Schinzel A A, Basaran S, Bernasconi F, Karaman B, Yüksel-Apak M, Robinson W P
Institute of Medical Genetics, University of Zurich, Switzerland.
Am J Hum Genet. 1994 Jan;54(1):21-4.
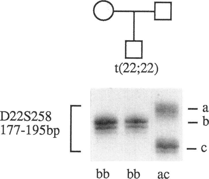
A 25-year-old normal healthy male was karyotyped because five of his wife's pregnancies terminated in spontaneous abortions at 6-14 wk of gestation. Cytogenetic investigation disclosed a de novo balanced Robertsonian t(22q;22q) translocation. Molecular studies revealed maternal only inheritance for chromosome 22 markers. Reduction to homozygosity for all informative markers indicates that the rearranged chromosome is an isochromosome derived from one of the maternal chromosomes 22. Except for the possibility of homozygosity for recessive mutations, maternal uniparental disomy 22 does not seem to have an adverse impact on the phenotype, apart from causing reproductive failure. It can be concluded that no maternally imprinted genes with major effect map to chromosome 22.
一名25岁正常健康男性接受了染色体核型分析,因为他妻子的五次怀孕均在妊娠6至14周时自然流产。细胞遗传学研究发现了一种新发的平衡罗伯逊易位t(22q;22q)。分子研究显示,22号染色体标记仅由母亲遗传。所有信息性标记均纯合化,表明重排染色体是一条源自母亲22号染色体之一的等臂染色体。除了隐性突变纯合的可能性外,母亲单亲二体22似乎除了导致生殖失败外,对表型没有不利影响。可以得出结论,没有主要作用的母系印记基因定位于22号染色体。