• 文献检索
  • 文档翻译
  • 深度研究
  • 学术资讯
  • Suppr Zotero 插件Zotero 插件
  • 邀请有礼
  • 套餐&价格
  • 历史记录
应用&插件
Suppr Zotero 插件Zotero 插件浏览器插件Mac 客户端Windows 客户端微信小程序
定价
高级版会员购买积分包购买API积分包
服务
文献检索文档翻译深度研究API 文档MCP 服务
关于我们
关于 Suppr公司介绍联系我们用户协议隐私条款
关注我们

Suppr 超能文献

核心技术专利:CN118964589B侵权必究
粤ICP备2023148730 号-1Suppr @ 2026

文献检索

告别复杂PubMed语法,用中文像聊天一样搜索,搜遍4000万医学文献。AI智能推荐,让科研检索更轻松。

立即免费搜索

文件翻译

保留排版,准确专业,支持PDF/Word/PPT等文件格式,支持 12+语言互译。

免费翻译文档

深度研究

AI帮你快速写综述,25分钟生成高质量综述,智能提取关键信息,辅助科研写作。

立即免费体验

通过共表达病毒包膜蛋白基因实现冠状病毒样颗粒的非核衣壳依赖性组装。

Nucleocapsid-independent assembly of coronavirus-like particles by co-expression of viral envelope protein genes.

作者信息

Vennema H, Godeke G J, Rossen J W, Voorhout W F, Horzinek M C, Opstelten D J, Rottier P J

机构信息

Department of Functional Morphology, Faculty of Veterinary Medicine, Utrecht University, The Netherlands.

出版信息

EMBO J. 1996 Apr 15;15(8):2020-8. doi: 10.1002/j.1460-2075.1996.tb00553.x.

DOI:10.1002/j.1460-2075.1996.tb00553.x
PMID:8617249
原文链接:https://pmc.ncbi.nlm.nih.gov/articles/PMC450121/
Abstract

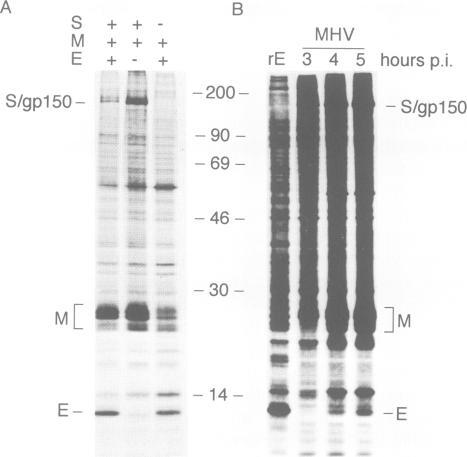
Budding of enveloped viruses has been shown to be driven by interactions between a nucleocapsid and a proteolipid membrane. By contrast, we here describe the assembly of viral envelopes independent of a nucleocapsid. Membrane particles containing coronaviral envelope proteins were assembled in and released from animal cells co-expressing these proteins' genes from transfected plasmids. Of the three viral membrane proteins only two were required for particle formation, the membrane glycoprotein (M) and the small envelope protein (E). The spike (S) protein was dispensable but was incorporated when present. Importantly, the nucleocapsid protein (N) was neither required not taken into the particles when present. The E protein, recently recognized to be a structural protein, was shown to be an integral membrane protein. The envelope vesicles were found by immunogold labelling and electron microscopy to form a homogeneous population of spherical particles indistinguishable from authentic coronavirions in size (approximately 100 nm in diameter) and shape. They were less dense than virions and sedimented slightly slower than virions in sucrose velocity gradients. The nucleocapsid-independent formation of apparently bona fide viral envelopes represents a novel mode of virus assembly.

