• 文献检索
  • 文档翻译
  • 深度研究
  • 学术资讯
  • Suppr Zotero 插件Zotero 插件
  • 邀请有礼
  • 套餐&价格
  • 历史记录
应用&插件
Suppr Zotero 插件Zotero 插件浏览器插件Mac 客户端Windows 客户端微信小程序
定价
高级版会员购买积分包购买API积分包
服务
文献检索文档翻译深度研究API 文档MCP 服务
关于我们
关于 Suppr公司介绍联系我们用户协议隐私条款
关注我们

Suppr 超能文献

核心技术专利:CN118964589B侵权必究
粤ICP备2023148730 号-1Suppr @ 2026

文献检索

告别复杂PubMed语法,用中文像聊天一样搜索,搜遍4000万医学文献。AI智能推荐,让科研检索更轻松。

立即免费搜索

文件翻译

保留排版,准确专业,支持PDF/Word/PPT等文件格式,支持 12+语言互译。

免费翻译文档

深度研究

AI帮你快速写综述,25分钟生成高质量综述,智能提取关键信息,辅助科研写作。

立即免费体验

遗传重组中霍利迪连接体的拆分:RuvC蛋白在链交换点处切割DNA。

Resolution of Holliday junctions in genetic recombination: RuvC protein nicks DNA at the point of strand exchange.

作者信息

Bennett R J, West S C

机构信息

Imperial Cancer Research Fund, Clare Hall Laboratories, South Mimms, Herts, United Kingdom.

出版信息

Proc Natl Acad Sci U S A. 1996 Oct 29;93(22):12217-22. doi: 10.1073/pnas.93.22.12217.

DOI:10.1073/pnas.93.22.12217
PMID:8901560
原文链接:https://pmc.ncbi.nlm.nih.gov/articles/PMC37970/
Abstract

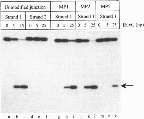
The RuvC protein of Escherichia coli catalyzes the resolution of recombination intermediates during genetic recombination and the recombinational repair of damaged DNA. Resolution involves specific recognition of the Holliday structure to form a complex that exhibits twofold symmetry with the DNA in an open configuration. Cleavage occurs when strands of like polarity are nicked at the sequence 5'-WTT decreases S-3' (where W is A or T and S is G or C). To determine whether the cleavage site needs to be located at, or close to, the point at which DNA strands exchange partners, Holliday structures were constructed with the junction points at defined sites within this sequence. We found that the efficiency of resolution was optimal when the cleavage site was coincident with the position of DNA strand exchange. In these studies, junction targeting was achieved by incorporating uncharged methyl phosphonates into the DNA backbone, providing further evidence for the importance of charge-charge repulsions in determining DNA structure.

摘要

大肠杆菌的RuvC蛋白在基因重组过程中催化重组中间体的拆分以及受损DNA的重组修复。拆分涉及对霍利迪结构的特异性识别,以形成一种与处于开放构型的DNA具有二重对称性的复合物。当相同极性的链在序列5'-WTT降低S-3'(其中W为A或T,S为G或C)处被切口时,就会发生切割。为了确定切割位点是否需要位于DNA链交换伙伴的点处或其附近,构建了霍利迪结构,其连接点位于该序列内的特定位置。我们发现,当切割位点与DNA链交换的位置重合时,拆分效率最佳。在这些研究中,通过将不带电荷的甲基膦酸酯掺入DNA主链来实现连接点靶向,这为电荷-电荷排斥在确定DNA结构中的重要性提供了进一步的证据。

https://cdn.ncbi.nlm.nih.gov/pmc/blobs/2d3d/37970/19205befb4fc/pnas01526-0179-a.jpg
https://cdn.ncbi.nlm.nih.gov/pmc/blobs/2d3d/37970/0a04831d9922/pnas01526-0176-a.jpg
https://cdn.ncbi.nlm.nih.gov/pmc/blobs/2d3d/37970/cecc4ab0745a/pnas01526-0177-a.jpg
https://cdn.ncbi.nlm.nih.gov/pmc/blobs/2d3d/37970/b5260e97b532/pnas01526-0177-b.jpg
https://cdn.ncbi.nlm.nih.gov/pmc/blobs/2d3d/37970/0a1fe435b719/pnas01526-0178-a.jpg
https://cdn.ncbi.nlm.nih.gov/pmc/blobs/2d3d/37970/19205befb4fc/pnas01526-0179-a.jpg
https://cdn.ncbi.nlm.nih.gov/pmc/blobs/2d3d/37970/0a04831d9922/pnas01526-0176-a.jpg
https://cdn.ncbi.nlm.nih.gov/pmc/blobs/2d3d/37970/cecc4ab0745a/pnas01526-0177-a.jpg
https://cdn.ncbi.nlm.nih.gov/pmc/blobs/2d3d/37970/b5260e97b532/pnas01526-0177-b.jpg
https://cdn.ncbi.nlm.nih.gov/pmc/blobs/2d3d/37970/0a1fe435b719/pnas01526-0178-a.jpg
https://cdn.ncbi.nlm.nih.gov/pmc/blobs/2d3d/37970/19205befb4fc/pnas01526-0179-a.jpg

