Suppr超能文献

人巨细胞病毒86千道尔顿立即早期2蛋白:以前体多肽形式合成并与一种可能源自病毒的75千道尔顿蛋白相互作用。

The human cytomegalovirus 86-kilodalton immediate-early 2 protein: synthesis as a precursor polypeptide and interaction with a 75-kilodalton protein of probable viral origin.

作者信息

Samaniego L A, Tevethia M J, Spector D J

机构信息

Department of Microbiology and Immunology, Pennsylvania State University, College of Medicine, Hershey 17033.

出版信息

J Virol. 1994 Feb;68(2):720-9. doi: 10.1128/JVI.68.2.720-729.1994.

Abstract

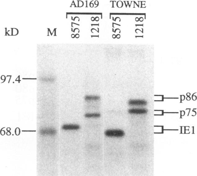
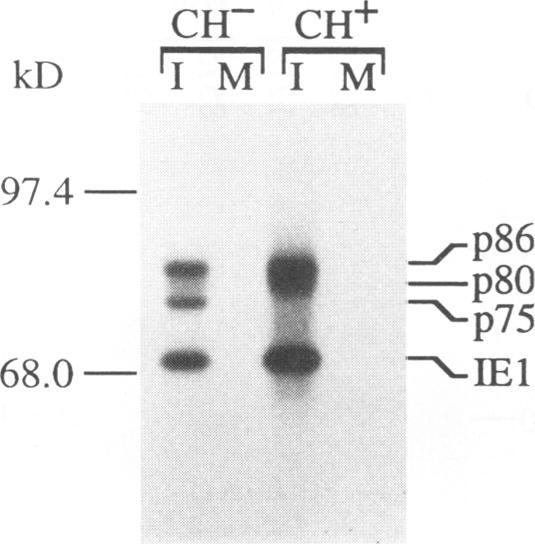
The immediate-early 2 (IE2) 86-kDa polypeptide, a major immediate-early gene product of human cytomegalovirus, regulates transcription both positively and negatively. We report two new properties of the IE2 86-kDa polypeptide in infected cells. Immunoprecipitation of infected cell proteins from human embryonic lung cells by antipeptide or monoclonal antibodies specific for IE2 epitopes revealed three closely migrating polypeptide species. The slowest, p86, behaved as expected for the mature 86-kDa IE2 polypeptide. The middle species, p80, was immunoprecipitated from denatured as well as native samples and labeled to steady state rapidly. Pulse-chase analysis demonstrated directly that p80 was a metabolic precursor to p86. The fastest-migrating species, p75, was not detected by probing blots of the immunoprecipitated proteins with IE2-specific antisera; p75 was not precipitated from denatured protein samples; and the products of partial proteolysis of p75 were distinct from those of p86. These properties established p75 as an unrelated coprecipitated polypeptide complexed with p86. The p75 proteins coprecipitated from cells infected with two different strains of human cytomegalovirus, AD169 and Towne, had different mobilities. p75 was detected as early as 6 h and as late as 72 h after infection, but it was not synthesized in cells released from a cycloheximide block. Thus, it is likely that p75 is an early viral protein.

摘要

人巨细胞病毒主要的即刻早期基因产物即刻早期2(IE2)86-kDa多肽对转录具有正负调控作用。我们报告了IE2 86-kDa多肽在受感染细胞中的两个新特性。用针对IE2表位的抗肽抗体或单克隆抗体对人胚肺细胞中受感染细胞蛋白进行免疫沉淀,结果显示有三种迁移率相近的多肽。最慢的p86表现为成熟的86-kDa IE2多肽。中间的p80能从变性及天然样品中被免疫沉淀,且能迅速标记至稳态。脉冲追踪分析直接表明p80是p86的代谢前体。迁移最快的p75在用IE2特异性抗血清探测免疫沉淀蛋白的印迹时未被检测到;p75不能从变性蛋白样品中沉淀出来;p75部分蛋白酶解产物与p86不同。这些特性表明p75是一种与p86复合的不相关共沉淀多肽。从感染两种不同人巨细胞病毒株AD169和汤氏株的细胞中共沉淀出的p75蛋白具有不同的迁移率。p75在感染后6小时最早可检测到,最晚在72小时可检测到,但在从放线菌酮阻断中释放的细胞中不合成。因此,p75很可能是一种早期病毒蛋白。

https://cdn.ncbi.nlm.nih.gov/pmc/blobs/5d59/236508/1a32f9a0f891/jvirol00011-0154-a.jpg

文献检索

告别复杂PubMed语法,用中文像聊天一样搜索,搜遍4000万医学文献。AI智能推荐,让科研检索更轻松。

立即免费搜索

文件翻译

保留排版,准确专业,支持PDF/Word/PPT等文件格式,支持 12+语言互译。

免费翻译文档

深度研究

AI帮你快速写综述,25分钟生成高质量综述,智能提取关键信息,辅助科研写作。

立即免费体验