndrome phenotype had a more proximal breakpoint than that of the partial duplications of the two patients with features of Edwards syndrome. These results suggest that a single critical region for Edwards syndrome in the proximal portion of 18q is unlikely.

摘要

对4例18号染色体长臂部分重复的个体进行了临床、细胞遗传学和分子水平分析。其中2例个体因不平衡易位的遗传而出现18q21.1 - qter长臂重复。这2例个体均表现出爱德华兹综合征的临床表型特征。另外2例患者为18q的新发中间重复,但未临床诊断为爱德华兹综合征。最初通过细胞遗传学分析确定每位患者重复物质的范围,随后使用来自18号染色体特异性λ噬菌体文库的分子探针,对重复区域进行更详细的比较。结果表明,1例未导致爱德华兹综合征表型的新发中间重复的断点比2例具有爱德华兹综合征特征患者的部分重复的断点更靠近近端。这些结果提示,18q近端不太可能存在一个单一的爱德华兹综合征关键区域。

https://cdn.ncbi.nlm.nih.gov/pmc/blobs/8f6f/1682493/4228e1b0572d/ajhg00057-0115-a.jpg

文献检索

告别复杂PubMed语法,用中文像聊天一样搜索,搜遍4000万医学文献。AI智能推荐,让科研检索更轻松。

立即免费搜索

文件翻译

保留排版,准确专业,支持PDF/Word/PPT等文件格式,支持 12+语言互译。

免费翻译文档

深度研究

AI帮你快速写综述,25分钟生成高质量综述,智能提取关键信息,辅助科研写作。

立即免费体验