Suppr超能文献

嗜盐菌质粒pNRC100中的向右气体囊泡操纵子:利用抗体探针鉴定gvpA和gvpC基因产物以及对gvpC下游区域进行遗传分析

The rightward gas vesicle operon in Halobacterium plasmid pNRC100: identification of the gvpA and gvpC gene products by use of antibody probes and genetic analysis of the region downstream of gvpC.

作者信息

Halladay J T, Jones J G, Lin F, MacDonald A B, DasSarma S

机构信息

Department of Microbiology, University of Massachusetts, Amherst 01003.

出版信息

J Bacteriol. 1993 Feb;175(3):684-92. doi: 10.1128/jb.175.3.684-692.1993.

Abstract

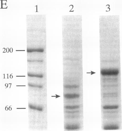
The extreme halophile Halobacterium halobium synthesizes intracellular gas-filled vesicles that confer buoyancy. A cluster of 13 genes on the 200-kb endogenous plasmid pNRC100 has been implicated in the biosynthesis of gas vesicles. Here, we show that two gas vesicle proteins are encoded by genes in the rightward operon, gvpA and gvpC, by Western blotting (immunoblotting) analysis with antibodies directed against LacZ-GvpA and LacZ-GvpC fusion proteins. Our results are consistent with previous data showing that the gvpA gene product is the major gas vesicle protein and demonstrate for the first time that the gvpC gene product is also present in H. halobium gas vesicles. Northern (RNA) blotting analysis showed two RNA species, an abundant 0.35-kb transcript of gvpA and a minor 2.5-kb transcript of gvpAC, and a third gene 3' to gvpAC, named gvpN. The gvpN gene encodes a hypothetical acidic protein with a molecular weight of 39,000 and a nucleotide binding motif. We used a site-directed mutagenesis method involving double recombination in Escherichia coli to insert a kanamycin resistance cassette just beyond the stop codon of gvpN. Introduction of the mutated gene cluster into an H. halobium mutant with a deletion of the entire gas vesicle gene cluster resulted in gas vesicle-positive transformants; this result suggests that gvpN is the last gene of the rightward gas vesicle transcription unit. We discuss the design and utility of the kanamycin resistance cassette for the mutagenesis of other genes in large operons.

摘要

嗜盐极端微生物盐生盐杆菌合成赋予浮力的细胞内充气囊泡。200 kb的内源质粒pNRC100上的13个基因簇与气荚膜的生物合成有关。在这里,我们通过用针对LacZ - GvpA和LacZ - GvpC融合蛋白的抗体进行蛋白质免疫印迹分析表明,两个气荚膜蛋白由右向操纵子中的基因gvpA和gvpC编码。我们的结果与先前的数据一致,先前数据表明gvpA基因产物是主要的气荚膜蛋白,并且首次证明gvpC基因产物也存在于盐生盐杆菌的气荚膜中。Northern(RNA)印迹分析显示两种RNA种类,一种丰富的0.35 kb的gvpA转录本和一种较少的2.5 kb的gvpAC转录本,以及位于gvpAC 3'端的第三个基因gvpN。gvpN基因编码一种假设的酸性蛋白,分子量为39,000,具有核苷酸结合基序。我们使用了一种涉及大肠杆菌中双重组的定点诱变方法,在gvpN的终止密码子之后插入一个卡那霉素抗性盒。将突变的基因簇导入缺失整个气荚膜基因簇的盐生盐杆菌突变体中,产生了气荚膜阳性转化体;这一结果表明gvpN是右向气荚膜转录单元的最后一个基因。我们讨论了卡那霉素抗性盒在大操纵子中其他基因诱变中的设计和用途。

https://cdn.ncbi.nlm.nih.gov/pmc/blobs/0e4b/196206/cd110749d350/jbacter00045-0119-a.jpg

文献AI研究员

20分钟写一篇综述,助力文献阅读效率提升50倍。

立即体验

用中文搜PubMed

大模型驱动的PubMed中文搜索引擎

马上搜索

文档翻译

学术文献翻译模型,支持多种主流文档格式。

立即体验