• 文献检索
  • 文档翻译
  • 深度研究
  • 学术资讯
  • Suppr Zotero 插件Zotero 插件
  • 邀请有礼
  • 套餐&价格
  • 历史记录
应用&插件
Suppr Zotero 插件Zotero 插件浏览器插件Mac 客户端Windows 客户端微信小程序
定价
高级版会员购买积分包购买API积分包
服务
文献检索文档翻译深度研究API 文档MCP 服务
关于我们
关于 Suppr公司介绍联系我们用户协议隐私条款
关注我们

Suppr 超能文献

核心技术专利:CN118964589B侵权必究
粤ICP备2023148730 号-1Suppr @ 2026

文献检索

告别复杂PubMed语法,用中文像聊天一样搜索,搜遍4000万医学文献。AI智能推荐,让科研检索更轻松。

立即免费搜索

文件翻译

保留排版,准确专业,支持PDF/Word/PPT等文件格式,支持 12+语言互译。

免费翻译文档

深度研究

AI帮你快速写综述,25分钟生成高质量综述,智能提取关键信息,辅助科研写作。

立即免费体验

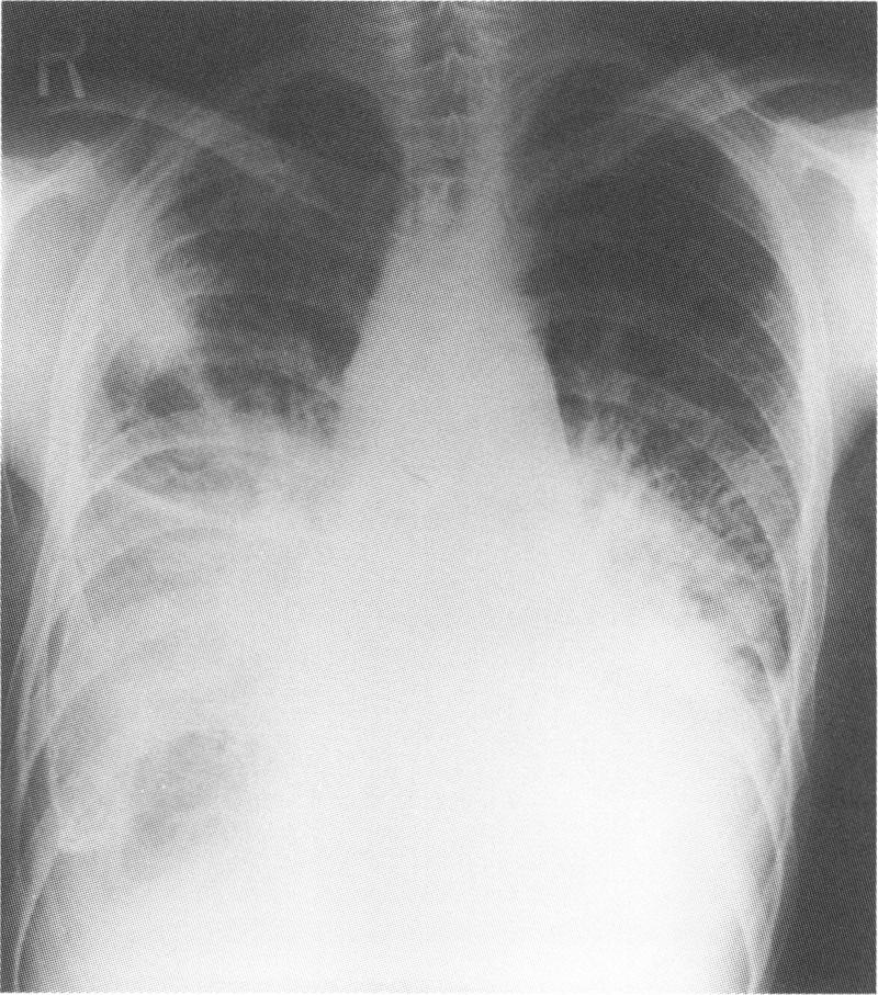
全身性淋巴管扩张症:成人的肺部表现

Generalised lymphangiectasia: pulmonary presentation in an adult.

作者信息

White J E, Veale D, Fishwick D, Mitchell L, Corris P A

出版信息

Thorax. 1996 Jul;51(7):767-8. doi: 10.1136/thx.51.7.767.

DOI:10.1136/thx.51.7.767
PMID:8882089
原文链接:https://pmc.ncbi.nlm.nih.gov/articles/PMC472505/
Abstract

A 25 year old man presented with dyspnoea and was found to have generalised, but predominantly pulmonary, lymphangiectasis without gastrointestinal symptoms. This is an unusual presentation of a disorder previously diagnosed only in childhood.