摘要

有包膜病毒的出芽已被证明是由核衣壳与蛋白脂质膜之间的相互作用驱动的。相比之下,我们在此描述了独立于核衣壳的病毒包膜组装过程。含有冠状病毒包膜蛋白的膜颗粒在共表达转染质粒中这些蛋白基因的动物细胞内组装并释放。在三种病毒膜蛋白中,只有两种是颗粒形成所必需的,即膜糖蛋白(M)和小包膜蛋白(E)。刺突(S)蛋白并非必需,但存在时会被整合进去。重要的是,核衣壳蛋白(N)既不是必需的,存在时也不会被纳入颗粒中。最近被确认为结构蛋白的E蛋白被证明是一种整合膜蛋白。通过免疫金标记和电子显微镜发现,包膜囊泡形成了一群均匀的球形颗粒,其大小(直径约100nm)和形状与真正的冠状病毒难以区分。它们的密度比病毒粒子低,在蔗糖速度梯度中的沉降速度比病毒粒子稍慢。明显真实的病毒包膜的核衣壳非依赖性形成代表了一种新的病毒组装模式。

https://cdn.ncbi.nlm.nih.gov/pmc/blobs/768a/450121/f00bbec6c21c/emboj00008-0275-b.jpg
https://cdn.ncbi.nlm.nih.gov/pmc/blobs/768a/450121/d414074bfc92/emboj00008-0271-a.jpg
https://cdn.ncbi.nlm.nih.gov/pmc/blobs/768a/450121/5a866a4be906/emboj00008-0272-a.jpg
https://cdn.ncbi.nlm.nih.gov/pmc/blobs/768a/450121/db3c381f0810/emboj00008-0272-b.jpg
https://cdn.ncbi.nlm.nih.gov/pmc/blobs/768a/450121/1ef8f6ad6b9a/emboj00008-0273-a.jpg
https://cdn.ncbi.nlm.nih.gov/pmc/blobs/768a/450121/a285d36edb20/emboj00008-0274-a.jpg
https://cdn.ncbi.nlm.nih.gov/pmc/blobs/768a/450121/8b5fec778534/emboj00008-0275-a.jpg
https://cdn.ncbi.nlm.nih.gov/pmc/blobs/768a/450121/f00bbec6c21c/emboj00008-0275-b.jpg
https://cdn.ncbi.nlm.nih.gov/pmc/blobs/768a/450121/d414074bfc92/emboj00008-0271-a.jpg
https://cdn.ncbi.nlm.nih.gov/pmc/blobs/768a/450121/5a866a4be906/emboj00008-0272-a.jpg
https://cdn.ncbi.nlm.nih.gov/pmc/blobs/768a/450121/db3c381f0810/emboj00008-0272-b.jpg
https://cdn.ncbi.nlm.nih.gov/pmc/blobs/768a/450121/1ef8f6ad6b9a/emboj00008-0273-a.jpg
https://cdn.ncbi.nlm.nih.gov/pmc/blobs/768a/450121/a285d36edb20/emboj00008-0274-a.jpg
https://cdn.ncbi.nlm.nih.gov/pmc/blobs/768a/450121/8b5fec778534/emboj00008-0275-a.jpg
https://cdn.ncbi.nlm.nih.gov/pmc/blobs/768a/450121/f00bbec6c21c/emboj00008-0275-b.jpg

