• 文献检索
  • 文档翻译
  • 深度研究
  • 学术资讯
  • Suppr Zotero 插件Zotero 插件
  • 邀请有礼
  • 套餐&价格
  • 历史记录
应用&插件
Suppr Zotero 插件Zotero 插件浏览器插件Mac 客户端Windows 客户端微信小程序
定价
高级版会员购买积分包购买API积分包
服务
文献检索文档翻译深度研究API 文档MCP 服务
关于我们
关于 Suppr公司介绍联系我们用户协议隐私条款
关注我们

Suppr 超能文献

核心技术专利:CN118964589B侵权必究
粤ICP备2023148730 号-1Suppr @ 2026

文献检索

告别复杂PubMed语法,用中文像聊天一样搜索,搜遍4000万医学文献。AI智能推荐,让科研检索更轻松。

立即免费搜索

文件翻译

保留排版,准确专业,支持PDF/Word/PPT等文件格式,支持 12+语言互译。

免费翻译文档

深度研究

AI帮你快速写综述,25分钟生成高质量综述,智能提取关键信息,辅助科研写作。

立即免费体验

黑人患者的甲状舌管囊肿

Thyroglossal cyst in black patients.

作者信息

Hong I S, Chung E B

出版信息

J Natl Med Assoc. 1977 Jan;69(1):35-8.

PMID:833895
原文链接:https://pmc.ncbi.nlm.nih.gov/articles/PMC2536844/
Abstract

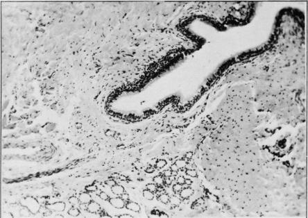
During the 16-year period, July 1, 1959 to June 30, 1975, inclusively, there were only 20 patients with thyroglossal cyst found at the Howard University Hospital (0.03 percent of routine surgicals). There were 12 males and eight females, all of whom were black. Anatomic and histopathologic variations of thyroglossal cysts will be emphasized, and the pitfalls in diagnosis discussed. A brief review of the literature will be presented.

摘要

在1959年7月1日至1975年6月30日这16年期间,包括首尾两天,霍华德大学医院仅发现20例甲状舌管囊肿患者(占常规手术患者的0.03%)。患者中有12名男性和8名女性,均为黑人。本文将着重介绍甲状舌管囊肿的解剖学和组织病理学变异,并讨论诊断中的陷阱。还将对相关文献进行简要综述。

https://cdn.ncbi.nlm.nih.gov/pmc/blobs/0cca/2536844/6b0d5491b847/jnma00001-0040-b.jpg
https://cdn.ncbi.nlm.nih.gov/pmc/blobs/0cca/2536844/fcbdf8835be7/jnma00001-0040-a.jpg
https://cdn.ncbi.nlm.nih.gov/pmc/blobs/0cca/2536844/6b0d5491b847/jnma00001-0040-b.jpg
https://cdn.ncbi.nlm.nih.gov/pmc/blobs/0cca/2536844/fcbdf8835be7/jnma00001-0040-a.jpg
https://cdn.ncbi.nlm.nih.gov/pmc/blobs/0cca/2536844/6b0d5491b847/jnma00001-0040-b.jpg

相似文献

1
Thyroglossal cyst in black patients.黑人患者的甲状舌管囊肿
J Natl Med Assoc. 1977 Jan;69(1):35-8.
2
The thyroglossal cyst.甲状舌管囊肿。
Head Neck Surg. 1982 Nov-Dec;5(2):134-46. doi: 10.1002/hed.2890050209.
3
Management outcome of thyroglossal cyst in a tertiary health center in Southwest Nigeria.尼日利亚西南部一家三级医疗中心甲状舌管囊肿的治疗结果
Pan Afr Med J. 2019 Nov 20;34:154. doi: 10.11604/pamj.2019.34.154.18765. eCollection 2019.
4
Thyroglossal duct cyst: an analysis of 92 cases.甲状舌管囊肿:92例分析
Zhonghua Yi Xue Za Zhi (Taipei). 1992 Feb;49(2):72-5.
5
A Clinicopathologic Series of 685 Thyroglossal Duct Remnant Cysts.685例甲状舌管残余囊肿的临床病理系列研究
Head Neck Pathol. 2016 Dec;10(4):465-474. doi: 10.1007/s12105-016-0724-7. Epub 2016 May 9.
6
Thyroglossal cysts and sinuses in Ilesa, Nigeria--a 20 year experience.尼日利亚伊莱萨地区的甲状舌管囊肿和瘘管——20年经验
Trop Geogr Med. 1985 Mar;37(1):47-50.
7
Thyroglossal-tract cyst.甲状舌管囊肿。
Oral Surg Oral Med Oral Pathol. 1978 Jan;45(1):32-8. doi: 10.1016/0030-4220(78)90219-0.
8
Thyroglossal duct cysts in the elderly.老年人的甲状舌管囊肿
Geriatrics. 1970 Aug;25(8):98-101.
9
Thyroglossal cysts--a review of 39 cases.甲状舌管囊肿——39例病例回顾
Ann Acad Med Singap. 1981 Oct;10(4):413-4.
10
Thyroid diseases in black patients.黑人患者的甲状腺疾病
J Natl Med Assoc. 1977 Aug;69(8):573-7.

本文引用的文献

1
THE SURGICAL TREATMENT OF CYSTS OF THE THYROGLOSSAL TRACT.甲状舌管囊肿的外科治疗
Ann Surg. 1920 Feb;71(2):121-122.2. doi: 10.1097/00000658-192002000-00002.
2
A large thyroglossal cyst.一个巨大的甲状舌管囊肿。
Br J Surg. 1960 Jan;47:447-9. doi: 10.1002/bjs.18004720423.
3
RETROPHARYNGEAL ABSCESS SECONDARY TO THYROGLOSSAL CYST.继发于甲状舌管囊肿的咽后脓肿
Am J Dis Child. 1965 Feb;109:160-1. doi: 10.1001/archpedi.1965.02090020162013.
4
Congenital cysts, sinuses and fistulas of the neck.先天性颈部囊肿、窦道和瘘管。
Trans Indiana Acad Ophthalmol Otolaryngol. 1962;45:13-21.
5
Thyroglossal duct cysts and sinuses: results of radical (Sistrunk) operation.甲状舌管囊肿和窦道:根治性(西斯特伦克)手术的结果
Am J Surg. 1961 Oct;102:494-501. doi: 10.1016/0002-9610(61)90551-7.
6
Papillary carcinoma arising in a thyroglossal tract.
Can Med Assoc J. 1961 Sep 30;85(14):791-3.
7
Cysts and sinuses of the thyroglossal duct.甲状舌管囊肿及瘘管
Am J Surg. 1966 Aug;112(2):225-32. doi: 10.1016/0002-9610(66)90013-4.
8
Thyroglossal cysts and tracts. A histological and histochemical study.甲状舌管囊肿与瘘管。一项组织学与组织化学研究。
Ann Otol Rhinol Laryngol. 1968 Feb;77(1):139-45. doi: 10.1177/000348946807700114.
9
The many faces of cysts of the thyroglossal duct.甲状舌管囊肿的多种表现
Trans Am Acad Ophthalmol Otolaryngol. 1970 Mar-Apr;74(2):310-8.
10
Squamous cell carcinoma arising in a thyroglossal duct cyst.起源于甲状舌管囊肿的鳞状细胞癌。
Am Surg. 1974 May;40(5):290-4.