相似文献

1
Resolution of Holliday junctions in genetic recombination: RuvC protein nicks DNA at the point of strand exchange.遗传重组中霍利迪连接体的拆分:RuvC蛋白在链交换点处切割DNA。
Proc Natl Acad Sci U S A. 1996 Oct 29;93(22):12217-22. doi: 10.1073/pnas.93.22.12217.
2
Structural analysis of the RuvC-Holliday junction complex reveals an unfolded junction.RuvC-霍利迪连接体复合物的结构分析揭示了一个展开的连接体。
J Mol Biol. 1995 Sep 15;252(2):213-26. doi: 10.1006/jmbi.1995.0489.
3
Genetic recombination in E. coli: RuvC protein cleaves Holliday junctions at resolution hotspots in vitro.
Cell. 1994 Dec 2;79(5):853-64. doi: 10.1016/0092-8674(94)90074-4.
4
RuvC protein resolves Holliday junctions via cleavage of the continuous (noncrossover) strands.RuvC蛋白通过切割连续(非交叉)链来拆分霍利迪连接体。
Proc Natl Acad Sci U S A. 1995 Jun 6;92(12):5635-9. doi: 10.1073/pnas.92.12.5635.
5
Effect of DNA topology on Holliday junction resolution by Escherichia coli RuvC and bacteriophage T7 endonuclease I.DNA拓扑结构对大肠杆菌RuvC和噬菌体T7核酸内切酶I介导的霍利迪连接体拆分的影响。
J Mol Biol. 1997 Aug 1;270(5):663-73. doi: 10.1006/jmbi.1997.1157.
6
Resolution of Holliday junctions by RuvC resolvase: cleavage specificity and DNA distortion.RuvC核酸内切酶对霍利迪连接体的拆分:切割特异性与DNA扭曲
Cell. 1993 Sep 24;74(6):1021-31. doi: 10.1016/0092-8674(93)90724-5.
7
Analysis of substrate specificity of the RuvC holliday junction resolvase with synthetic Holliday junctions.用合成霍利迪连接体分析RuvC霍利迪连接体解离酶的底物特异性。
J Biol Chem. 1996 Oct 18;271(42):26105-9. doi: 10.1074/jbc.271.42.26105.
8
The RuvC protein dimer resolves Holliday junctions by a dual incision mechanism that involves base-specific contacts.RuvC蛋白二聚体通过一种涉及碱基特异性接触的双切口机制来拆分霍利迪连接体。
EMBO J. 1997 Mar 17;16(6):1464-72. doi: 10.1093/emboj/16.6.1464.
9
Cleavage of holliday junctions by the Escherichia coli RuvABC complex.大肠杆菌RuvABC复合物对霍利迪连接体的切割。
J Biol Chem. 2000 Aug 25;275(34):26467-76. doi: 10.1074/jbc.M001496200.
10
Interactions between RuvA and RuvC at Holliday junctions: inhibition of junction cleavage and formation of a RuvA-RuvC-DNA complex.RuvA与RuvC在霍利迪连接体处的相互作用:连接体切割的抑制及RuvA-RuvC-DNA复合物的形成
J Mol Biol. 1996 Dec 20;264(5):878-90. doi: 10.1006/jmbi.1996.0684.

引用本文的文献

1
Canonical and novel non-canonical activities of the Holliday junction resolvase Yen1.Yen1 解旋酶的规范和新颖的非规范活性。
Nucleic Acids Res. 2022 Jan 11;50(1):259-280. doi: 10.1093/nar/gkab1225.
2
Single-Molecular Förster Resonance Energy Transfer Measurement on Structures and Interactions of Biomolecules.生物分子结构与相互作用的单分子荧光共振能量转移测量
Micromachines (Basel). 2021 Apr 27;12(5):492. doi: 10.3390/mi12050492.
3
Single bacterial resolvases first exploit, then constrain intrinsic dynamics of the Holliday junction to direct recombination.

