Suppr超能文献

棉鼠(刚毛棉鼠)5型腺病毒肺炎的发病机制。

Pathogenesis of adenovirus type 5 pneumonia in cotton rats (Sigmodon hispidus).

作者信息

Prince G A, Porter D D, Jenson A B, Horswood R L, Chanock R M, Ginsberg H S

机构信息

Virion Systems, Inc., Rockville, Maryland 20850.

出版信息

J Virol. 1993 Jan;67(1):101-11. doi: 10.1128/JVI.67.1.101-111.1993.

Abstract

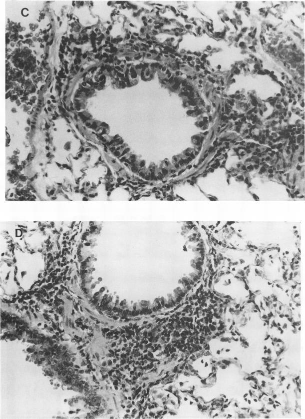
Cotton rats (Sigmodon hispidus) were inoculated intranasally with 10(2.0) to 10(10.0) PFU of human adenovirus type 5. The virus replicated to a high titer in pulmonary tissues, with the peak titer being proportional to the input dose. The 50% lethal dose was 10(9.4) PFU. Histopathologic changes were proportional to the infecting inoculum and included the infiltration of interstitial and intra-alveolar areas, moderate damage to bronchiolar epithelium, and cellular infiltration of peribronchiolar and perivascular regions. These changes could be divided into two phases: an early phase (affecting alveoli, bronchiolar epithelium, and peribronchiolar regions) with an infiltrate consisting primarily of monocytes-macrophages and neutrophils, with occasional lymphocytes, and a later phase (affecting peribronchiolar and perivascular regions) with an infiltrate consisting almost exclusively of lymphocytes. In both phases, the predominant process was the response of the host to infection, rather than direct viral damage to infected cells. An infecting inoculum of 10(8.0) PFU or larger caused severe damage to type II alveolar cells, which were swollen, showed a loss of lamellar bodies, and were surrounded by polymorphonuclear leukocytes and macrophages. No evidence of complete viral replication was found in type II alveolar cells.

摘要

将10(2.0)至10(10.0)个空斑形成单位(PFU)的人5型腺病毒经鼻内接种给棉鼠。病毒在肺组织中复制至高滴度,峰值滴度与接种剂量成正比。半数致死剂量为10(9.4) PFU。组织病理学变化与感染接种物成正比,包括间质和肺泡内区域的浸润、细支气管上皮的中度损伤以及细支气管周围和血管周围区域的细胞浸润。这些变化可分为两个阶段:早期阶段(影响肺泡、细支气管上皮和细支气管周围区域),浸润主要由单核细胞-巨噬细胞和中性粒细胞组成,偶尔有淋巴细胞;后期阶段(影响细支气管周围和血管周围区域),浸润几乎完全由淋巴细胞组成。在两个阶段中,主要过程是宿主对感染的反应,而不是病毒对感染细胞的直接损伤。10(8.0) PFU或更大的感染接种物对II型肺泡细胞造成严重损伤,这些细胞肿胀,板层小体丢失,被多形核白细胞和巨噬细胞包围。在II型肺泡细胞中未发现病毒完全复制的证据。

https://cdn.ncbi.nlm.nih.gov/pmc/blobs/1bd7/237342/1edbe858738e/jvirol00022-0127-a.jpg

相似文献

1
Pathogenesis of adenovirus type 5 pneumonia in cotton rats (Sigmodon hispidus).
J Virol. 1993 Jan;67(1):101-11. doi: 10.1128/JVI.67.1.101-111.1993.
2
Pathogenesis and immunogenicity of bovine adenovirus type 3 in cotton rats (Sigmodon hispidus).
Virology. 1995 Oct 20;213(1):131-9. doi: 10.1006/viro.1995.1553.
3
Pulmonary lesions in lambs experimentally infected with ovine adenovirus 5 strain RTS-42.
Vet Pathol. 1986 Sep;23(5):589-93. doi: 10.1177/030098588602300507.
6
The molecular basis of adenovirus pathogenesis.
Infect Agents Dis. 1994 Feb;3(1):1-8.
7
A mouse model for investigating the molecular pathogenesis of adenovirus pneumonia.
Proc Natl Acad Sci U S A. 1991 Mar 1;88(5):1651-5. doi: 10.1073/pnas.88.5.1651.
8
Immunoperoxidase study of adenovirus pneumonia in dogs.
Vet Q. 1985 Oct;7(4):290-6. doi: 10.1080/01652176.1985.9694002.

引用本文的文献

2
Construction and validation of a mouse model for studying severe human adenovirus infections.
Virol Sin. 2024 Dec;39(6):963-973. doi: 10.1016/j.virs.2024.11.001. Epub 2024 Nov 6.
3
Measles Infection Dose Responses: Insights from Mathematical Modeling.
Bull Math Biol. 2024 Jun 9;86(7):85. doi: 10.1007/s11538-024-01305-0.
4
Correlation of viral loads in disease transmission could affect early estimates of the reproduction number.
J R Soc Interface. 2023 May;20(202):20220827. doi: 10.1098/rsif.2022.0827. Epub 2023 May 3.
8
Animal Models in Human Adenovirus Research.
Biology (Basel). 2021 Dec 1;10(12):1253. doi: 10.3390/biology10121253.
9
Human Adenovirus Type 4 Comprises Two Major Phylogroups with Distinct Replicative Fitness and Virulence Phenotypes.
J Virol. 2022 Mar 9;96(5):e0109021. doi: 10.1128/JVI.01090-21. Epub 2021 Jul 7.
10
Chinese tree shrew: a permissive model for in vitro and in vivo replication of human adenovirus species B.
Emerg Microbes Infect. 2021 Dec;10(1):424-438. doi: 10.1080/22221751.2021.1895679.

本文引用的文献

1
Fluorescent focus assay of viruses on cell monolayers in plastic Petri plates.
Proc Soc Exp Biol Med. 1967 Jul;125(3):892-5. doi: 10.3181/00379727-125-32232.
5
Inoculation of pigs with adenoviruses of man.
Nature. 1962 Jan 6;193:45-6. doi: 10.1038/193045a0.
6
A toxin-like material separable from type 5 adenovirus particles.
Virology. 1958 Dec;6(3):770-1. doi: 10.1016/0042-6822(58)90123-5.
7
A protein factor responsible for the early cytopathic effect of adenoviruses.
Virology. 1958 Dec;6(3):601-11. doi: 10.1016/0042-6822(58)90109-0.
8
Severe and fatal pneumonia in infants and young children associated with adenovirus infections.
Am J Hyg. 1958 May;67(3):367-78. doi: 10.1093/oxfordjournals.aje.a119941.
9
Latent infection of rabbits by adenovirus type 5.
Nature. 1957 Sep 21;180(4586):615-6. doi: 10.1038/180615b0.
10
Cytological and cytochemical studies of HeLa cells infected with adeno-viruses.
J Exp Med. 1957 Mar 1;105(3):195-216. doi: 10.1084/jem.105.3.195.

文献AI研究员

20分钟写一篇综述,助力文献阅读效率提升50倍。

立即体验

用中文搜PubMed

大模型驱动的PubMed中文搜索引擎

马上搜索

文档翻译

学术文献翻译模型,支持多种主流文档格式。

立即体验