Suppr超能文献

Progression and resolution of changes in pulmonary function and structure due to pulmonary microembolism and blood transfusion.

作者信息

Brown C, Dhurandhar H N, Barrett J, Litwin M S

出版信息

Ann Surg. 1977 Jan;185(1):92-99. doi: 10.1097/00000658-197701000-00016.

Abstract

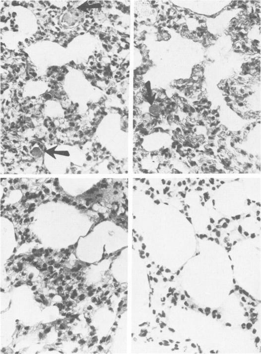
It was the purpose of this research to define the progression over several days of changes in pulmonary function and structure and to document the phases of recovery following transfusions to dogs of sublethal quantities of stored blood containing microaggregates. Ten dogs underwent partial exchange transfusions averaging 60% of blood volume through standard blood transfusion filters. Average screen filtration pressure (SFP) of the blood was 85 mm Hg. Pulmonary hypertension did not develop, but there were striking decreases in O2 consumption, increases in Qs/Qt and decreases in Do2. Changes became progressively more marked over the first 48 to 72 hours after the transfusions. Pulmonary function of surviving animals returned nearly to normal by the sixth day after transfusions. Pathologic examinations of the lungs of animals sequentially sacrificed over 6 days showed intravascular microemboli, alveolar cell hyperplasia and interstitial and alveolar pulmonary edema. Progressive recovery was associated with progressive resolution of all detrimental changes. In 6 animals exchange transfused 100% of their blood volumes through dacron wool (Swank) filters and in three control animals that were not transfused, there were no significant changes in pulmonary function or structure. These experiments define the progression of deterioration and recovery over 6 days of pulmonary function in dogs after sublethal pulmonary microembolism occurring during blood transfusion.

摘要
https://cdn.ncbi.nlm.nih.gov/pmc/blobs/69e1/1396267/1f4dddaeb8c7/annsurg00372-0104-a.jpg

文献检索

告别复杂PubMed语法,用中文像聊天一样搜索,搜遍4000万医学文献。AI智能推荐,让科研检索更轻松。

立即免费搜索

文件翻译

保留排版,准确专业,支持PDF/Word/PPT等文件格式,支持 12+语言互译。

免费翻译文档

深度研究

AI帮你快速写综述,25分钟生成高质量综述,智能提取关键信息,辅助科研写作。

立即免费体验