Tufro-McReddie A, Harrison J K, Everett A D, Gomez R A
Department of Pediatrics, University of Virginia School of Medicine, Charlottesville 22908.
J Clin Invest. 1993 Feb;91(2):530-7. doi: 10.1172/JCI116232.
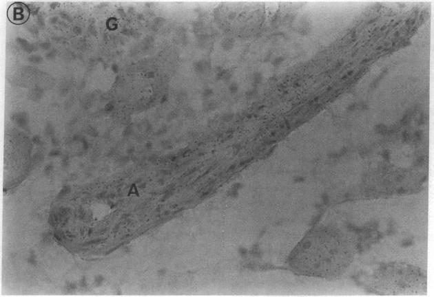
To determine whether the expression of the type 1 angiotensin II receptor (AT1) gene is developmentally regulated and whether the regulation is tissue specific, AT1 mRNA levels were determined by Northern blot analysis in livers and kidneys from fetal, newborn, and adult rats, using a 1133-bp rat AT1 cDNA. In the liver, AT1 mRNA levels increased fivefold from 15 d gestation to 5 d of age. Liver AT1 mRNA levels at 5 d of age were similar to those of adult rats. In the kidney, AT1 mRNA levels were higher in immature than in adult animals. The intrarenal distribution of AT1 mRNA was assessed by in situ hybridization to a 35S-labeled 24 residues oligonucleotide complementary to rat AT1 mRNA. In the adult, AT1 mRNA was present in glomeruli, arteries, and vasa recta, whereas in the newborn AT1 mRNA was observed also over the nephrogenic area of the cortex. We conclude that: (a) fetal kidney and liver express the AT1 gene; (b) the AT1 gene expression is developmentally regulated in a tissue-specific manner; (c) during maturation, localization of AT1 mRNA in the kidney shifts from a widespread distribution in the nephrogenic cortex to specific sites in glomeruli, arteries, and vasa recta, suggesting a role for the angiotensin receptor in nephron growth and development.
为了确定1型血管紧张素II受体(AT1)基因的表达是否受发育调控以及这种调控是否具有组织特异性,我们使用1133 bp的大鼠AT1 cDNA,通过Northern印迹分析测定了胎儿、新生和成年大鼠肝脏和肾脏中AT1 mRNA的水平。在肝脏中,AT1 mRNA水平从妊娠15天到出生后5天增加了五倍。出生后5天肝脏中的AT1 mRNA水平与成年大鼠相似。在肾脏中,未成熟动物的AT1 mRNA水平高于成年动物。通过原位杂交法,用与大鼠AT1 mRNA互补的35S标记的24个残基寡核苷酸评估了AT1 mRNA在肾脏内的分布。在成年大鼠中,AT1 mRNA存在于肾小球、动脉和直小血管中,而在新生大鼠中,在皮质的肾发生区也观察到了AT1 mRNA。我们得出以下结论:(a)胎儿的肾脏和肝脏表达AT1基因;(b)AT1基因的表达以组织特异性方式受发育调控;(c)在成熟过程中,AT1 mRNA在肾脏中的定位从肾发生皮质的广泛分布转变为肾小球、动脉和直小血管中的特定部位,这表明血管紧张素受体在肾单位生长和发育中起作用。