Michael-Titus A T, Whelpton R, Yaqub Z
Department of Pharmacology, Queen Mary and Westfield College, London, UK.
Br J Clin Pharmacol. 1995 Dec;40(6):594-7. doi: 10.1111/j.1365-2125.1995.tb05805.x.
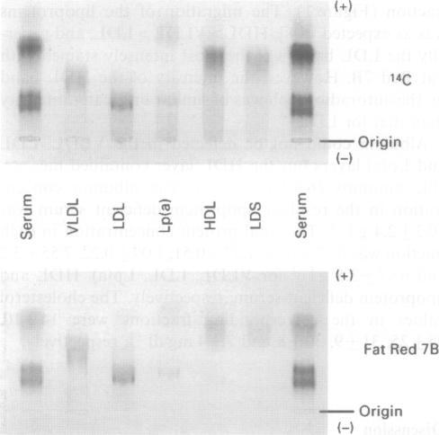
The binding of a new photosensitizer, temoporfin, to human serum lipoproteins was investigated. [14C]-Temoporfin (0.1-10 micrograms ml-1) was incubated with human serum for 30 min at room temperature or for 20 h at 4 degrees C, prior to stepwise density flotation to separate the lipoprotein fractions. The distribution of the drug was independent of the initial concentration or time and temperature of the incubation. The proportion of temoporfin in each fraction was: very low density lipoprotein 6%, low density lipoprotein 22%, lipoprotein(a) 17%, high density lipoprotein 39% and lipoprotein deficient serum 16%. Autoradiography of agarose gels showed that the drug was associated with the lipoprotein in the fractions. Fractionation of plasma samples collected from a patient after an intravenous infusion of temoporfin revealed a binding profile similar to that obtained in the in vitro study.
研究了一种新型光敏剂替莫泊芬与人血清脂蛋白的结合情况。将[¹⁴C] - 替莫泊芬(0.1 - 10微克/毫升)与人血清在室温下孵育30分钟或在4℃下孵育20小时,然后进行逐步密度浮选以分离脂蛋白组分。药物的分布与初始浓度、孵育时间和温度无关。替莫泊芬在各组分中的比例为:极低密度脂蛋白6%,低密度脂蛋白22%,脂蛋白(a) 17%,高密度脂蛋白39%,脂蛋白缺乏血清16%。琼脂糖凝胶放射自显影显示,该药物与各组分中的脂蛋白相关。对静脉输注替莫泊芬后的患者采集的血浆样本进行分级分离,结果显示其结合模式与体外研究所得相似。