Suppr超能文献

回肠造口息肉、腺瘤和腺癌。

Ileostomy polyps, adenomas, and adenocarcinomas.

作者信息

Attanoos R, Billings P J, Hughes L E, Williams G T

机构信息

Department of Pathology, University of Wales, College of Medicine, Cardiff.

出版信息

Gut. 1995 Dec;37(6):840-4. doi: 10.1136/gut.37.6.840.

Abstract

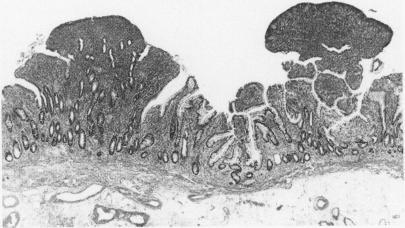
Ileostomy polyps are uncommon and poorly described. The aim of this study was to undertake a retrospective clinicopathological review of ileostomy polyps. Seven patients with 60 polyps arising on ileostomies performed for ulcerative colitis were studied. The histopathological evaluation of archival ileostomy biopsy specimens, polypectomy or excision specimens, and clinical review of patient records was undertaken. Fifty of 60 polyps were inflammatory cap polyps and six further polyps were composed of granulation tissue only. They occurred anywhere on the stoma at any time after ileostomy construction and were strongly associated with overt stomal prolapse. Four neoplastic polyps were identified in two patients 27-36 years after ileostomy construction; all occurred at the mucocutaneous junction. One patient presented with a 2 cm polypoid invasive adenocarcinoma while in the second a 1.7 cm polypoid mucinous adenocarcinoma and a 0.7 cm ileal tubular adenoma with high grade dysplasia occurred at the site of excision of a cap polyp showing focal low grade adenomatous dysplasia six years previously. Neoplastic and non-neoplastic polyps could not be differentiated clinically. It was found that most ileostomy polyps are inflammatory cap polyps associated with stomal prolapse. Less common are polypoid adenomas or adenocarcinomas arising at the mucocutaneous anastomosis > 20 years after ileostomy construction. To prevent ileostomy carcinoma it is recommended that a biopsy of all polyps at the mucocutaneous anastomosis and of any non-prolapse associated polyps elsewhere on the stoma occurring > 15 years after ileostomy construction is done.

摘要

回肠造口息肉并不常见,且相关描述较少。本研究的目的是对回肠造口息肉进行回顾性临床病理分析。我们研究了7例因溃疡性结肠炎行回肠造口术且出现60个息肉的患者。对存档的回肠造口活检标本、息肉切除术或切除标本进行了组织病理学评估,并对患者记录进行了临床回顾。60个息肉中有50个为炎性帽状息肉,另外6个息肉仅由肉芽组织构成。它们在回肠造口术后的任何时间出现在造口的任何部位,且与明显的造口脱垂密切相关。在回肠造口术后27 - 36年,在2例患者中发现了4个肿瘤性息肉;所有息肉均发生在黏膜皮肤交界处。1例患者出现了一个2 cm的息肉样浸润性腺癌,而在另1例患者中,在6年前切除的一个显示局灶性低级别腺瘤样发育异常的帽状息肉部位,出现了一个1.7 cm的息肉样黏液腺癌和一个0.7 cm的伴有高级别发育异常的回肠管状腺瘤。肿瘤性息肉和非肿瘤性息肉在临床上无法区分。研究发现,大多数回肠造口息肉是与造口脱垂相关的炎性帽状息肉。较少见的是在回肠造口术后20多年在黏膜皮肤吻合处出现的息肉样腺瘤或腺癌。为预防回肠造口癌,建议对回肠造口术后15年以上在黏膜皮肤吻合处的所有息肉以及造口其他部位任何与脱垂无关的息肉进行活检。

https://cdn.ncbi.nlm.nih.gov/pmc/blobs/2c05/1382950/57ee9c9e6a34/gut00531-0118-a.jpg

文献检索

告别复杂PubMed语法,用中文像聊天一样搜索,搜遍4000万医学文献。AI智能推荐,让科研检索更轻松。

立即免费搜索

文件翻译

保留排版,准确专业,支持PDF/Word/PPT等文件格式,支持 12+语言互译。

免费翻译文档

深度研究

AI帮你快速写综述,25分钟生成高质量综述,智能提取关键信息,辅助科研写作。

立即免费体验