• 文献检索
  • 文档翻译
  • 深度研究
  • 学术资讯
  • Suppr Zotero 插件Zotero 插件
  • 邀请有礼
  • 套餐&价格
  • 历史记录
应用&插件
Suppr Zotero 插件Zotero 插件浏览器插件Mac 客户端Windows 客户端微信小程序
定价
高级版会员购买积分包购买API积分包
服务
文献检索文档翻译深度研究API 文档MCP 服务
关于我们
关于 Suppr公司介绍联系我们用户协议隐私条款
关注我们

Suppr 超能文献

核心技术专利:CN118964589B侵权必究
粤ICP备2023148730 号-1Suppr @ 2026

文献检索

告别复杂PubMed语法,用中文像聊天一样搜索,搜遍4000万医学文献。AI智能推荐,让科研检索更轻松。

立即免费搜索

文件翻译

保留排版,准确专业,支持PDF/Word/PPT等文件格式,支持 12+语言互译。

免费翻译文档

深度研究

AI帮你快速写综述,25分钟生成高质量综述,智能提取关键信息,辅助科研写作。

立即免费体验

依他尼酸和5,5'-二硫代双-(2-硝基苯甲酸)对小鼠肝脏谷胱甘肽S-转移酶YfYf(Pi类)的失活作用

Inactivation of mouse liver glutathione S-transferase YfYf (Pi class) by ethacrynic acid and 5,5'-dithiobis-(2-nitrobenzoic acid).

作者信息

Phillips M F, Mantle T J

机构信息

Department of Biochemistry, Trinity College, Dublin, Ireland.

出版信息

Biochem J. 1993 Aug 15;294 ( Pt 1)(Pt 1):57-62. doi: 10.1042/bj2940057.

DOI:10.1042/bj2940057
PMID:8363586
原文链接:https://pmc.ncbi.nlm.nih.gov/articles/PMC1134565/
Abstract

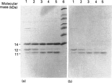
Mouse liver glutathione S-transferase YfYf (Pi class) reacts with [14C]ethacrynic acid to form a covalent adduct with a stoichiometry of 1 mol per mol of subunit. Proteolytic digestion of the enzyme-[14C]ethacrynic acid adduct with V8 protease produced an 11 kDa fragment containing radioactivity. Sequencing revealed this to be an N-terminal peptide (minus the first 15 residues, terminating at Glu-112) which contains only one cysteine residue (Cys-47). This is tentatively identified as the site of ethacrynic attachment. Kinetic studies reveal that glutathione S-conjugates protect against inactivation by ethacrynic acid, but the level of protection is not consistent with their potency as product inhibitors. A model is proposed in which glutathione S-conjugates and ethacrynic acid compete for the free enzyme, and a second molecule of ethacrynic acid reacts covalently with the enzyme-ethacrynic acid complex. The native protein contains one thiol reactive with 5,5'-dithiobis-(2-nitrobenzoic acid) at neutral pH. The resultant mixed disulphide, like the ethacrynic acid adduct, is inactive, but treatment with cyanide (which incorporates on a mol for mol basis) restores activity to 35% of that of the native enzyme.

摘要

小鼠肝脏谷胱甘肽S-转移酶YfYf(Pi类)与[14C]依他尼酸反应,形成化学计量比为每摩尔亚基1摩尔的共价加合物。用V8蛋白酶对酶-[14C]依他尼酸加合物进行蛋白水解消化,产生了一个含有放射性的11 kDa片段。测序显示这是一个N端肽(减去前15个残基,终止于Glu-112),其中仅含有一个半胱氨酸残基(Cys-47)。初步确定这是依他尼酸附着的位点。动力学研究表明,谷胱甘肽S-共轭物可防止依他尼酸导致的失活,但保护水平与其作为产物抑制剂的效力不一致。提出了一个模型,其中谷胱甘肽S-共轭物和依他尼酸竞争游离酶,并且第二个依他尼酸分子与酶-依他尼酸复合物发生共价反应。天然蛋白在中性pH下含有一个可与5,5'-二硫代双(2-硝基苯甲酸)反应的硫醇。所得的混合二硫化物与依他尼酸加合物一样无活性,但用氰化物处理(按摩尔比加入)可使活性恢复至天然酶活性的35%。

https://cdn.ncbi.nlm.nih.gov/pmc/blobs/3f78/1134565/59ebc8956582/biochemj00105-0066-a.jpg
https://cdn.ncbi.nlm.nih.gov/pmc/blobs/3f78/1134565/59ebc8956582/biochemj00105-0066-a.jpg
https://cdn.ncbi.nlm.nih.gov/pmc/blobs/3f78/1134565/59ebc8956582/biochemj00105-0066-a.jpg