相似文献

1
Nucleocapsid-independent assembly of coronavirus-like particles by co-expression of viral envelope protein genes.通过共表达病毒包膜蛋白基因实现冠状病毒样颗粒的非核衣壳依赖性组装。
EMBO J. 1996 Apr 15;15(8):2020-8. doi: 10.1002/j.1460-2075.1996.tb00553.x.
2
Coronavirus spike glycoprotein, extended at the carboxy terminus with green fluorescent protein, is assembly competent.冠状病毒刺突糖蛋白,在羧基末端与绿色荧光蛋白相连,具有组装能力。
J Virol. 2004 Jul;78(14):7369-78. doi: 10.1128/JVI.78.14.7369-7378.2004.
3
Characterization of the coronavirus M protein and nucleocapsid interaction in infected cells.冠状病毒M蛋白与感染细胞内核衣壳相互作用的表征
J Virol. 2000 Sep;74(17):8127-34. doi: 10.1128/jvi.74.17.8127-8134.2000.
4
Coronavirus envelope assembly is sensitive to changes in the terminal regions of the viral M protein.
Adv Exp Med Biol. 1998;440:367-75. doi: 10.1007/978-1-4615-5331-1_48.
5
Inefficient infection of soluble receptor-resistant mutants of murine coronavirus in cells expressing MHVR2 receptor.鼠冠状病毒可溶性受体抗性突变体在表达MHVR2受体的细胞中的低效感染。
Adv Exp Med Biol. 2001;494:233-6. doi: 10.1007/978-1-4615-1325-4_37.
6
Spike protein-nucleocapsid interactions drive the budding of alphaviruses.刺突蛋白与核衣壳的相互作用驱动甲病毒出芽。
J Virol. 1992 Aug;66(8):4737-47. doi: 10.1128/JVI.66.8.4737-4747.1992.
7
Genetic evidence for a structural interaction between the carboxy termini of the membrane and nucleocapsid proteins of mouse hepatitis virus.小鼠肝炎病毒膜蛋白和核衣壳蛋白羧基末端之间存在结构相互作用的遗传学证据。
J Virol. 2002 May;76(10):4987-99. doi: 10.1128/jvi.76.10.4987-4999.2002.
8
Receptor specificity and receptor-induced conformational changes in mouse hepatitis virus spike glycoprotein.小鼠肝炎病毒刺突糖蛋白的受体特异性及受体诱导的构象变化
Adv Exp Med Biol. 2001;494:173-81. doi: 10.1007/978-1-4615-1325-4_29.
9
Spike protein assembly into the coronavirion: exploring the limits of its sequence requirements.刺突蛋白组装进入冠状病毒颗粒:探索其序列要求的极限
Virology. 2005 Apr 10;334(2):306-18. doi: 10.1016/j.virol.2005.02.001.
10
Genetic analysis of determinants for spike glycoprotein assembly into murine coronavirus virions: distinct roles for charge-rich and cysteine-rich regions of the endodomain.刺突糖蛋白组装成鼠冠状病毒病毒粒子的决定因素的遗传分析:内结构域富含电荷区域和富含半胱氨酸区域的不同作用。
J Virol. 2004 Sep;78(18):9904-17. doi: 10.1128/JVI.78.18.9904-9917.2004.

引用本文的文献

1
Detection of Feline Coronavirus Membrane Gene Based on Conventional Revere Transcription-Polymerase Chain Reaction, Nested Reverse Transcription-Polymerase Chain Reaction, and Reverse Transcription-Quantitative Polymerase Chain Reaction: A Comparative Study.基于常规逆转录-聚合酶链反应、巢式逆转录-聚合酶链反应和逆转录定量聚合酶链反应检测猫冠状病毒膜基因:一项比较研究
Int J Mol Sci. 2025 Jul 17;26(14):6861. doi: 10.3390/ijms26146861.
2
Deciphering Viral Replication Dynamics in Feline Infectious Peritonitis: A Quantitative Approach.解析猫传染性腹膜炎中的病毒复制动态:一种定量方法。
Viruses. 2025 Feb 18;17(2):279. doi: 10.3390/v17020279.
3

