• 文献检索
  • 文档翻译
  • 深度研究
  • 学术资讯
  • Suppr Zotero 插件Zotero 插件
  • 邀请有礼
  • 套餐&价格
  • 历史记录
应用&插件
Suppr Zotero 插件Zotero 插件浏览器插件Mac 客户端Windows 客户端微信小程序
定价
高级版会员购买积分包购买API积分包
服务
文献检索文档翻译深度研究API 文档MCP 服务
关于我们
关于 Suppr公司介绍联系我们用户协议隐私条款
关注我们

Suppr 超能文献

核心技术专利:CN118964589B侵权必究
粤ICP备2023148730 号-1Suppr @ 2026

文献检索

告别复杂PubMed语法,用中文像聊天一样搜索,搜遍4000万医学文献。AI智能推荐,让科研检索更轻松。

立即免费搜索

文件翻译

保留排版,准确专业,支持PDF/Word/PPT等文件格式,支持 12+语言互译。

免费翻译文档

深度研究

AI帮你快速写综述,25分钟生成高质量综述,智能提取关键信息,辅助科研写作。

立即免费体验

肿瘤坏死因子-α/β缺陷小鼠对脑型疟疾的抗性与细胞间黏附分子-1上调的减少及1型辅助性T细胞反应有关。

Resistance to cerebral malaria in tumor necrosis factor-alpha/beta-deficient mice is associated with a reduction of intercellular adhesion molecule-1 up-regulation and T helper type 1 response.

作者信息

Rudin W, Eugster H P, Bordmann G, Bonato J, Müller M, Yamage M, Ryffel B

机构信息

Swiss Tropical Institute, Basel, Switzerland.

出版信息

Am J Pathol. 1997 Jan;150(1):257-66.

PMID:9006341
原文链接:https://pmc.ncbi.nlm.nih.gov/articles/PMC1858518/
Abstract

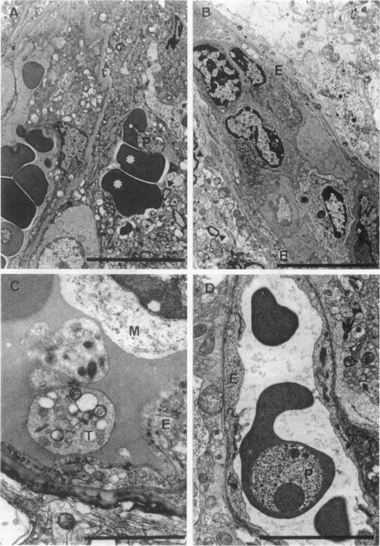
Tumor necrosis factor (TNF) induced by Plasmodium berghei ANKA (PbA) infection was suggested to play an important role in the development of cerebral malaria (CM). We asked whether TNF-alpha/beta double-deficient mice, which have a complete disruption of the TNF-signaling pathways, are protected from CM and what might be the possible mechanisms of protection. PbA infection induces fatal CM in wild-type mice, which die within 5 to 8 days with severe neurological signs. In contrast, TNF-alpha/beta-deficient mice are completely resistant to PbA-induced CM. As PbA-induced up-regulation of endothelial intercellular adhesion molecule (ICAM)-1 expression as well as the systemic release of nitric oxide is found only in wild-type mice, TNF is apparently central for the recruitment of mononuclear cells and microvascular damage. Mononuclear cell adhesion to the endothelium, vascular leak and, perivascular hemorrhage are found only in the brain of wild-type mice. By contrast, the development of parasitemia and anemia is independent of TNF. Resistance to CM in TNF-alpha/beta-deficient mice is associated with reduced interferon-gamma and interleukin-12 expression in the brain, in the absence of increased T helper type 2 cytokines. In conclusion, TNF apparently is required for PbA-induced endothelial ICAM-1 up-regulation and subsequent microvascular pathology resulting in fatal CM. In the absence of TNF, ICAM-1 and nitric oxide up-regulation are reduced, and PbA infection fails to cause fatal CM.

