Suppr超能文献

人核不均一核糖核蛋白A1的磷酸化消除了体外链退火活性。

Phosphorylation of human hnRNP protein A1 abrogates in vitro strand annealing activity.

作者信息

Cobianchi F, Calvio C, Stoppini M, Buvoli M, Riva S

机构信息

Istituto di Genetica Biochimica ed Evoluzionistica, CNR, Pavia, Italy.

出版信息

Nucleic Acids Res. 1993 Feb 25;21(4):949-55. doi: 10.1093/nar/21.4.949.

Abstract

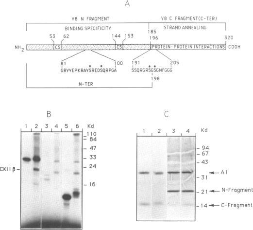
In HeLa cells metabolically labeled in vivo with [32P] orthophosphate in the presence of okadaic acid the concentration of phosphorylated A1 protein was increased significantly as compared to controls. Purified recombinant hnRNP protein A1 served as an excellent substrate in vitro for the catalytic subunit of cAMP-dependent protein kinase (PKA) and for casein kinase II (CKII). Thin layer electrophoresis of A1 acid hydrolysates showed the protein to be phosphorylated exclusively on serine residue by both kinases. V8 phosphopeptide maps revealed that the target site(s) of in vitro phosphorylation are located in the C-terminal region of A1. Phosphoamino acid sequence analysis and site directed mutagenesis identified Ser 199 as the sole phosphoamino acid in the protein phosphorylated by PKA. Phosphorylation introduced by PKA resulted in the suppression of the ability of protein A1 to promote strand annealing in vitro, without any detectable effect on its nucleic acid binding capacity. This finding indicates that phosphorylation of a single serine residue in the C-terminal domain may significantly alter the properties of protein A1.

摘要

在存在冈田酸的情况下用[32P]正磷酸盐进行体内代谢标记的HeLa细胞中,与对照相比,磷酸化A1蛋白的浓度显著增加。纯化的重组hnRNP蛋白A1在体外是依赖cAMP的蛋白激酶(PKA)的催化亚基和酪蛋白激酶II(CKII)的优良底物。A1酸水解产物的薄层电泳表明,两种激酶均仅在丝氨酸残基上使该蛋白磷酸化。V8磷酸肽图谱显示,体外磷酸化的靶位点位于A1的C末端区域。磷酸氨基酸序列分析和定点诱变确定Ser 199是PKA磷酸化的蛋白中唯一的磷酸氨基酸。PKA介导的磷酸化导致蛋白A1在体外促进链退火的能力受到抑制,而对其核酸结合能力没有任何可检测到的影响。这一发现表明,C末端结构域中单个丝氨酸残基的磷酸化可能会显著改变蛋白A1的特性。

https://cdn.ncbi.nlm.nih.gov/pmc/blobs/560f/309229/0cd9492da009/nar00053-0163-a.jpg

文献检索

告别复杂PubMed语法,用中文像聊天一样搜索,搜遍4000万医学文献。AI智能推荐,让科研检索更轻松。

立即免费搜索

文件翻译

保留排版,准确专业,支持PDF/Word/PPT等文件格式,支持 12+语言互译。

免费翻译文档

深度研究

AI帮你快速写综述,25分钟生成高质量综述,智能提取关键信息,辅助科研写作。

立即免费体验