本文引用的文献

1
Coronavirus defective-interfering RNA as an expression vector: the generation of a pseudorecombinant mouse hepatitis virus expressing hemagglutinin-esterase.冠状病毒缺陷干扰RNA作为表达载体:表达血凝素酯酶的假重组小鼠肝炎病毒的产生
Virology. 1995 Apr 1;208(1):319-27. doi: 10.1006/viro.1995.1155.
2
Regulation of the late events in flavivirus protein processing and maturation.黄病毒蛋白加工与成熟后期事件的调控。
Virology. 1993 Jan;192(1):38-51. doi: 10.1006/viro.1993.1006.
3
Characterization of the budding compartment of mouse hepatitis virus: evidence that transport from the RER to the Golgi complex requires only one vesicular transport step.
SARS-CoV-2 Omicron variations reveal mechanisms controlling cell entry dynamics and antibody neutralization.
严重急性呼吸综合征冠状病毒2(SARS-CoV-2)奥密克戎变体揭示了控制细胞进入动态和抗体中和的机制。
PLoS Pathog. 2024 Dec 2;20(12):e1012757. doi: 10.1371/journal.ppat.1012757. eCollection 2024 Dec.
4
Unraveling the assembly mechanism of SADS-CoV virus nucleocapsid protein: insights from RNA binding, dimerization, and epitope diversity profiling.解析 SADS-CoV 病毒核衣壳蛋白的组装机制:来自 RNA 结合、二聚化和表位多样性分析的见解。
J Virol. 2024 Aug 20;98(8):e0092624. doi: 10.1128/jvi.00926-24. Epub 2024 Jul 31.
5
Adaptive truncation of the S gene in IBV during chicken embryo passaging plays a crucial role in its attenuation.鸡胚传代过程中 IBV S 基因的适应性截断在其衰减中起着关键作用。
PLoS Pathog. 2024 Jul 30;20(7):e1012415. doi: 10.1371/journal.ppat.1012415. eCollection 2024 Jul.
6
Humoral Immune Response in Immunized Sheep with Bovine Coronavirus Glycoproteins Delivered via an Adenoviral Vector.通过腺病毒载体递送牛冠状病毒糖蛋白免疫绵羊后的体液免疫反应
Pathogens. 2024 Jun 21;13(7):523. doi: 10.3390/pathogens13070523.
7
Porcine Epidemic Diarrhea: Insights and Progress on Vaccines.猪流行性腹泻:疫苗的见解与进展
Vaccines (Basel). 2024 Feb 18;12(2):212. doi: 10.3390/vaccines12020212.
8
The KxGxYR and DxE motifs in the C-tail of the Middle East respiratory syndrome coronavirus membrane protein are crucial for infectious virus assembly.中东呼吸综合征冠状病毒膜蛋白 C 端的 KxGxYR 和 DxE 基序对于感染性病毒组装至关重要。
Cell Mol Life Sci. 2023 Nov 9;80(12):353. doi: 10.1007/s00018-023-05008-y.
9
Extracellular Vesicles as a Translational Approach for the Treatment of COVID-19 Disease: An Updated Overview.细胞外囊泡作为治疗 COVID-19 疾病的转化方法:最新综述。
Viruses. 2023 Sep 22;15(10):1976. doi: 10.3390/v15101976.
10
The Interaction of the Transmembrane Domain of SARS-CoV-2 E-Protein with Glycyrrhizic Acid in Lipid Bilayer.严重急性呼吸综合征冠状病毒2型E蛋白跨膜结构域与甘草酸在脂质双层中的相互作用
Membranes (Basel). 2023 May 10;13(5):505. doi: 10.3390/membranes13050505.
小鼠肝炎病毒出芽区室的特征:从内质网到高尔基体复合体的转运仅需一个囊泡转运步骤的证据。
J Cell Biol. 1994 Jan;124(1-2):55-70. doi: 10.1083/jcb.124.1.55.
4
Expression and characterization of virus-like particles containing rubella virus structural proteins.含有风疹病毒结构蛋白的病毒样颗粒的表达与特性分析
J Virol. 1994 Jun;68(6):4086-91. doi: 10.1128/JVI.68.6.4086-4091.1994.
5
An assembly domain of the Rous sarcoma virus Gag protein required late in budding.劳氏肉瘤病毒Gag蛋白在出芽后期所需的一个组装结构域。
J Virol. 1994 Oct;68(10):6605-18. doi: 10.1128/JVI.68.10.6605-6618.1994.
6
Coronavirus M proteins accumulate in the Golgi complex beyond the site of virion budding.冠状病毒M蛋白在病毒粒子出芽位点之外的高尔基体复合物中积累。
J Virol. 1994 Oct;68(10):6523-34. doi: 10.1128/JVI.68.10.6523-6534.1994.
7
Assembly and entry mechanisms of Semliki Forest virus.塞姆利基森林病毒的组装与进入机制
Arch Virol Suppl. 1994;9:329-38. doi: 10.1007/978-3-7091-9326-6_33.
8
Folding of the mouse hepatitis virus spike protein and its association with the membrane protein.小鼠肝炎病毒刺突蛋白的折叠及其与膜蛋白的关联。
Arch Virol Suppl. 1994;9:319-28. doi: 10.1007/978-3-7091-9326-6_32.
9
Assembly of rubella virus structural proteins into virus-like particles in transfected cells.
Virology. 1994 Aug 1;202(2):574-85. doi: 10.1006/viro.1994.1379.
10
The 6-kilodalton membrane protein of Semliki Forest virus is involved in the budding process.塞姆利基森林病毒的6千道尔顿膜蛋白参与出芽过程。
J Virol. 1995 Jan;69(1):469-75. doi: 10.1128/JVI.69.1.469-475.1995.