Suppr超能文献

胃黏膜相关淋巴组织淋巴瘤与幽门螺杆菌

Gastric MALT lymphoma and Helicobacter pylori.

作者信息

Wotherspoon A C

机构信息

Department of Histopathology, Royal Postgraduate Medical School, Hammersmith Hospital, London, United Kingdom.

出版信息

Yale J Biol Med. 1996 Jan-Feb;69(1):61-8.

Abstract

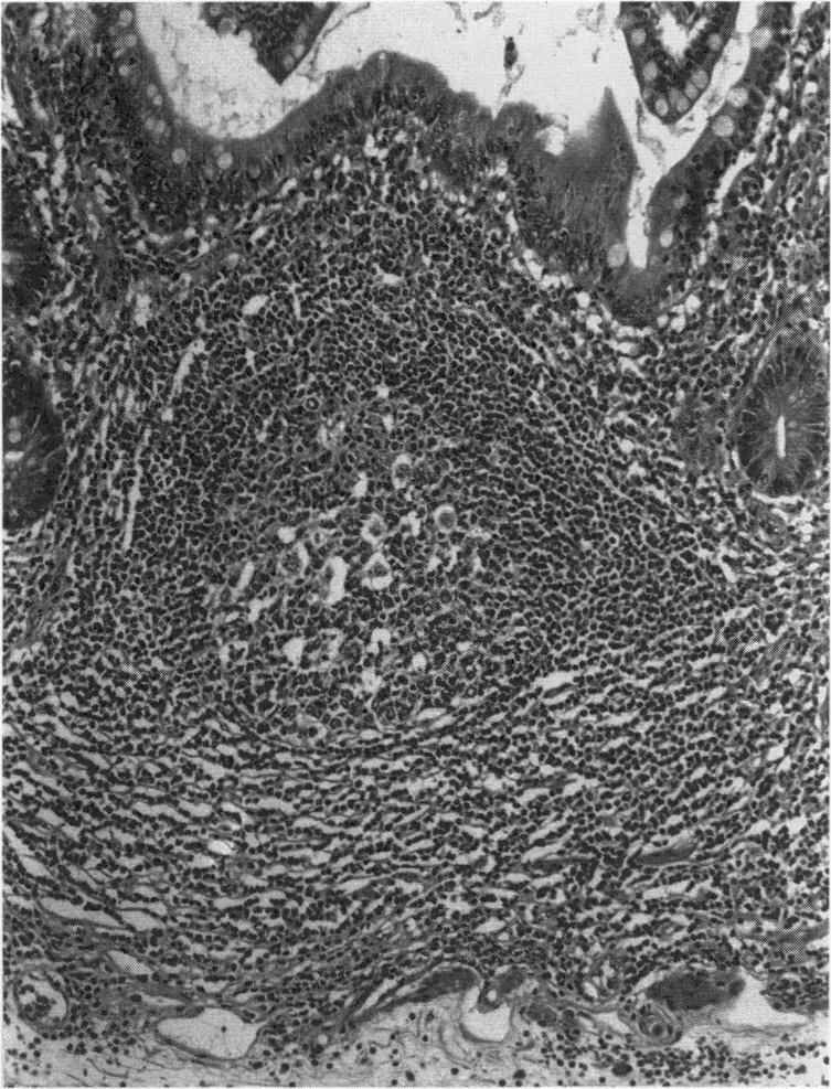
Primary gastric low-grade B-cell lymphomas are neoplastic mimics of mucosa associated lymphoid tissue (MALT) as exemplified by Peyer's patches in the terminal ileum. Architectural and immunophenotypic properties of the neoplastic cells suggest that they originate from MALT-derived marginal zone B-cells. Paradoxically, the normal human stomach is devoid of organized MALT within which a lymphoma can develop. Lymphoid tissue is acquired in the stomach in response to antigenic stimulation, predominantly associated with Helicobacter pylori infection. Studies of patients with low-grade MALT lymphoma have confirmed a high incidence of H. pylori infection and suggest that the infection predates neoplastic transformation. Certain morphological features of MALT lymphomas suggest that the tumor cells remain responsive to antigen drive. Given the close association between gastric MALT lymphoma and H. pylori, it is possible that this organism provides such a drive. In vitro studies have shown that the tumor cells proliferate in a T-cell-dependent way to the presence of H. pylori. Several studies have now demonstrated that eradication of the organism in patients with low-grade gastric MALT lymphoma can result in regression of the tumor. In cases with a high-grade component, the associated low-grade part may regress, but most high-grade gastric MALT lymphomas are unresponsive to this conservative therapy.

摘要

原发性胃低度B细胞淋巴瘤是黏膜相关淋巴组织(MALT)的肿瘤性模仿物,如回肠末端的派尔集合淋巴结所示。肿瘤细胞的结构和免疫表型特征表明它们起源于MALT来源的边缘区B细胞。矛盾的是,正常人类胃中没有可发生淋巴瘤的有组织的MALT。胃中的淋巴组织是在抗原刺激下获得的,主要与幽门螺杆菌感染有关。对低度MALT淋巴瘤患者的研究证实幽门螺杆菌感染的发生率很高,并表明感染先于肿瘤转化。MALT淋巴瘤的某些形态学特征表明肿瘤细胞仍然对抗原驱动有反应。鉴于胃MALT淋巴瘤与幽门螺杆菌之间的密切关联,这种生物体有可能提供这样的驱动。体外研究表明,肿瘤细胞在幽门螺杆菌存在的情况下以T细胞依赖的方式增殖。现在有几项研究表明,根除低度胃MALT淋巴瘤患者体内的这种生物体可导致肿瘤消退。在有高级别成分的病例中,相关的低级别部分可能会消退,但大多数高级别胃MALT淋巴瘤对这种保守治疗无反应。

https://cdn.ncbi.nlm.nih.gov/pmc/blobs/84c9/2588981/a70b0350d394/yjbm00031-0065-a.jpg

文献AI研究员

20分钟写一篇综述,助力文献阅读效率提升50倍。

立即体验

用中文搜PubMed

大模型驱动的PubMed中文搜索引擎

马上搜索

文档翻译

学术文献翻译模型,支持多种主流文档格式。

立即体验