Suppr超能文献

人类10号染色体着丝粒周围区域重复序列的组织方式。

The organisation of repetitive sequences in the pericentromeric region of human chromosome 10.

作者信息

Jackson M S, Slijepcevic P, Ponder B A

机构信息

Department of Pathology, University of Cambridge, UK.

出版信息

Nucleic Acids Res. 1993 Dec 25;21(25):5865-74. doi: 10.1093/nar/21.25.5865.

Abstract

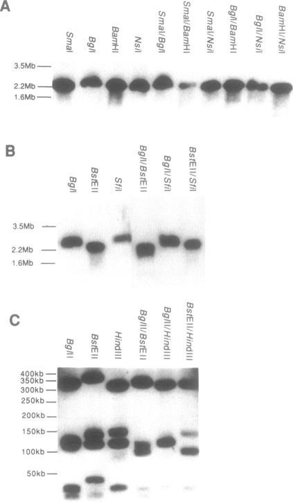
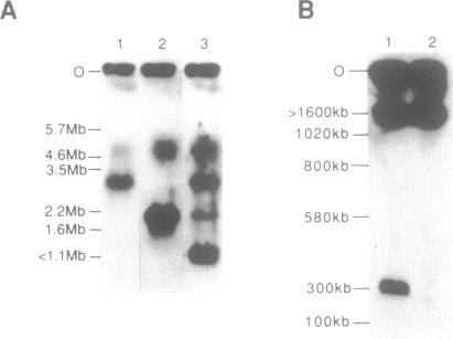
Three satellite DNA families are present in the pericentromeric region of chromosome 10; the alpha satellite and two 5 bp satellite families defined here as satellites 2 and 3. Pulsed field gel electrophoresis (PFGE) demonstrates that these sequences are organised into five discrete arrays which are linked within a region of approximately 5.3 Megabases (Mb) of DNA. The alpha satellite is largely confined to a 2.2 Mb array which is flanked on its p arm side by two 100-150 kb satellite 3 arrays and on its q arm side by a 900 kb satellite 2 array and a further 320 kb satellite 3 array. This linear order is corroborated by fluorescent in situ hybridisation analyses. In total, these arrays account for 3.6 Mb of DNA in the pericentromeric region of chromosome 10. These data provide both physical information on sequences which may be involved in centromere function and a map across the centromere which has the potential to link yeast artificial chromosome (YAC) contigs currently being developed on both arms of this chromosome.

摘要

10号染色体的着丝粒周围区域存在三个卫星DNA家族;α卫星以及这里定义为卫星2和卫星3的两个5碱基对卫星家族。脉冲场凝胶电泳(PFGE)表明,这些序列被组织成五个离散的阵列,它们在大约5.3兆碱基(Mb)的DNA区域内相连。α卫星主要局限于一个2.2 Mb的阵列,该阵列在其p臂一侧由两个100 - 150 kb的卫星3阵列侧翼,在其q臂一侧由一个900 kb的卫星2阵列和另一个320 kb的卫星3阵列侧翼。这种线性顺序通过荧光原位杂交分析得到证实。这些阵列总共占10号染色体着丝粒周围区域3.6 Mb的DNA。这些数据既提供了可能参与着丝粒功能的序列的物理信息,也提供了跨越着丝粒的图谱,该图谱有可能连接目前正在该染色体双臂上开发的酵母人工染色体(YAC)重叠群。

https://cdn.ncbi.nlm.nih.gov/pmc/blobs/e544/310467/ce8bcc67ef84/nar00074-0071-a.jpg

文献检索

告别复杂PubMed语法,用中文像聊天一样搜索,搜遍4000万医学文献。AI智能推荐,让科研检索更轻松。

立即免费搜索

文件翻译

保留排版,准确专业,支持PDF/Word/PPT等文件格式,支持 12+语言互译。

免费翻译文档

深度研究

AI帮你快速写综述,25分钟生成高质量综述,智能提取关键信息,辅助科研写作。

立即免费体验