Suppr超能文献

一只患有X连锁严重联合免疫缺陷的犬的急性单核细胞白血病。

Acute monocytic leukemia in a dog with X-linked severe combined immunodeficiency.

作者信息

Felsburg P J, Somberg R L, Krakowka G S

机构信息

Department of Clinical Studies-Philadelphia, School of Veterinary Medicine, University of Pennsylvania 19104, USA.

出版信息

Clin Diagn Lab Immunol. 1994 Jul;1(4):379-84. doi: 10.1128/cdli.1.4.379-384.1994.

Abstract

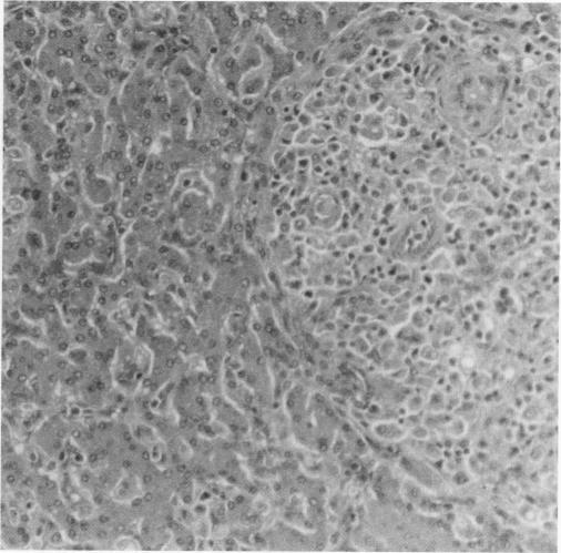
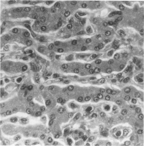
We describe the occurrence of acute monocytic leukemia in a dog with X-linked severe combined immunodeficiency (XSCID) that had been raised in a gnotobiotic environment for 20 months. This case represents the first reported instance of malignancy in canine XSCID, the first case of acute monocytic leukemia in any species with severe combined immunodeficiency, and the first documented malignancy in any species with XSCID that was not associated with immunotherapy.

摘要

我们描述了一只患有X连锁重症联合免疫缺陷(XSCID)的犬发生急性单核细胞白血病的情况,这只犬在无菌环境中饲养了20个月。该病例是犬XSCID中首次报道的恶性肿瘤实例,是任何重症联合免疫缺陷物种中的首例急性单核细胞白血病病例,也是任何XSCID物种中首例有记录的与免疫治疗无关的恶性肿瘤。

https://cdn.ncbi.nlm.nih.gov/pmc/blobs/fc29/368271/c82b461b6d03/cdli00004-0024-a.jpg

文献检索

告别复杂PubMed语法,用中文像聊天一样搜索,搜遍4000万医学文献。AI智能推荐,让科研检索更轻松。

立即免费搜索

文件翻译

保留排版,准确专业,支持PDF/Word/PPT等文件格式,支持 12+语言互译。

免费翻译文档

深度研究

AI帮你快速写综述,25分钟生成高质量综述,智能提取关键信息,辅助科研写作。

立即免费体验