本文引用的文献

1
Holliday junction resolvases encoded by homologous rusA genes in Escherichia coli K-12 and phage 82.大肠杆菌K-12和噬菌体82中由同源rusA基因编码的霍利迪连接体解离酶。
J Mol Biol. 1996 Apr 5;257(3):561-73. doi: 10.1006/jmbi.1996.0185.
2
The RuvABC proteins and Holliday junction processing in Escherichia coli.大肠杆菌中的RuvABC蛋白与霍利迪连接体处理
J Bacteriol. 1996 Mar;178(5):1237-41. doi: 10.1128/jb.178.5.1237-1241.1996.
3
Dissociation of synthetic Holliday junctions by E. coli RecG protein.大肠杆菌RecG蛋白对合成霍利迪连接体的解离作用
单一的细菌 resolvases 首先利用,然后限制 Holliday junction 的固有动力学来指导重组。
Nucleic Acids Res. 2021 Mar 18;49(5):2803-2815. doi: 10.1093/nar/gkab096.
4
Resolution of single and double Holliday junction recombination intermediates by GEN1.GEN1对单链和双链霍利迪连接体重组中间体的拆分
Proc Natl Acad Sci U S A. 2017 Jan 17;114(3):443-450. doi: 10.1073/pnas.1619790114. Epub 2017 Jan 3.
5
Structure and Metal Binding Properties of a Poxvirus Resolvase.痘病毒解离酶的结构与金属结合特性
J Biol Chem. 2016 May 20;291(21):11094-104. doi: 10.1074/jbc.M115.709139. Epub 2016 Mar 24.
6
DNA Helicases.DNA解旋酶
EcoSal Plus. 2010 Sep;4(1). doi: 10.1128/ecosalplus.4.4.8.
7
Characterization of biochemical properties of Bacillus subtilis RecQ helicase.枯草芽孢杆菌RecQ解旋酶的生化特性表征
J Bacteriol. 2014 Dec;196(24):4216-28. doi: 10.1128/JB.06367-11. Epub 2014 Sep 22.
8
Holliday junction resolvases.霍利迪连接体解离酶
Cold Spring Harb Perspect Biol. 2014 Sep 2;6(9):a023192. doi: 10.1101/cshperspect.a023192.
9
AtGEN1 and AtSEND1, two paralogs in Arabidopsis, possess holliday junction resolvase activity.拟南芥中的两个旁系同源基因AtGEN1和AtSEND1具有Holliday连接体解离酶活性。
Plant Physiol. 2014 Sep;166(1):202-16. doi: 10.1104/pp.114.237834. Epub 2014 Jul 18.
10
Characterization of the ATPase activity of RecG and RuvAB proteins on model fork structures reveals insight into stalled DNA replication fork repair.对 RecG 和 RuvAB 蛋白在模型叉结构上的 ATP 酶活性的表征揭示了停滞 DNA 复制叉修复的见解。
J Biol Chem. 2013 Sep 13;288(37):26397-409. doi: 10.1074/jbc.M113.500223. Epub 2013 Jul 27.
EMBO J. 1993 Jan;12(1):17-22. doi: 10.1002/j.1460-2075.1993.tb05627.x.
4
Resolution of Holliday junctions by RuvC resolvase: cleavage specificity and DNA distortion.RuvC核酸内切酶对霍利迪连接体的拆分:切割特异性与DNA扭曲
Cell. 1993 Sep 24;74(6):1021-31. doi: 10.1016/0092-8674(93)90724-5.
5
Symmetric immobile DNA branched junctions.对称固定DNA分支连接点。
Biochemistry. 1993 Aug 17;32(32):8062-7. doi: 10.1021/bi00083a002.
6
The structure of the four-way junction in DNA.DNA中四向连接的结构。
Annu Rev Biophys Biomol Struct. 1993;22:299-328. doi: 10.1146/annurev.bb.22.060193.001503.
7
Resolution of Holliday intermediates in recombination and DNA repair: indirect suppression of ruvA, ruvB, and ruvC mutations.重组和DNA修复中霍利迪中间体的解析:ruvA、ruvB和ruvC突变的间接抑制
J Bacteriol. 1993 Jul;175(14):4325-34. doi: 10.1128/jb.175.14.4325-4334.1993.
8
Symmetric Holliday junction crossover isomers.对称霍利迪连接交叉异构体。
J Mol Biol. 1994 May 20;238(5):658-68. doi: 10.1006/jmbi.1994.1327.
9
Cloning, overexpression, purification, and characterization of the Escherichia coli RuvC Holliday junction resolvase.大肠杆菌RuvC Holliday连接体解离酶的克隆、过表达、纯化及特性分析
J Biol Chem. 1994 Feb 18;269(7):5187-94.
10
Activation of RuvC Holliday junction resolvase in vitro.体外RuvC Holliday连接体解离酶的激活
Nucleic Acids Res. 1994 Jul 11;22(13):2490-7. doi: 10.1093/nar/22.13.2490.