Suppr超能文献

A structure in the wall of the internal carotid artery in the rat.

作者信息

Vasquez J V, Purves M J

出版信息

J Anat. 1979 Jun;128(Pt 4):767-75.

Abstract

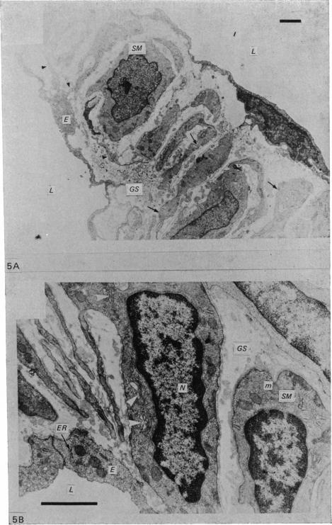
A structure has been found consistently in the wall of the internal carotid artery of the rat as it passes through the carotid canal. It consists of modified smooth muscle cells arranged longitudinally which exhibit abundant pinocytosis and are located close to endothelial cells, with which they make contact. These cells do not appear to be innervated. The closeness of this structure to the arterial lumen, into which it may actually protrude, suggests that it may be sensitive to vaso-active substances in arterial blood. If so, it is well place to affect cerebral blood flow.

摘要
https://cdn.ncbi.nlm.nih.gov/pmc/blobs/ce35/1232879/86ae871700c6/janat00244-0099-a.jpg

文献检索

告别复杂PubMed语法,用中文像聊天一样搜索,搜遍4000万医学文献。AI智能推荐,让科研检索更轻松。

立即免费搜索

文件翻译

保留排版,准确专业,支持PDF/Word/PPT等文件格式,支持 12+语言互译。

免费翻译文档

深度研究

AI帮你快速写综述,25分钟生成高质量综述,智能提取关键信息,辅助科研写作。

立即免费体验