摘要

伯氏疟原虫ANKA株(PbA)感染诱导产生的肿瘤坏死因子(TNF)被认为在脑型疟疾(CM)的发展过程中起重要作用。我们研究了TNF-α/β双缺陷小鼠(其TNF信号通路完全被破坏)是否对CM具有抵抗力,以及可能的保护机制是什么。PbA感染在野生型小鼠中诱发致命的CM,这些小鼠在5至8天内死亡,并伴有严重的神经症状。相比之下,TNF-α/β缺陷小鼠对PbA诱导的CM完全具有抵抗力。由于仅在野生型小鼠中发现PbA诱导的内皮细胞间黏附分子(ICAM)-1表达上调以及一氧化氮的全身释放,因此TNF显然是单核细胞募集和微血管损伤的关键因素。单核细胞与内皮细胞的黏附、血管渗漏以及血管周围出血仅在野生型小鼠的脑中出现。相比之下,疟原虫血症和贫血的发展与TNF无关。TNF-α/β缺陷小鼠对CM的抵抗力与脑中干扰素-γ和白细胞介素-12表达降低有关,同时辅助性T细胞2型细胞因子并未增加。总之,TNF显然是PbA诱导内皮ICAM-1上调以及随后导致致命CM的微血管病理过程所必需的。在没有TNF的情况下,ICAM-1和一氧化氮的上调减少,并且PbA感染不会导致致命的CM。

https://cdn.ncbi.nlm.nih.gov/pmc/blobs/cc8d/1858518/782c02d8e7c8/amjpathol00025-0255-b.jpg
https://cdn.ncbi.nlm.nih.gov/pmc/blobs/cc8d/1858518/826459191c72/amjpathol00025-0253-a.jpg
https://cdn.ncbi.nlm.nih.gov/pmc/blobs/cc8d/1858518/89966660d238/amjpathol00025-0254-a.jpg
https://cdn.ncbi.nlm.nih.gov/pmc/blobs/cc8d/1858518/7bb341297bbc/amjpathol00025-0255-a.jpg
https://cdn.ncbi.nlm.nih.gov/pmc/blobs/cc8d/1858518/782c02d8e7c8/amjpathol00025-0255-b.jpg
https://cdn.ncbi.nlm.nih.gov/pmc/blobs/cc8d/1858518/826459191c72/amjpathol00025-0253-a.jpg
https://cdn.ncbi.nlm.nih.gov/pmc/blobs/cc8d/1858518/89966660d238/amjpathol00025-0254-a.jpg
https://cdn.ncbi.nlm.nih.gov/pmc/blobs/cc8d/1858518/7bb341297bbc/amjpathol00025-0255-a.jpg
https://cdn.ncbi.nlm.nih.gov/pmc/blobs/cc8d/1858518/782c02d8e7c8/amjpathol00025-0255-b.jpg

