Suppr超能文献

甲状腺细胞外谷胱甘肽过氧化物酶:甲状腺激素合成的潜在调节因子。

Thyroidal extracellular glutathione peroxidase: a potential regulator of thyroid-hormone synthesis.

作者信息

Howie A F, Walker S W, Akesson B, Arthur J R, Beckett G J

机构信息

Cellular Endocrinology Unit, University Department of Clinical Biochemistry, Royal Infirmary, Edinburgh, U.K.

出版信息

Biochem J. 1995 Jun 15;308 ( Pt 3)(Pt 3):713-7. doi: 10.1042/bj3080713.

Abstract

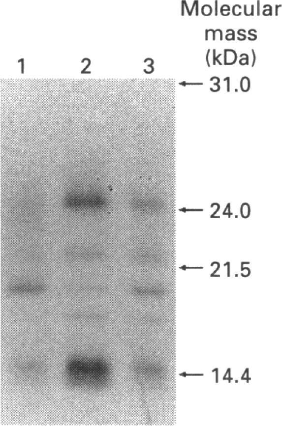
Human thyrocytes were found to synthesize and secrete the selenoenzyme extracellular glutathione peroxidase (E-GPX), a process which was controlled by the Ca2+/phosphoinositol second-messenger cascade. The potential involvement of thyroidal E-GPX in the regulation of thyroid-hormone synthesis and in the protection of the thyrocyte from peroxidative damage is discussed.

摘要

人们发现人类甲状腺细胞能合成并分泌硒酶——细胞外谷胱甘肽过氧化物酶(E-GPX),这一过程受Ca2+/磷酸肌醇第二信使级联反应的控制。文中讨论了甲状腺E-GPX在甲状腺激素合成调节及保护甲状腺细胞免受过氧化损伤方面的潜在作用。

https://cdn.ncbi.nlm.nih.gov/pmc/blobs/9145/1136783/aeeac15003c2/biochemj00061-0028-a.jpg

文献检索

告别复杂PubMed语法,用中文像聊天一样搜索,搜遍4000万医学文献。AI智能推荐,让科研检索更轻松。

立即免费搜索

文件翻译

保留排版,准确专业,支持PDF/Word/PPT等文件格式,支持 12+语言互译。

免费翻译文档

深度研究

AI帮你快速写综述,25分钟生成高质量综述,智能提取关键信息,辅助科研写作。

立即免费体验