Suppr超能文献

鼠伤寒沙门氏菌孔蛋白刺激的人单核细胞中白细胞介素-1和白细胞介素-6基因表达

Interleukin-1 and interleukin-6 gene expression in human monocytes stimulated with Salmonella typhimurium porins.

作者信息

Galdiero M, Cipollaro de L'ero G, Donnarumma G, Marcatili A, Galdiero F

机构信息

Department of Pathology, Prophylaxis and Food Care, Frederick II Naples University, School of Veterinary Medicine, Italy.

出版信息

Immunology. 1995 Dec;86(4):612-9.

Abstract

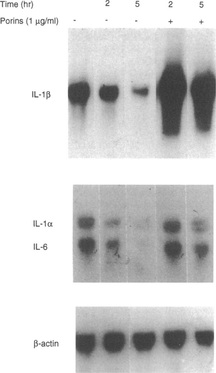
The aim of this study was to verify whether Salmonella typhimurium porins can affect the expression of interleukin-1 (IL-1) and interleukin-6 (IL-6) genes. Human monocytes were treated with porins, and total RNAs were analysed by Northern blotting to evaluate the expression of IL-1 alpha, IL-1 beta and IL-6 in both treated and untreated cell cultures. Porins induced a significant increase in IL-1 and IL-6 transcripts. This increase was related to the dose of porins, and it peaked 5 hr after treatment. The same results were obtained when polymyxin B was added to the porin preparation to eliminate eventual traces of lipopolysaccharide (LPS) associated with porins. The porins-mediated increase in interleukin transcripts did not require de novo protein synthesis, and it was because of the enhanced half-life of IL-1 and IL-6 mRNAs, rather an increased rate of gene transcription. These data suggest that porins may affect inflammatory and immunological responses by enhancing the expression of cytokine genes.

摘要

本研究的目的是验证鼠伤寒沙门氏菌孔蛋白是否会影响白细胞介素-1(IL-1)和白细胞介素-6(IL-6)基因的表达。用人单核细胞与孔蛋白进行处理,通过Northern印迹法分析总RNA,以评估经处理和未经处理的细胞培养物中IL-1α、IL-1β和IL-6的表达。孔蛋白诱导IL-1和IL-6转录物显著增加。这种增加与孔蛋白的剂量有关,且在处理后5小时达到峰值。当在孔蛋白制剂中加入多粘菌素B以消除与孔蛋白相关的最终痕量脂多糖(LPS)时,也得到了相同的结果。孔蛋白介导的白细胞介素转录物增加不需要从头合成蛋白质,这是由于IL-1和IL-6 mRNA的半衰期延长,而不是基因转录速率增加。这些数据表明,孔蛋白可能通过增强细胞因子基因的表达来影响炎症和免疫反应。

https://cdn.ncbi.nlm.nih.gov/pmc/blobs/5ff3/1384063/d39ed5845d33/immunology00065-0121-a.jpg

文献检索

告别复杂PubMed语法,用中文像聊天一样搜索,搜遍4000万医学文献。AI智能推荐,让科研检索更轻松。

立即免费搜索

文件翻译

保留排版,准确专业,支持PDF/Word/PPT等文件格式,支持 12+语言互译。

免费翻译文档

深度研究

AI帮你快速写综述,25分钟生成高质量综述,智能提取关键信息,辅助科研写作。

立即免费体验