• 文献检索
  • 文档翻译
  • 深度研究
  • 学术资讯
  • Suppr Zotero 插件Zotero 插件
  • 邀请有礼
  • 套餐&价格
  • 历史记录
应用&插件
Suppr Zotero 插件Zotero 插件浏览器插件Mac 客户端Windows 客户端微信小程序
定价
高级版会员购买积分包购买API积分包
服务
文献检索文档翻译深度研究API 文档MCP 服务
关于我们
关于 Suppr公司介绍联系我们用户协议隐私条款
关注我们

Suppr 超能文献

核心技术专利:CN118964589B侵权必究
粤ICP备2023148730 号-1Suppr @ 2026

文献检索

告别复杂PubMed语法,用中文像聊天一样搜索,搜遍4000万医学文献。AI智能推荐,让科研检索更轻松。

立即免费搜索

文件翻译

保留排版,准确专业,支持PDF/Word/PPT等文件格式,支持 12+语言互译。

免费翻译文档

深度研究

AI帮你快速写综述,25分钟生成高质量综述,智能提取关键信息,辅助科研写作。

立即免费体验

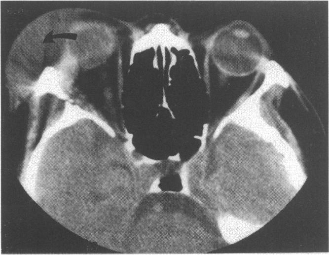
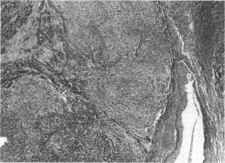
Orbital coccidioidomyosis presenting as a lacrimal gland fossa mass.

作者信息

Jou J R, Patel S, Yo C, Sadun A A, Jou J R

出版信息

Br J Ophthalmol. 1995 Dec;79(12):1145-6. doi: 10.1136/bjo.79.12.1145.

DOI:10.1136/bjo.79.12.1145
PMID:8562559
原文链接:https://pmc.ncbi.nlm.nih.gov/articles/PMC505364/
Abstract
摘要
https://cdn.ncbi.nlm.nih.gov/pmc/blobs/65a1/505364/a9c8c6f51008/brjopthal00024-0084-c.jpg
https://cdn.ncbi.nlm.nih.gov/pmc/blobs/65a1/505364/e4d4f9a7d5bd/brjopthal00024-0083-a.jpg
https://cdn.ncbi.nlm.nih.gov/pmc/blobs/65a1/505364/0103e001d9bc/brjopthal00024-0083-b.jpg
https://cdn.ncbi.nlm.nih.gov/pmc/blobs/65a1/505364/04ca2a542da0/brjopthal00024-0084-a.jpg
https://cdn.ncbi.nlm.nih.gov/pmc/blobs/65a1/505364/af048a1af360/brjopthal00024-0084-b.jpg
https://cdn.ncbi.nlm.nih.gov/pmc/blobs/65a1/505364/a9c8c6f51008/brjopthal00024-0084-c.jpg
https://cdn.ncbi.nlm.nih.gov/pmc/blobs/65a1/505364/e4d4f9a7d5bd/brjopthal00024-0083-a.jpg
https://cdn.ncbi.nlm.nih.gov/pmc/blobs/65a1/505364/0103e001d9bc/brjopthal00024-0083-b.jpg
https://cdn.ncbi.nlm.nih.gov/pmc/blobs/65a1/505364/04ca2a542da0/brjopthal00024-0084-a.jpg
https://cdn.ncbi.nlm.nih.gov/pmc/blobs/65a1/505364/af048a1af360/brjopthal00024-0084-b.jpg
https://cdn.ncbi.nlm.nih.gov/pmc/blobs/65a1/505364/a9c8c6f51008/brjopthal00024-0084-c.jpg

