Suppr超能文献

与X连锁显性遗传性腓骨肌萎缩症相关的连接蛋白32中精氨酸164位色氨酸替代

Arginine-164-tryptophan substitution in connexin32 associated with X linked dominant Charcot-Marie-Tooth disease.

作者信息

Oterino A, Montón F I, Cabrera V M, Pinto F, Gonzalez A, Lavilla N R

机构信息

Hospital Nuestra Señora La Candelaria, Santa Cruz de Tenerife, Spain.

出版信息

J Med Genet. 1996 May;33(5):413-5. doi: 10.1136/jmg.33.5.413.

Abstract

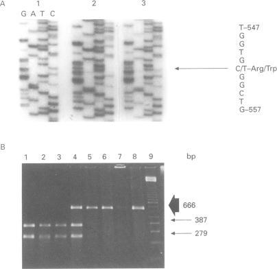
A Spanish family with X linked dominant Charcot-Marie-Tooth (CMTX1) neuropathy was screened for point mutations in the connexin32 gene (GJ beta 1). The patients showed a C-T transition at position 552 which predicts arginine to tryptophan substitution at amino acid 164 (R164K). This mutation destroys an AciI restriction site at position 552 and creates a PflMI restriction site.

摘要

对一个患有X连锁显性遗传性腓骨肌萎缩症(CMTX1)的西班牙家族进行了连接蛋白32基因(GJβ1)点突变筛查。患者在552位出现了C-T转换,预测该位点的精氨酸被色氨酸替代(R164K)。此突变破坏了552位的AciI限制性酶切位点,并产生了一个PflMI限制性酶切位点。

https://cdn.ncbi.nlm.nih.gov/pmc/blobs/394c/1050613/9cdaab3e341c/jmedgene00259-0062-a.jpg

文献检索

告别复杂PubMed语法,用中文像聊天一样搜索,搜遍4000万医学文献。AI智能推荐,让科研检索更轻松。

立即免费搜索

文件翻译

保留排版,准确专业,支持PDF/Word/PPT等文件格式,支持 12+语言互译。

免费翻译文档

深度研究

AI帮你快速写综述,25分钟生成高质量综述,智能提取关键信息,辅助科研写作。

立即免费体验