摘要

一名25岁男性因呼吸困难就诊,检查发现患有全身性淋巴管扩张症,以肺部为主,无胃肠道症状。这是一种此前仅在儿童期被诊断出的疾病的不寻常表现。

https://cdn.ncbi.nlm.nih.gov/pmc/blobs/ff86/472505/67fcb9ca8d48/thorax00326-0123-a.jpg
https://cdn.ncbi.nlm.nih.gov/pmc/blobs/ff86/472505/67fcb9ca8d48/thorax00326-0123-a.jpg
https://cdn.ncbi.nlm.nih.gov/pmc/blobs/ff86/472505/67fcb9ca8d48/thorax00326-0123-a.jpg

相似文献

1
Generalised lymphangiectasia: pulmonary presentation in an adult.全身性淋巴管扩张症:成人的肺部表现
Thorax. 1996 Jul;51(7):767-8. doi: 10.1136/thx.51.7.767.
2
Congenital pulmonary lymphangiectasia presenting as nonimmune fetal hydrops and severe respiratory distress at birth: not uniformly fatal.先天性肺淋巴管扩张症表现为非免疫性胎儿水肿及出生时严重呼吸窘迫:并非均为致命性。
Pediatr Pulmonol. 2005 Sep;40(3):270-4. doi: 10.1002/ppul.20245.
3
Pulmonary lymphangiectasia.肺淋巴管扩张症。
Lymphology. 2005 Sep;38(3):111-21.
4
Congenital pulmonary lymphangiectasia.先天性肺淋巴管扩张症
Pediatr Pulmonol. 1991;10(4):310-3. doi: 10.1002/ppul.1950100416.
5
A 34-Year-Old Man With a Chylothorax and Bony Pain.一位 34 岁男性,患有乳糜胸和骨痛。
Chest. 2020 Apr;157(4):e131-e136. doi: 10.1016/j.chest.2019.10.033.
6
[Lymphangioma and lymphangiectasia].[淋巴管瘤和淋巴管扩张症]
Rev Pneumol Clin. 2013 Oct;69(5):272-7. doi: 10.1016/j.pneumo.2013.04.002. Epub 2013 May 18.
7
Noonan Syndrome Complicated by Primary Pulmonary Lymphangiectasia.努南综合征合并原发性肺淋巴管扩张症
Neonatal Netw. 2015;34(2):117-25. doi: 10.1891/0730-0832.34.2.117.
8
Congenital pulmonary lymphangiectasia in a newborn: a response to autologous blood therapy.新生儿先天性肺淋巴管扩张症:对自体血疗法的反应
Neonatology. 2007;91(4):256-9. doi: 10.1159/000098172. Epub 2006 Dec 22.
9
Congenital pulmonary lymphangiectasis.先天性肺淋巴管扩张症
Paediatr Respir Rev. 2014 Sep;15(3):275-80. doi: 10.1016/j.prrv.2014.05.002. Epub 2014 May 29.
10
Pulmonary lymphangiectasis in an asymptomatic adult.无症状成人的肺淋巴管扩张症。
Respiration. 2006;73(1):114-6. doi: 10.1159/000088003. Epub 2005 Aug 30.

引用本文的文献

1
Primary Intestinal Lymphangiectasia (Waldmann's Disease) Presenting with Chylous Effusions in a 15-Year-Old.一名15岁患者因乳糜性积液就诊,诊断为原发性肠淋巴管扩张症(沃尔德曼病)
J Clin Diagn Res. 2017 Aug;11(8):OD17-OD18. doi: 10.7860/JCDR/2017/29055.10522. Epub 2017 Aug 1.

本文引用的文献

1
Hemihypertrophy left side of body; congenital lymphatic oedema of left arm; radiological enlargement of heart shadow.身体左侧半侧肥大;左臂先天性淋巴水肿;心脏阴影放射学增大。
Proc R Soc Med. 1955 May;48(5):330-1.
2
Congenital pulmonary cystic lymphangiectasis.
J Am Med Assoc. 1959 Oct 24;171:1094-8. doi: 10.1001/jama.1959.73010260001010.
3
Congenital pulmonary lymphangiectasis.先天性肺淋巴管扩张症。
Am J Dis Child. 1970 Oct;120(4):314-9. doi: 10.1001/archpedi.1970.02100090088006.
4
Intestinal lymphangiectasia and bilateral pleural effusions: effect of dietary therapy and surgical intervention on immunologic and pulmonary parameters.肠淋巴管扩张症与双侧胸腔积液:饮食疗法和手术干预对免疫及肺部参数的影响
J Allergy Clin Immunol. 1986 Nov;78(5 Pt 1):891-7. doi: 10.1016/0091-6749(86)90236-8.
5
Primary disorders of the lymphatic vessels--a unified concept.淋巴管原发性疾病——一个统一的概念
J Pediatr Surg. 1989 Mar;24(3):233-40. doi: 10.1016/s0022-3468(89)80001-6.
6
Unusual diffuse pulmonary lymphatic proliferation in a young boy.
Chest. 1991 Aug;100(2):556-60. doi: 10.1378/chest.100.2.556.
7
Life threatening chylous pleural and pericardial effusion in a patient with Behçet's syndrome.白塞病患者出现危及生命的乳糜性胸腔和心包积液。
Thorax. 1992 Jan;47(1):64-5. doi: 10.1136/thx.47.1.64.
8
Late presentation of primary pulmonary lymphangiectasis.原发性肺淋巴管扩张症的迟发表现。
Thorax. 1978 Dec;33(6):791-5. doi: 10.1136/thx.33.6.791.