Suppr超能文献

孕期乳腺囊肿壁内发生的癌。

Carcinoma arising in the wall of a breast cyst during pregnancy.

作者信息

Roth J A, Feinberg M, McAvoy J

出版信息

Ann Surg. 1977 Feb;185(2):247-50. doi: 10.1097/00000658-197702000-00021.

Abstract

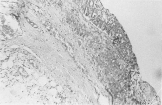
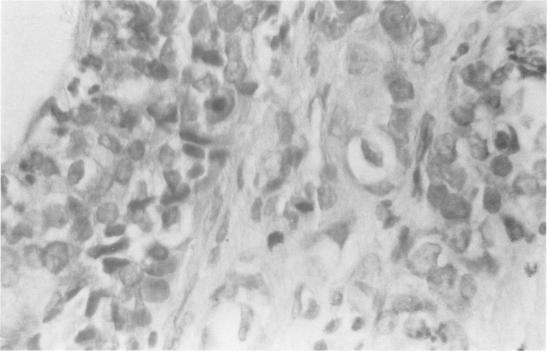
A 23-year-old patient developed a carcinoma in the wall of a breast cyst during the second trimester of an otherwise uncomplicated pregnancy. A review of the literature revealed 7 reported cases of carcinoma of the breast arising in a cyst wall. However, none of these these cases has been associated with pregnancy. The relationship of fibrocystic disease and carcinoma of the breast is discussed. The possible influence of pregnancy and age on the prognosis of this patient are also considered.

摘要

一名23岁的患者在妊娠中期,于一个原本无并发症的乳腺囊肿壁上发生了癌变。文献回顾显示,有7例报道的乳腺癌发生于囊肿壁。然而,这些病例均与妊娠无关。文中讨论了纤维囊性疾病与乳腺癌的关系。还考虑了妊娠和年龄对该患者预后可能产生的影响。

https://cdn.ncbi.nlm.nih.gov/pmc/blobs/c484/1396099/2b1397fa83b9/annsurg00373-0121-a.jpg

文献检索

告别复杂PubMed语法,用中文像聊天一样搜索,搜遍4000万医学文献。AI智能推荐,让科研检索更轻松。

立即免费搜索

文件翻译

保留排版,准确专业,支持PDF/Word/PPT等文件格式,支持 12+语言互译。

免费翻译文档

深度研究

AI帮你快速写综述,25分钟生成高质量综述,智能提取关键信息,辅助科研写作。

立即免费体验