相似文献

1
Orbital coccidioidomyosis presenting as a lacrimal gland fossa mass.表现为泪腺窝肿块的眼眶球孢子菌病
Br J Ophthalmol. 1995 Dec;79(12):1145-6. doi: 10.1136/bjo.79.12.1145.
2
Calcified orbital cyst simulating a malignant lacrimal gland tumor in an adult.
Ophthalmic Plast Reconstr Surg. 2004 Sep;20(5):397-9. doi: 10.1097/01.iop.0000139527.83345.64.
3
Primary localized orbital amyloidosis.原发性局限性眼眶淀粉样变性。
Ann Ophthalmol. 1986 May;18(5):165-7.
4
Subconjunctival prolapse of the palpebral lobe of the lacrimal gland occurring in association with occult orbital fat herniation.泪腺睑叶结膜下脱垂伴隐匿性眶脂肪疝出。
Orbit. 2009;28(6):430-2. doi: 10.3109/01676830903177435.
5
Computerized tomographic (CT) scanning in orbital disease.眼眶疾病的计算机断层扫描(CT)
Conn Med. 1983 Jun;47(6):326-9.
6
CT of the inferomedial orbit and the lacrimal drainage apparatus: normal and pathologic anatomy.眼眶内下侧及泪道引流装置的CT:正常及病理解剖
AJR Am J Roentgenol. 1985 Dec;145(6):1147-54. doi: 10.2214/ajr.145.6.1147.
7
Orbital sinus histiocytosis (Rosai-Dorfman disease): a lacrimal gland involvement.眼眶窦组织细胞增多症(罗萨伊-多夫曼病):累及泪腺。
Ophthalmologica. 2002 Jul-Aug;216(4):277-80. doi: 10.1159/000063842.
8
Mucosal cyst of lacrimal gland fossa simulating lacrimal gland neoplasm.泪腺窝黏膜囊肿误诊为泪腺肿瘤
Can J Ophthalmol. 1980 Apr;15(2):87-90.
9
Computerized tomography in orbital lesions.眼眶病变的计算机断层扫描
J R Soc Med. 1980 Apr;73(4):279-83. doi: 10.1177/014107688007300412.
10
Orbital epithelial cyst derived from the lacrimal sac.源自泪囊的眼眶上皮囊肿。
Ophthalmologica. 2001 Jul-Aug;215(4):318-20. doi: 10.1159/000050881.

引用本文的文献

1
Clinical Cases of Coccidioidomycosis in the Americas in the Period 1950-2021: Epidemiology Data, Diagnosis, and Treatment.1950 - 2021年美洲球孢子菌病临床病例:流行病学数据、诊断与治疗
Life (Basel). 2023 Oct 24;13(11):2109. doi: 10.3390/life13112109.

本文引用的文献

1
[Giant orbital cystic teratoma with dental inclusion].[伴有牙内陷的巨大眼眶囊性畸胎瘤]
Arch Ophtalmol Rev Gen Ophtalmol. 1961 Oct-Nov;21:675-85.
2
Orbital germ cell tumors revisited: a clinicopathological approach to classification.眼眶生殖细胞肿瘤再探讨:一种基于临床病理的分类方法
Surv Ophthalmol. 1994 May-Jun;38(6):541-54. doi: 10.1016/0039-6257(94)90147-3.
3
Congenital orbital teratoma: report of a case with visual preservation.
J Pediatr Ophthalmol Strabismus. 1980 Mar-Apr;17(2):88-95. doi: 10.3928/0191-3913-19800301-07.
4
Orbital abscess. Presentation, diagnosis, therapy, and sequelae.眼眶脓肿。临床表现、诊断、治疗及后遗症。
Ophthalmology. 1982 May;89(5):492-8. doi: 10.1016/s0161-6420(82)34763-6.
5
Ocular coccidioidomycosis.
Surv Ophthalmol. 1980 Mar-Apr;24(5):263-90. doi: 10.1016/0039-6257(80)90056-9.
6
Lacrimal gland and fossa masses: evaluation by computed tomography and A-mode echography.泪腺及泪腺窝肿物:计算机断层扫描和A型超声检查评估
Radiology. 1983 Dec;149(3):751-8. doi: 10.1148/radiology.149.3.6647851.
7
Combined clinical and computed tomographic diagnosis of primary lacrimal fossa lesions.原发性泪囊窝病变的临床与计算机断层扫描联合诊断
Am J Ophthalmol. 1982 Dec;94(6):785-807. doi: 10.1016/0002-9394(82)90304-x.
8
Congenital orbital teratoma: a review and report of two cases.
Surv Ophthalmol. 1985 Jul-Aug;30(1):41-6. doi: 10.1016/0039-6257(85)90087-6.
9
Clinicopathologic review of 142 cases of lacrimal gland lesions.142例泪腺病变的临床病理回顾
Ophthalmology. 1989 Apr;96(4):431-5. doi: 10.1016/s0161-6420(89)32873-9.
10
Lacrimal gland and fossa lesions: an approach to diagnosis and management.
Ophthalmology. 1979 May;86(5):886-95. doi: 10.1016/s0161-6420(79)35467-7.