相似文献

1
Resistance to cerebral malaria in tumor necrosis factor-alpha/beta-deficient mice is associated with a reduction of intercellular adhesion molecule-1 up-regulation and T helper type 1 response.肿瘤坏死因子-α/β缺陷小鼠对脑型疟疾的抗性与细胞间黏附分子-1上调的减少及1型辅助性T细胞反应有关。
Am J Pathol. 1997 Jan;150(1):257-66.
2
Interferon-gamma is essential for the development of cerebral malaria.γ干扰素对脑型疟疾的发展至关重要。
Eur J Immunol. 1997 Apr;27(4):810-5. doi: 10.1002/eji.1830270403.
3
Crucial role of tumor necrosis factor (TNF) receptor 2 and membrane-bound TNF in experimental cerebral malaria.肿瘤坏死因子(TNF)受体2和膜结合型TNF在实验性脑型疟疾中的关键作用
Eur J Immunol. 1997 Jul;27(7):1719-25. doi: 10.1002/eji.1830270719.
4
IL-12Rβ2 is essential for the development of experimental cerebral malaria.IL-12Rβ2 对于实验性脑型疟疾的发展是必需的。
J Immunol. 2012 Feb 15;188(4):1905-14. doi: 10.4049/jimmunol.1101978. Epub 2012 Jan 11.
5
Locally up-regulated lymphotoxin alpha, not systemic tumor necrosis factor alpha, is the principle mediator of murine cerebral malaria.局部上调的淋巴毒素α而非全身的肿瘤坏死因子α是小鼠脑型疟疾的主要介质。
J Exp Med. 2002 May 20;195(10):1371-7. doi: 10.1084/jem.20020128.
6
Differential reactivity of brain microvascular endothelial cells to TNF reflects the genetic susceptibility to cerebral malaria.脑微血管内皮细胞对肿瘤坏死因子的不同反应性反映了对脑型疟疾的遗传易感性。
Eur J Immunol. 1998 Dec;28(12):3989-4000. doi: 10.1002/(SICI)1521-4141(199812)28:12<3989::AID-IMMU3989>3.0.CO;2-X.
7
[Role of TNF-alpha and ICAM-1 in pathogenesis of cerebral malaria].[肿瘤坏死因子-α和细胞间黏附分子-1在脑型疟疾发病机制中的作用]
Zhongguo Ji Sheng Chong Xue Yu Ji Sheng Chong Bing Za Zhi. 2000;18(3):138-40.
8
Suppressor of cytokine signaling 2 modulates the immune response profile and development of experimental cerebral malaria.细胞因子信号转导抑制因子 2 调节实验性脑型疟疾的免疫反应特征和发展。
Brain Behav Immun. 2016 May;54:73-85. doi: 10.1016/j.bbi.2016.01.002. Epub 2016 Jan 4.
9
Critical role of IL-33 receptor ST2 in experimental cerebral malaria development.白细胞介素-33受体ST2在实验性脑型疟疾发展中的关键作用。
Eur J Immunol. 2015 May;45(5):1354-65. doi: 10.1002/eji.201445206. Epub 2015 Mar 20.
10
Role of ICAM-1 (CD54) in the development of murine cerebral malaria.细胞间黏附分子-1(CD54)在小鼠脑型疟疾发展中的作用。
Microbes Infect. 1999 Oct;1(12):961-8. doi: 10.1016/s1286-4579(99)80513-9.

引用本文的文献

1
Microglia exhibit a dynamic response, modulating inducible nitric oxide synthase expression and the production of pro-inflammatory cytokines during experimental cerebral malaria.小胶质细胞表现出动态反应,在实验性脑型疟疾期间调节诱导型一氧化氮合酶的表达和促炎细胞因子的产生。
Front Immunol. 2025 Jul 23;16:1494418. doi: 10.3389/fimmu.2025.1494418. eCollection 2025.
2
Endothelial type I interferon response and brain diseases: identifying STING as a therapeutic target.内皮细胞I型干扰素反应与脑部疾病:将干扰素基因刺激蛋白确定为治疗靶点
Front Cell Dev Biol. 2023 Sep 14;11:1249235. doi: 10.3389/fcell.2023.1249235. eCollection 2023.
3