相似文献

1
Inactivation of mouse liver glutathione S-transferase YfYf (Pi class) by ethacrynic acid and 5,5'-dithiobis-(2-nitrobenzoic acid).依他尼酸和5,5'-二硫代双-(2-硝基苯甲酸)对小鼠肝脏谷胱甘肽S-转移酶YfYf(Pi类)的失活作用
Biochem J. 1993 Aug 15;294 ( Pt 1)(Pt 1):57-62. doi: 10.1042/bj2940057.
2
The initial-rate kinetics of mouse glutathione S-transferase YfYf. Evidence for an allosteric site for ethacrynic acid.小鼠谷胱甘肽S-转移酶YfYf的初速率动力学。存在依他尼酸变构位点的证据。
Biochem J. 1991 May 1;275 ( Pt 3)(Pt 3):703-9. doi: 10.1042/bj2750703.
3
Isoenzyme selective irreversible inhibition of rat and human glutathione S-transferases by ethacrynic acid and two brominated derivatives.依他尼酸及其两种溴化衍生物对大鼠和人谷胱甘肽S-转移酶的同工酶选择性不可逆抑制作用
Biochem Pharmacol. 1993 Feb 9;45(3):633-9. doi: 10.1016/0006-2952(93)90137-l.
4
Characterization of a novel glutathione S-transferase isoenzyme from mouse lung and liver having structural similarity to rat glutathione S-transferase 8-8.从小鼠肺和肝脏中鉴定出一种新型谷胱甘肽S-转移酶同工酶,其结构与大鼠谷胱甘肽S-转移酶8-8相似。
Biochem J. 1991 Sep 15;278 ( Pt 3)(Pt 3):793-9. doi: 10.1042/bj2780793.
5
Inhibition of rat and human glutathione S-transferase isoenzymes by ethacrynic acid and its glutathione conjugate.依他尼酸及其谷胱甘肽共轭物对大鼠和人类谷胱甘肽S-转移酶同工酶的抑制作用。
Biochem Pharmacol. 1990 Oct 1;40(7):1631-5. doi: 10.1016/0006-2952(90)90465-w.
6
3-Methyleneoxindole: an affinity label of glutathione S-transferase pi which targets tryptophan 38.3-亚甲基吲哚:一种谷胱甘肽S-转移酶π的亲和标记物,其作用靶点为色氨酸38。
Biochemistry. 2001 Jun 26;40(25):7549-58. doi: 10.1021/bi002840w.
7
The glutathione conjugate of ethacrynic acid can bind to human pi class glutathione transferase P1-1 in two different modes.依他尼酸的谷胱甘肽共轭物能够以两种不同模式与人类π类谷胱甘肽转移酶P1-1结合。
FEBS Lett. 1997 Dec 8;419(1):32-6. doi: 10.1016/s0014-5793(97)01424-5.
8
Evidence for modulation of the interaction between Cys-47 and Lys-54 in glutathione S-transferase Pi by the nature of the residue at position 56.谷胱甘肽S-转移酶Pi中第56位残基的性质对Cys-47与Lys-54之间相互作用的调节作用的证据。
Biochem Soc Trans. 1997 Nov;25(4):S614. doi: 10.1042/bst025s614.
9
Structural and functional consequences of inactivation of human glutathione S-transferase P1-1 mediated by the catechol metabolite of equine estrogens, 4-hydroxyequilenin.马雌激素儿茶酚代谢物4-羟基马萘雌酮介导的人谷胱甘肽S-转移酶P1-1失活的结构和功能后果
Biochemistry. 2001 Apr 17;40(15):4811-20. doi: 10.1021/bi002513o.
10
Ethacrynic acid and its glutathione conjugate as inhibitors of glutathione S-transferases.依他尼酸及其谷胱甘肽共轭物作为谷胱甘肽S-转移酶的抑制剂。
Xenobiotica. 1993 Aug;23(8):913-23. doi: 10.3109/00498259309059418.

