Suppr超能文献

单纯疱疹病毒ICP47对TAP抑制的分子机制及物种特异性

Molecular mechanism and species specificity of TAP inhibition by herpes simplex virus ICP47.

作者信息

Ahn K, Meyer T H, Uebel S, Sempé P, Djaballah H, Yang Y, Peterson P A, Früh K, Tampé R

机构信息

The R.W. Johnson Pharmaceutical Research Institute at the Scripps Research Institute, La Jolla, CA 92037, USA.

出版信息

EMBO J. 1996 Jul 1;15(13):3247-55.

Abstract

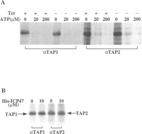
The immediate early protein ICP47 of herpes simplex virus (HSV) inhibits the transporter for antigen processing (TAP)-mediated translocation of antigen-derived peptides across the endoplasmic reticulum (ER) membrane. This interference prevents assembly of peptides with class I MHC molecules in the ER and ultimately recognition of HSV-infected cells by cytotoxic T-lymphocytes, potentially leading to immune evasion of the virus. Here, we demonstrate that recombinant, purified ICP47 containing a hexahistidine tag inhibits peptide import into microsomes of insect cells expressing human TAP, whereas inhibition of peptide transport by murine TAP was much less effective. This finding indicates an intrinsic species-specificity of ICP47 and suggests that no additional proteins interacting specifically with either ICP47 or TAP are required for inhibition of peptide transport. Since neither purified nor induced ICP47 inhibited photocrosslinking of 8-azido-ATP to TAP1 and TAP2 it seems that ICP47 does not prevent ATP from binding to TAP. By contrast, peptide binding was completely blocked by ICP47 as shown both by photoaffinity crosslinking of peptides to TAP and peptide binding to microsomes from TAP-transfected insect cells. Competition experiments indicated that ICP47 binds to human TAP with a higher affinity (50 nM) than peptides whereas the affinity to murine TAP was 100-fold lower. Our data suggest that ICP47 prevents peptides from being translocated by blocking their binding to the substrate-binding site of TAP.

摘要

单纯疱疹病毒(HSV)的即刻早期蛋白ICP47可抑制抗原加工转运体(TAP)介导的抗原衍生肽跨内质网(ER)膜的转运。这种干扰会阻止肽与内质网中的I类MHC分子组装,最终导致细胞毒性T淋巴细胞无法识别HSV感染的细胞,这可能会导致病毒的免疫逃逸。在此,我们证明含有六组氨酸标签的重组纯化ICP47可抑制肽导入表达人TAP的昆虫细胞微粒体中,而对鼠TAP介导的肽转运抑制效果则差得多。这一发现表明ICP47具有内在的物种特异性,且表明抑制肽转运不需要额外的与ICP47或TAP特异性相互作用的蛋白质。由于纯化的或诱导的ICP47均未抑制8-叠氮基-ATP与TAP1和TAP2的光交联,因此似乎ICP47不会阻止ATP与TAP结合。相比之下,如肽与TAP的光亲和交联以及肽与TAP转染昆虫细胞的微粒体结合所示,ICP47可完全阻断肽的结合。竞争实验表明,ICP47与人TAP的结合亲和力(50 nM)高于肽,而与鼠TAP的亲和力则低100倍。我们的数据表明,ICP47通过阻止肽与TAP的底物结合位点结合来防止肽的转运。

https://cdn.ncbi.nlm.nih.gov/pmc/blobs/32c5/451885/269d059f35d5/emboj00013-0042-a.jpg

文献检索

告别复杂PubMed语法,用中文像聊天一样搜索,搜遍4000万医学文献。AI智能推荐,让科研检索更轻松。

立即免费搜索

文件翻译

保留排版,准确专业,支持PDF/Word/PPT等文件格式,支持 12+语言互译。

免费翻译文档

深度研究

AI帮你快速写综述,25分钟生成高质量综述,智能提取关键信息,辅助科研写作。

立即免费体验