Suppr超能文献

1型人类免疫缺陷病毒vif阴性毒株感染允许性细胞和非允许性细胞期间病毒DNA合成的效率

Efficiency of viral DNA synthesis during infection of permissive and nonpermissive cells with vif-negative human immunodeficiency virus type 1.

作者信息

Sova P, Volsky D J

机构信息

Molecular Virology Laboratory, St. Luke's/Roosevelt Hospital Center, New York, New York.

出版信息

J Virol. 1993 Oct;67(10):6322-6. doi: 10.1128/JVI.67.10.6322-6326.1993.

Abstract

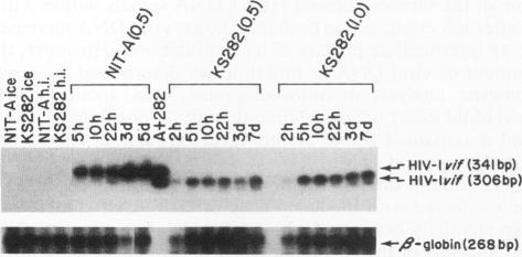
The rate-limiting steps in infection by human immunodeficiency virus type 1 (HIV-1) deficient in the viral infectivity factor, Vif, are unknown. As a measurement of completion of the early stages of the HIV-1 life cycle, the levels of viral DNA were examined by polymerase chain reaction amplification during infection by vif-positive and vif-negative viruses of MT-2 and H9 cells, in which vif is required for HIV-1 replication. Viral DNA was detected within hours of infection by both viruses, but the accumulation of vif-negative virus DNA was impeded in terms of both extent and kinetics. Inefficient viral DNA synthesis correlated with restricted replication of the vif-negative virus. Increasing the input dose of vif-negative virus increased viral DNA levels within 24 h of infection but failed to overcome the block to subsequent DNA synthesis and productive infection. Infection of C8166 cells, in which vif function is dispensable, resulted in efficient DNA synthesis by vif-positive and vif-negative viruses. We conclude that one defect in the replication of vif-negative HIV-1 in nonpermissive cells occurs prior to or during viral DNA synthesis and may reflect processes required for efficient nucleocapsid internalization or activation of reverse transcription.

摘要

缺乏病毒感染因子(Vif)的1型人类免疫缺陷病毒(HIV-1)感染过程中的限速步骤尚不清楚。作为HIV-1生命周期早期阶段完成情况的一种衡量指标,在MT-2和H9细胞被vif阳性和vif阴性病毒感染期间,通过聚合酶链反应扩增检测病毒DNA水平,其中HIV-1复制需要vif。两种病毒在感染后数小时内均检测到病毒DNA,但vif阴性病毒DNA的积累在程度和动力学方面均受到阻碍。低效的病毒DNA合成与vif阴性病毒的复制受限相关。增加vif阴性病毒的输入剂量可在感染后24小时内提高病毒DNA水平,但未能克服对后续DNA合成和有效感染的阻碍。vif功能可有可无的C8166细胞被vif阳性和vif阴性病毒感染后,均可高效合成DNA。我们得出结论,vif阴性HIV-1在非允许细胞中复制的一个缺陷发生在病毒DNA合成之前或期间,可能反映了有效核衣壳内化或逆转录激活所需的过程。

https://cdn.ncbi.nlm.nih.gov/pmc/blobs/146b/238061/48848a4bcbe6/jvirol00031-0626-a.jpg

文献AI研究员

20分钟写一篇综述,助力文献阅读效率提升50倍。

立即体验

用中文搜PubMed

大模型驱动的PubMed中文搜索引擎

马上搜索

文档翻译

学术文献翻译模型,支持多种主流文档格式。

立即体验