引用本文的文献

1
Cellular pharmacokinetic and pharmacodynamic analyses of ethacrynic acid: Implications in topical drug delivery in the eye.依他尼酸的细胞药代动力学和药效学分析:对眼部局部给药的意义。
Mol Vis. 2011;17:2507-15. Epub 2011 Sep 27.
2
Glutathione S-transferases of the yeast Yarrowia lipolytica have unusually large molecular mass.解脂耶氏酵母的谷胱甘肽S-转移酶具有异常大的分子量。
Biochem J. 1998 Aug 1;333 ( Pt 3)(Pt 3):839-45. doi: 10.1042/bj3330839.
3
Isolation and characterization of glutathione S-transferase isozymes from sorghum.高粱谷胱甘肽S-转移酶同工酶的分离与鉴定

本文引用的文献

1
Binding of ethacrynic acid to hepatic glutathione S-transferases in vivo in the rat.大鼠体内依他尼酸与肝脏谷胱甘肽S-转移酶的结合
Biochem Pharmacol. 1980 Apr 15;29(8):1205-8. doi: 10.1016/0006-2952(80)90420-7.
2
Glutathione transferases: nomenclature.谷胱甘肽转移酶:命名法
Biochem Pharmacol. 1984 Aug 15;33(16):2539-40. doi: 10.1016/0006-2952(84)90621-x.
3
Induction by butylated hydroxyanisole of specific molecular forms of glutathione S-transferase and UDP-glucuronyltransferase and inhibition of development of gamma-glutamyl transpeptidase-positive foci in rat liver.
Plant Physiol. 1998 Jul;117(3):877-92. doi: 10.1104/pp.117.3.877.
4
Isolation and characterization of two mouse Pi-class glutathione S-transferase genes.两个小鼠Pi类谷胱甘肽S-转移酶基因的分离与鉴定
Biochem J. 1994 Mar 1;298 ( Pt 2)(Pt 2):385-90. doi: 10.1042/bj2980385.
丁基羟基茴香醚对大鼠肝脏中谷胱甘肽S-转移酶和尿苷二磷酸葡萄糖醛酸基转移酶特定分子形式的诱导作用以及对γ-谷氨酰转肽酶阳性灶发展的抑制作用。
Carcinogenesis. 1984 Apr;5(4):473-7. doi: 10.1093/carcin/5.4.473.
4
Cleavage of structural proteins during the assembly of the head of bacteriophage T4.在噬菌体T4头部组装过程中结构蛋白的切割
Nature. 1970 Aug 15;227(5259):680-5. doi: 10.1038/227680a0.
5
Glutathione S-transferases. The first enzymatic step in mercapturic acid formation.谷胱甘肽S-转移酶。硫醚氨酸形成过程中的首个酶促步骤。
J Biol Chem. 1974 Nov 25;249(22):7130-9.
6
Lifespan and incidence of cancer and other diseases in selected long-lived inbred mice and their F 1 hybrids.特定长寿近交系小鼠及其F1杂种的寿命、癌症及其他疾病的发病率
J Natl Cancer Inst. 1973 May;50(5):1195-213. doi: 10.1093/jnci/50.5.1195.
7
Identification of three classes of cytosolic glutathione transferase common to several mammalian species: correlation between structural data and enzymatic properties.几种哺乳动物共有的三类胞质谷胱甘肽转移酶的鉴定:结构数据与酶学性质之间的相关性
Proc Natl Acad Sci U S A. 1985 Nov;82(21):7202-6. doi: 10.1073/pnas.82.21.7202.
8
Developmental and hormonal regulation of the major form of hepatic glutathione S-transferase in male mice.
Biochem Biophys Res Commun. 1986 Oct 30;140(2):581-8. doi: 10.1016/0006-291x(86)90771-0.
9
Use of immuno-blot techniques to discriminate between the glutathione S-transferase Yf, Yk, Ya, Yn/Yb and Yc subunits and to study their distribution in extrahepatic tissues. Evidence for three immunochemically distinct groups of transferase in the rat.使用免疫印迹技术区分谷胱甘肽S-转移酶Yf、Yk、Ya、Yn/Yb和Yc亚基,并研究它们在肝外组织中的分布。大鼠体内存在三种免疫化学性质不同的转移酶组的证据。
Biochem J. 1986 Feb 1;233(3):779-88. doi: 10.1042/bj2330779.
10
Electroblotting onto glass-fiber filter from an analytical isoelectrofocusing gel: a preparative method for isolating proteins for N-terminal microsequencing.从分析性等电聚焦凝胶电印迹到玻璃纤维滤膜:一种用于分离蛋白质以进行N端微量测序的制备方法。
Anal Biochem. 1988 Apr;170(1):1-8. doi: 10.1016/0003-2697(88)90082-6.