本文引用的文献

1
Enhanced production of reactive nitrogen intermediates in human and murine malaria.人类和鼠类疟疾中活性氮中间体的产生增加。
Parasitol Today. 1995 Nov;11(11):409-10. doi: 10.1016/0169-4758(95)80019-0.
2
Murine models of cerebral malaria: a qualified defence.脑型疟疾的小鼠模型:一种合理的辩护。
Parasitol Today. 1995 Nov;11(11):407-9. doi: 10.1016/0169-4758(95)80018-2.
3
Multiple immune abnormalities in tumor necrosis factor and lymphotoxin-alpha double-deficient mice.肿瘤坏死因子和淋巴毒素-α双缺陷小鼠中的多种免疫异常
Evaluation of chalcone derivatives for their role as antiparasitic and neuroprotectant in experimentally induced cerebral malaria mouse model.
在实验性诱导的脑型疟疾小鼠模型中评估查耳酮衍生物作为抗寄生虫和神经保护剂的作用。
3 Biotech. 2023 Jul;13(7):260. doi: 10.1007/s13205-023-03676-y. Epub 2023 Jul 1.
4
Antimalarial and immunomodulatory potential of chalcone derivatives in experimental model of malaria.姜酮衍生物在疟疾实验模型中的抗疟和免疫调节潜力。
BMC Complement Med Ther. 2022 Dec 12;22(1):330. doi: 10.1186/s12906-022-03777-w.
5
Interleukin (IL)-21 in Inflammation and Immunity During Parasitic Diseases.白细胞介素 (IL)-21 在寄生虫病中的炎症和免疫反应。
Front Cell Infect Microbiol. 2019 Dec 4;9:401. doi: 10.3389/fcimb.2019.00401. eCollection 2019.
6
Elimination of intravascular thrombi prevents early mortality and reduces gliosis in hyper-inflammatory experimental cerebral malaria.消除血管内血栓可预防高炎症性实验性脑疟的早期死亡并减少神经胶质增生。
J Neuroinflammation. 2018 Jun 4;15(1):173. doi: 10.1186/s12974-018-1207-4.
7
Ethanolic extract of the fungus Trichoderma stromaticum decreases inflammation and ameliorates experimental cerebral malaria in C57BL/6 mice.曲霉属真菌组织分离物的乙醇提取物可减轻炎症反应,改善 C57BL/6 小鼠实验性脑型疟疾。
Sci Rep. 2018 Jan 24;8(1):1547. doi: 10.1038/s41598-018-19840-x.
8
Elevated cerebrospinal fluid tumour necrosis factor is associated with acute and long-term neurocognitive impairment in cerebral malaria.脑脊液中肿瘤坏死因子升高与脑型疟疾的急性和长期神经认知障碍相关。
Parasite Immunol. 2017 Jul;39(7). doi: 10.1111/pim.12438. Epub 2017 May 28.
9
Behavioural and neurological symptoms accompanied by cellular neuroinflammation in IL-10-deficient mice infected with Plasmodium chabaudi.感染恰氏疟原虫的白细胞介素-10缺陷小鼠出现行为和神经症状,并伴有细胞性神经炎症。
Malar J. 2016 Aug 24;15(1):428. doi: 10.1186/s12936-016-1477-1.
10
Erythropoietin Levels Increase during Cerebral Malaria and Correlate with Heme, Interleukin-10 and Tumor Necrosis Factor-Alpha in India.在印度,脑型疟期间促红细胞生成素水平升高,并与血红素、白细胞介素-10和肿瘤坏死因子-α相关。
PLoS One. 2016 Jul 21;11(7):e0158420. doi: 10.1371/journal.pone.0158420. eCollection 2016.
Int Immunol. 1996 Jan;8(1):23-36. doi: 10.1093/intimm/8.1.23.
4
Production of interleukin-6 by human and murine mononuclear leukocytes stimulated with Plasmodium antigens is enhanced by pentoxifylline, and tumor necrosis factor secretion is reduced.己酮可可碱可增强人及鼠单核白细胞受疟原虫抗原刺激后白细胞介素-6的产生,并减少肿瘤坏死因子的分泌。
Infect Immun. 1993 Jun;61(6):2737-40. doi: 10.1128/iai.61.6.2737-2740.1993.
5
Role of cytokines and adhesion molecules in malaria immunopathology.细胞因子和黏附分子在疟疾免疫病理学中的作用。
Stem Cells. 1993 Jan;11(1):41-8. doi: 10.1002/stem.5530110108.
6
Profiles of cytokine production in relation with susceptibility to cerebral malaria.与脑型疟疾易感性相关的细胞因子产生概况。
J Immunol. 1993 Nov 1;151(9):4811-20.
7
Anti-TNF therapy inhibits fever in cerebral malaria.抗TNF治疗可抑制脑型疟疾中的发热。
Q J Med. 1993 Feb;86(2):91-8.
8
TNF in vascular pathology: the importance of platelet-endothelium interactions.肿瘤坏死因子在血管病理学中的作用:血小板与内皮细胞相互作用的重要性
Res Immunol. 1993 Jun;144(5):355-63. doi: 10.1016/s0923-2494(93)80080-i.
9
Abnormal development of peripheral lymphoid organs in mice deficient in lymphotoxin.淋巴毒素缺陷小鼠外周淋巴器官的异常发育。
Science. 1994 Apr 29;264(5159):703-7. doi: 10.1126/science.8171322.
10
Differential induction of helper T cell subsets during blood-stage Plasmodium chabaudi AS infection in resistant and susceptible mice.抗疟和易感小鼠在血液期查巴迪疟原虫AS感染期间辅助性T细胞亚群的差异诱导
Clin Exp Immunol. 1993 Apr;92(1):77-83. doi: 10.1111/j.1365-2249.1993.tb05951.x.